Telefon:
+49 (0)241 95 163 153
Fax:
+49 (0)241 95 163 155
E-Mail:
orders@antikoerper-online.de

CBL Antikörper

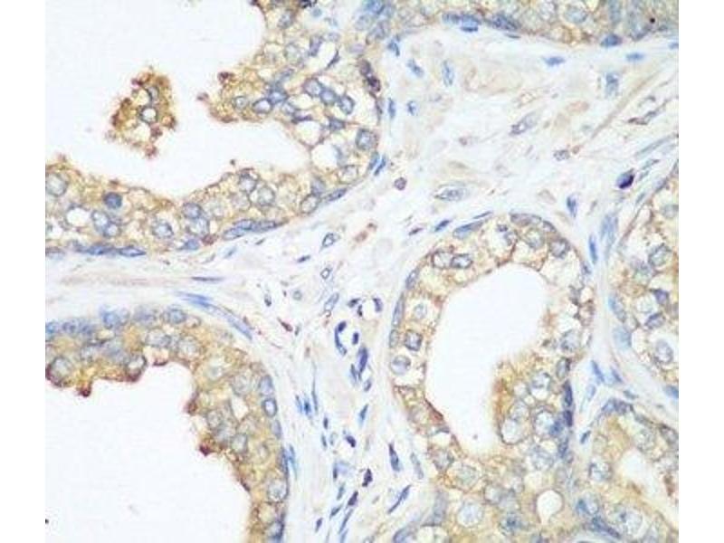
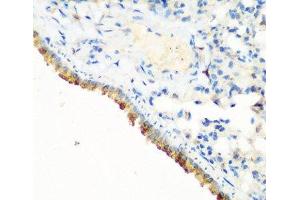
Der Kaninchen Polyklonal anti-CBL Antikörper (ABIN7254979) detektiert spezifisch CBL in IHC und IF. Dieser Antikörper reagiert spezifisch mit Proben aus Human, Maus und Ratte.
Produktnummer ABIN7254979
580,00 €
Zzgl. Versandkosten 20,00 € und MwSt
Lieferung nach: Deutschland
Lieferung in 9 bis 13 Werktagen

Kurzübersicht für CBL Antikörper (ABIN7254979)

Target

Alle CBL Antikörper anzeigen
CBL (Cas-Br-M (Murine) Ecotropic Retroviral Transforming Sequence (CBL))

Reaktivität

  • 172
  • 57
  • 55
  • 3
  • 2
  • 1
  • 1
  • 1
Human, Maus, Ratte

Wirt

  • 147
  • 23
  • 3
  • 1
Kaninchen

Klonalität

  • 137
  • 37
Polyklonal

Konjugat

  • 80
  • 8
  • 6
  • 6
  • 6
  • 5
  • 4
  • 4
  • 4
  • 4
  • 4
  • 4
  • 4
  • 4
  • 4
  • 4
  • 4
  • 4
  • 4
  • 4
  • 4
  • 1
  • 1
  • 1
Dieser CBL Antikörper ist unkonjugiert

Applikation

  • 100
  • 52
  • 52
  • 48
  • 46
  • 29
  • 22
  • 13
  • 12
  • 12
  • 8
  • 4
  • 1
  • 1
  • 1
  • 1
  • 1
Immunohistochemistry (IHC), Immunofluorescence (IF)
Sie sind hier:
Chat with us!