Telefon:
+49 (0)241 95 163 153
Fax:
+49 (0)241 95 163 155
E-Mail:
orders@antikoerper-online.de

TDP1 Antikörper (AA 1-298)

Der Maus Monoklonal anti-TDP1 Antikörper wird verwendet zum Nachweis von TDP1 in Proben von Human. Er wurde validiert für WB, ELISA, IHC und IHC (p).
Produktnummer ABIN462272
512,07 €
Zzgl. Versandkosten 20,00 € und MwSt
50 μL
Lieferung nach: Deutschland
Lieferung in 15 bis 20 Werktagen

Kurzübersicht für TDP1 Antikörper (AA 1-298) (ABIN462272)

Target

Alle TDP1 Antikörper anzeigen
TDP1 (Tyrosyl-DNA Phosphodiesterase 1 (TDP1))

Reaktivität

  • 39
  • 18
  • 8
  • 4
  • 3
  • 3
  • 2
  • 2
  • 2
  • 2
  • 1
  • 1
Human

Wirt

  • 33
  • 7
  • 1
Maus

Klonalität

  • 36
  • 5
Monoklonal

Konjugat

  • 32
  • 2
  • 2
  • 2
  • 1
  • 1
  • 1
Dieser TDP1 Antikörper ist unkonjugiert

Applikation

  • 34
  • 18
  • 11
  • 10
  • 9
  • 7
  • 6
  • 2
  • 1
  • 1
  • 1
  • 1
Western Blotting (WB), ELISA, Immunohistochemistry (IHC), Immunohistochemistry (Paraffin-embedded Sections) (IHC (p))

Klon

AT1F2
  • Bindungsspezifität

    • 7
    • 7
    • 5
    • 3
    • 2
    • 2
    • 2
    • 1
    • 1
    • 1
    • 1
    • 1
    • 1
    • 1
    • 1
    • 1
    • 1
    AA 1-298

    Spezifität

    Human TDP1 (1-298aa)

    Aufreinigung

    Protein G purified

    Immunogen

    Recombinant human TDP1 (1-298aa) purified from E. coli

    Type of Immunogen: Recombinant protein

    Isotyp

    IgG2b kappa
  • Applikationshinweise

    Approved: ELISA, IHC, IHC-P (5 μg/mL), WB (1:1000 - 1:2000)

