Telefon:
+49 (0)241 95 163 153
Fax:
+49 (0)241 95 163 155
E-Mail:
orders@antikoerper-online.de

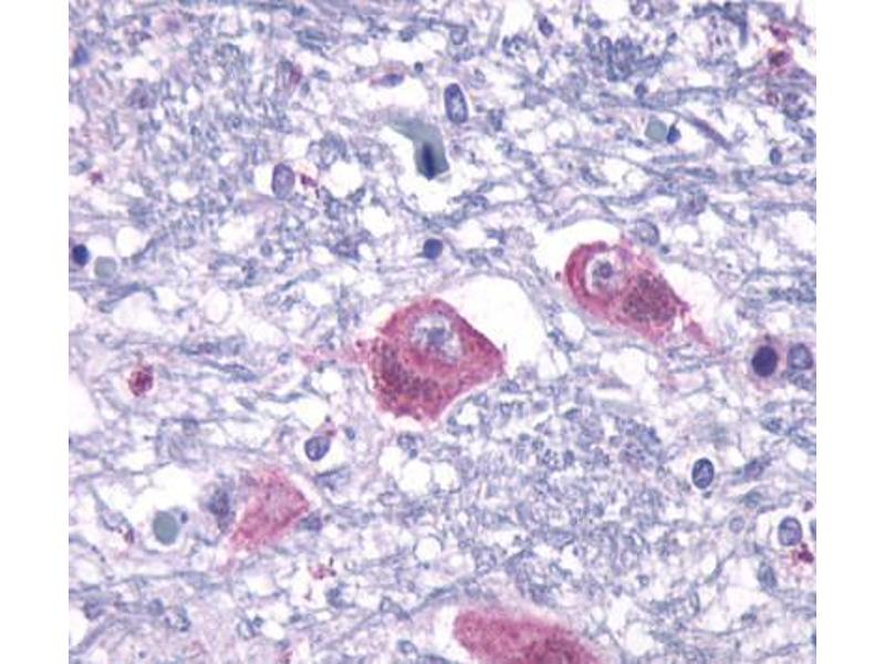
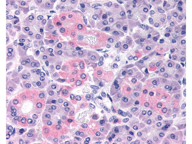
PTH2R Antikörper (Extracellular Domain)

Der Kaninchen Polyklonal anti-PTH2R Antikörper (ABIN1049268) detektiert spezifisch PTH2R in IHC und IHC (p). Dieser Antikörper reagiert spezifisch mit Proben aus Human.
Produktnummer ABIN1049268
534,81 €
Zzgl. Versandkosten 20,00 € und MwSt
50 μg
Lieferung nach: Deutschland
Lieferung in 15 bis 20 Werktagen

Kurzübersicht für PTH2R Antikörper (Extracellular Domain) (ABIN1049268)

Target

Alle PTH2R Antikörper anzeigen
PTH2R (Parathyroid Hormone 2 Receptor (PTH2R))

Reaktivität

  • 24
  • 10
  • 4
  • 3
  • 3
  • 2
  • 1
  • 1
Human

Wirt

  • 23
  • 13
Kaninchen

Klonalität

  • 23
  • 13
Polyklonal

Konjugat

  • 23
  • 5
  • 5
  • 2
  • 1
Dieser PTH2R Antikörper ist unkonjugiert

Applikation

  • 28
  • 15
  • 14
  • 6
  • 6
  • 4
  • 3
  • 3
  • 1
  • 1
Immunohistochemistry (IHC), Immunohistochemistry (Paraffin-embedded Sections) (IHC (p))
  • Bindungsspezifität

    • 8
    • 2
    • 2
    • 2
    • 2
    • 2
    • 1
    • 1
    • 1
    • 1
    Extracellular Domain

    Spezifität

    Human PTH2R / PTHR2. BLAST analysis of the peptide immunogen showed no homology with other human proteins.

    Homologie

    Percent identity with other species by BLAST analysis: Human (100%) Gorilla, Gibbon, Monkey (95%).

