Telefon:
+49 (0)241 95 163 153
Fax:
+49 (0)241 95 163 155
E-Mail:
orders@antikoerper-online.de

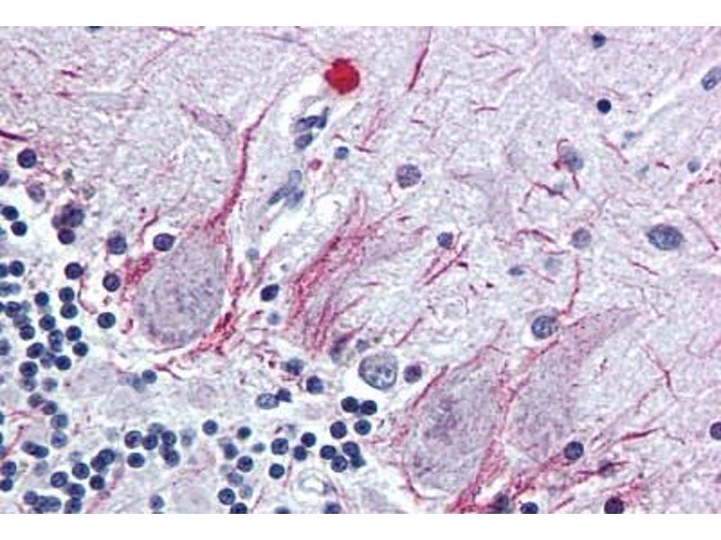
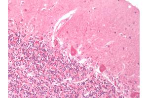
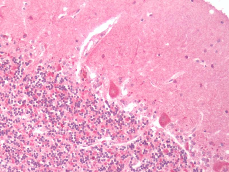
PTH2R Antikörper (N-Term)

Dieser Kaninchen Polyklonal Antikörper detektiert spezifisch PTH2R in IHC, ELISA und IHC (p). Es zeigt Reaktivität gegenüber Proben von Human, Rind (Kuh) und Affe.
Produktnummer ABIN461686
534,81 €
Zzgl. Versandkosten 20,00 € und MwSt
50 μg
Lieferung nach: Deutschland
Lieferung in 15 bis 20 Werktagen

Kurzübersicht für PTH2R Antikörper (N-Term) (ABIN461686)

Target

Alle PTH2R Antikörper anzeigen
PTH2R (Parathyroid Hormone 2 Receptor (PTH2R))

Reaktivität

  • 24
  • 10
  • 4
  • 3
  • 3
  • 1
  • 1
Human, Rind (Kuh), Affe

Wirt

  • 23
  • 13
Kaninchen

Klonalität

  • 23
  • 13
Polyklonal

Konjugat

  • 23
  • 5
  • 5
  • 2
  • 1
Dieser PTH2R Antikörper ist unkonjugiert

Applikation

  • 28
  • 14
  • 14
  • 6
  • 6
  • 4
  • 3
  • 3
  • 1
  • 1
Immunohistochemistry (IHC), ELISA, Immunohistochemistry (Paraffin-embedded Sections) (IHC (p))
  • Bindungsspezifität

    • 8
    • 2
    • 2
    • 2
    • 2
    • 2
    • 1
    • 1
    • 1
    • 1
    N-Term

    Spezifität

    Human PTH2R / PTHR2. BLAST analysis of the peptide immunogen showed no homology with other human proteins.

    Homologie

    Percent identity with other species by BLAST analysis: Human, Gorilla, Gibbon, Monkey, Bovine, Elephant (100%) Mouse, Dog, Bat, Panda, Rabbit, Pig (94%) Rat, Hamster (89%) Platypus (83%).

    Aufreinigung

    Immunoaffinity purified

    Immunogen

    Synthetic 18 amino acid peptide from N-Terminus of human PTH2R / PTHR2. Percent identity with other species by BLAST analysis: Human, Gorilla, Gibbon, Monkey, Bovine, Elephant (100%), Mouse, Dog, Bat, Panda, Rabbit, Pig (94%), Rat, Hamster (89%), Platypus (83%).

    Type of Immunogen: Synthetic peptide
  • Applikationshinweise

    Approved: ELISA, IHC, IHC-P (5 - 10 μg/mL)

    Kommentare

    Target Species of Antibody: Human

    Beschränkungen

    Nur für Forschungszwecke einsetzbar
  • Format

    Liquid

    Konzentration

    Lot specific

    Buffer

    PBS, less than 0.1 % sodium azide.

    Konservierungsmittel

    Sodium azide

    Vorsichtsmaßnahmen

    This product contains Sodium azide: a POISONOUS AND HAZARDOUS SUBSTANCE which should be handled by trained staff only.

    Lagerung

    4 °C,-20 °C

    Informationen zur Lagerung

    Aliquot and store undiluted at -20°C or below for up to 1 year. Can be stored undiluted at 4°C for up to 1 month. Avoid freeze-thaw cycles.

    Haltbarkeit

    12 months
  • Target

    PTH2R (Parathyroid Hormone 2 Receptor (PTH2R))

    Andere Bezeichnung

    / PTH2R

    Hintergrund

    Name/Gene ID: PTH2R
    Subfamily: Parathyroid hormone
    Family: GPCR

    Synonyms: PTH2R, Parathyroid hormone 2 receptor, Parathyroid hormone receptor 2, PTH2 receptor, PTHR2, Hpth2 receptor

    Gen-ID

    5746

    Pathways

    cAMP Metabolic Process
Sie sind hier:
Chat with us!