GRB2 Antikörper
Kurzübersicht für GRB2 Antikörper (ABIN364459)
Target
Alle GRB2 Antikörper anzeigenReaktivität
Wirt
Klonalität
Konjugat
Applikation
-
-
Spezifität
- Recognizes the N-terminal SH3 region of rat Grb2 at 23-25kD.
-
Aufreinigung
- Protein A purified
-
Immunogen
-
Recombinant rat GRB2/Ash.
Type of Immunogen: Recombinant protein -
Isotyp
- IgG1 kappa
-
-
-
-
Applikationshinweise
-
Approved: IHC, IHC-P (5 μg/mL), WB (0.5 - 2 μg/mL)
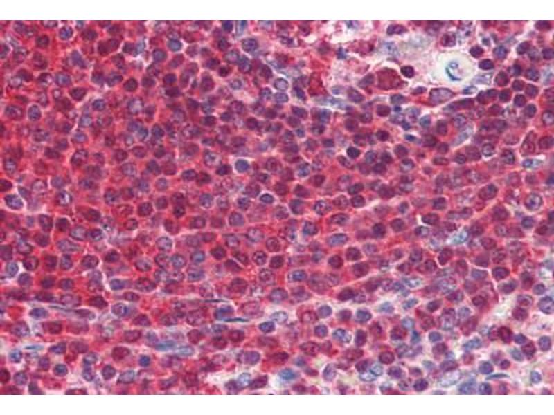
Usage: Immunohistochemistry: This antibody was validated for use in immunohistochemistry on a panel of 21 formalin-fixed, paraffin-embedded (FFPE) human tissues after heat induced antigen retrieval in pH 6.0 citrate buffer. After incubation with the primary antibody, slides were incubated with biotinylated secondary antibody, followed by alkaline phosphatase-streptavidin and chromogen. The stained slides were evaluated by a pathologist to confirm staining specificity. The optimal working concentration for this antibody was determined to be 5 μg/mL. Western Blot: 0.5-2 mg/mL. Detects GRB2 (23-25kD) in RIPA lysates of non-stimulated human A431 carcinoma cells. Previous lots detected GRB2 in RIPA lysates of mouse 3T3 fibroblasts, rat L6 myoblasts, Chinese hamster ovary cells and bovine brain extract. -
Kommentare
-
Target Species of Antibody: Rat
-
Beschränkungen
- Nur für Forschungszwecke einsetzbar
-
-
-
Format
- Liquid
-
Konzentration
- Lot specific
-
Buffer
- PBS, 50 % glycerol.
-
Handhabung
- Avoid repeat freeze-thaw cycles.
-
Lagerung
- 4 °C,-20 °C
-
Informationen zur Lagerung
- Short term: 4°C. Long term: Store at -20°C. Avoid freeze-thaw cycles.
-
-
- GRB2 (Growth Factor Receptor-Bound Protein 2 (GRB2))
-
Andere Bezeichnung
- GRB2
-
Hintergrund
-
Name/Gene ID: GRB2
Synonyms: GRB2, Abundant SRC homology, Adapter protein GRB2, ASH, EGFRBP-GRB2, MST084, MSTP084, Protein Ash, SH2/SH3 adapter GRB2, Grb3-3, HT027, NCKAP2 -
Gen-ID
- 2885
-
UniProt
- P62993
-
Pathways
- RTK Signalweg, T-Zell Rezeptor Signalweg, Fc-epsilon Rezeptor Signalübertragung, EGFR Signaling Pathway, Neurotrophin Signalübertragung, Regulation of Actin Filament Polymerization, Hepatitis C, Signaling Events mediated by VEGFR1 and VEGFR2, Signaling of Hepatocyte Growth Factor Receptor, EGFR Downregulation
Target
-