    Aufreinigung

    Immunoaffinity purified

    Immunogen

    Synthetic 20 amino acid peptide from 1st extracellular domain of human PTH2R / PTHR2. Percent identity with other species by BLAST analysis: Human (100%), Gorilla, Gibbon, Monkey (95%).

    Type of Immunogen: Synthetic peptide
  • Applikationshinweise

    Approved: IHC, IHC-P (9 μg/mL)

    Kommentare

    Target Species of Antibody: Human

    Testdurchführung

    The IHC-pro Immunohistochemistry Protocol

    Tissue Preparation
    Formalin fixation and embedding in paraffin wax

    Tissue Sectioning
    Make 4-µm sections and place on pre-cleaned and charged microscope slides.
    Heat in a tissue-drying oven for 45 minutes at 60°C
    Deparaffinization
    Wash slides in 3 changes of xylene – 5 minutes each at room temperature.

    Rehydration
    Wash slides in 3 changes of 100% alcohol – 3 minutes each at room temperature.
    Wash slides in 2 changes of 95% alcohol – 3 minutes each at room temperature.
    Wash slides in 1 change of 80% alcohol – 3 minutes at room temperature.
    Rinse slides in gentle running distilled water – 5 minutes at room temperature.

    Antigen retrieval
    Steam slides in 0.01 M sodium citrate buffer, pH 6.0 at 99-100°C - 20 minutes
    Remove from heat and let stand at room temperature in buffer - 20 minutes
    Rinse in 1X TBS with Tween (TBST) – 1 minute at room temperature.

    Immunostaining
    Do not allow tissues to dry at any time during the staining procedure.
    Apply a universal protein block – 20 minutes at room temperature.
    Drain protein block from slides, apply diluted primary antibody – 45 minutes at room temperature.
    Rinse slides in 1X TBST - 1 minute at room temperature.
    Apply a biotinylated secondary antibody (specific to the host of the primary antibody) - 30 minutes at room temperature.
    Rinse slides 1X TBST – 1 minute at room temperature.
    Apply alkaline phosphatase streptavidin – 30 minutes at room temperature.
    Rinse slides in 1X TBST - 1 minute at room temperature.
    Apply alkaline phosphatase chromogen substrate – 30 minutes at room temperature.
    Wash slides in distilled water – 1 minute at room temperature.

    Dehydrate
    This method should only be used if the chromogen substrate is alcohol insoluble.
    Wash slides in 2 changes of 80% alcohol – 1 minute each at room temperature.
    Wash slides in 2 changes of 95% alcohol – 1 minute each at room temperature.
    Wash slides in 3 changes of 100% alcohol – 1 minute each at room temperature.
    Wash slides in 3 changes of xylene – 1 minute each at room temperature.
    Apply coverslip

    Beschränkungen

    Nur für Forschungszwecke einsetzbar
  • Format

    Liquid

    Konzentration

    Lot specific

    Buffer

    PBS, less than 0.1 % sodium azide.

    Konservierungsmittel

    Sodium azide

    Vorsichtsmaßnahmen

    This product contains Sodium azide: a POISONOUS AND HAZARDOUS SUBSTANCE which should be handled by trained staff only.

    Lagerung

    4 °C,-20 °C

    Informationen zur Lagerung

    Aliquot and store undiluted at -20°C or below for up to 1 year. Can be stored undiluted at 4°C for up to 1 month. Avoid freeze-thaw cycles.

    Haltbarkeit

    12 months
  • Target

    PTH2R (Parathyroid Hormone 2 Receptor (PTH2R))

    Andere Bezeichnung

    / PTH2R

    Hintergrund

    Name/Gene ID: PTH2R
    Subfamily: Parathyroid hormone
    Family: GPCR

    Synonyms: PTH2R, Parathyroid hormone 2 receptor, Parathyroid hormone receptor 2, PTH2 receptor, PTHR2, Hpth2 receptor

    Gen-ID

    5746

    Pathways

    cAMP Metabolic Process
Sie sind hier:
Chat with us!