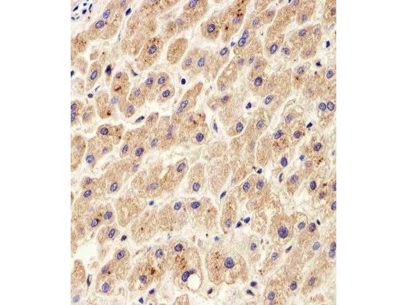
Der Kaninchen Polyklonal anti-PDIA6 Antikörper wird verwendet zum Nachweis von PDIA6 in Proben von Human, Maus und Ratte. Er wurde validiert für WB, IF, FACS und IHC (p).
This antibody is prepared by Saturated Ammonium Sulfate (SAS) precipitation followed by dialysis against PBS.
Immunogen
This PDIA6 antibody is generated from rabbits immunized with a KLH conjugated synthetic peptide between 144-172 amino acids from the Central region of human PDIA6.
Purified polyclonal antibody supplied in PBS with 0.09 % (W/V) sodium azide.
Konservierungsmittel
Sodium azide
Vorsichtsmaßnahmen
This product contains Sodium azide: a POISONOUS AND HAZARDOUS SUBSTANCE which should be handled by trained staff only.
Lagerung
4 °C,-20 °C
Informationen zur Lagerung
Maintain refrigerated at 2-8 °C for up to 6 months. For long term storage store at -20 °C in small aliquots to prevent freeze-thaw cycles.
Haltbarkeit
6 months
Target
PDIA6
(Protein Disulfide Isomerase Family A, Member 6 (PDIA6))
Andere Bezeichnung
PDIA6
Hintergrund
Protein disulfide isomerases (EC 5.3.4.1), such as PDIA6, are endoplasmic reticulum (ER) resident proteins that catalyze formation, reduction, and isomerization of disulfide bonds in proteins and are thought to play a role in folding of disulfide-bonded proteins.