Telefon:
+49 (0)241 95 163 153
Fax:
+49 (0)241 95 163 155
E-Mail:
orders@antikoerper-online.de

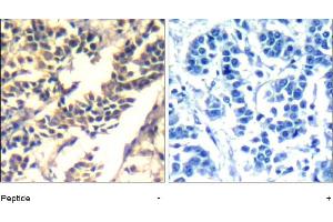
CBL Antikörper (Tyr700)

Der Kaninchen Polyklonal anti-CBL Antikörper wird verwendet zum Nachweis von CBL in Proben von Human. Er wurde validiert für IHC (p).
Produktnummer ABIN401655
483,08 €
Zzgl. Versandkosten 20,00 € und MwSt
Lieferung nach: Deutschland
Lieferung in 16 Werktagen

Kurzübersicht für CBL Antikörper (Tyr700) (ABIN401655)

Target

Alle CBL Antikörper anzeigen
CBL (Cas-Br-M (Murine) Ecotropic Retroviral Transforming Sequence (CBL))

Reaktivität

  • 173
  • 58
  • 56
  • 3
  • 2
  • 1
  • 1
  • 1
Human

Wirt

  • 148
  • 23
  • 3
  • 1
Kaninchen

Klonalität

  • 138
  • 37
Polyklonal

Konjugat

  • 81
  • 8
  • 6
  • 6
  • 6
  • 5
  • 4
  • 4
  • 4
  • 4
  • 4
  • 4
  • 4
  • 4
  • 4
  • 4
  • 4
  • 4
  • 4
  • 4
  • 4
  • 1
  • 1
  • 1
Dieser CBL Antikörper ist unkonjugiert

Applikation

  • 100
  • 52
  • 52
  • 48
  • 47
  • 30
  • 22
  • 13
  • 12
  • 12
  • 8
  • 4
  • 1
  • 1
  • 1
  • 1
  • 1
Immunohistochemistry (Paraffin-embedded Sections) (IHC (p))
Sie sind hier:
Chat with us!