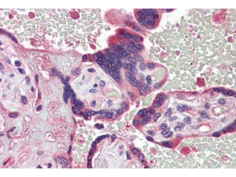
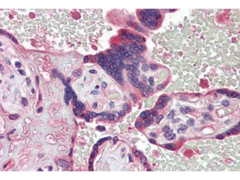
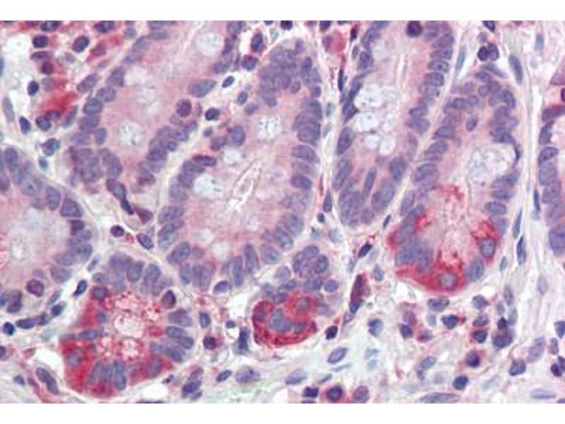
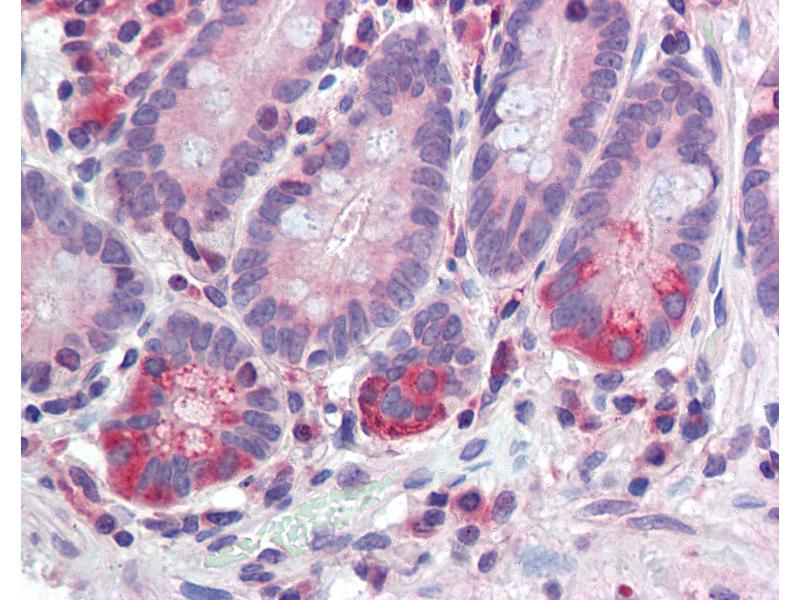
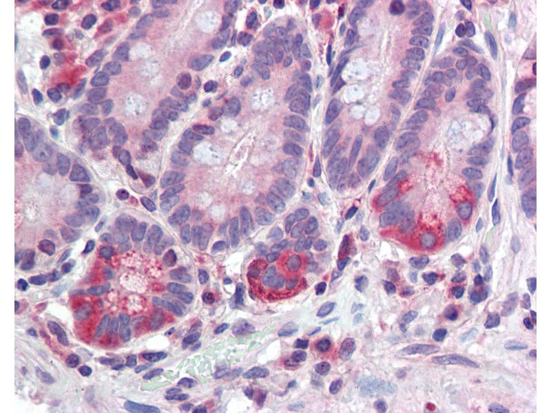
    Usage: Immunohistochemistry: This antibody was validated for use in immunohistochemistry on a panel of 21 formalin-fixed, paraffin-embedded (FFPE) human tissues after heat induced antigen retrieval in  pH 6.0 citrate buffer. After incubation with the primary antibody, slides were incubated with biotinylated secondary antibody, followed by alkaline phosphatase-streptavidin and chromogen. The stained slides were evaluated by a pathologist to confirm staining specificity. The optimal working concentration for this antibody was determined to be 5 μg/mL. Western Blot: Cell lysates of MCF7 (30 μg) were resolved by SDS-PAGE, transferred to NC membrane and probed with anti-human TDP1 (1:1000). Proteins were visualized using a goat anti-mouse secondary antibody conjugated to HRP and an ECL detection system.

    Kommentare

    Target Species of Antibody: Human

    Beschränkungen

    Nur für Forschungszwecke einsetzbar
  • Format

    Liquid

    Konzentration

    Lot specific

    Buffer

    PBS,  pH 7.4, 0.1 % sodium azide

    Konservierungsmittel

    Sodium azide

    Vorsichtsmaßnahmen

    This product contains Sodium azide: a POISONOUS AND HAZARDOUS SUBSTANCE which should be handled by trained staff only.

    Handhabung

    Minimize freezing and thawing.

    Lagerung

    -20 °C

    Informationen zur Lagerung

    Aliquot and store at -20°C. Avoid freeze-thaw cycles.
  • Target

    TDP1 (Tyrosyl-DNA Phosphodiesterase 1 (TDP1))

    Andere Bezeichnung

    TDP1

    Hintergrund

    Name/Gene ID: TDP1

    Synonyms: TDP1, Tyr-DNA phosphodiesterase 1, SCAN1

    Gen-ID

    55775

    UniProt

    Q9NUW8
Sie sind hier:
Chat with us!