ERCC4 Antikörper
Kurzübersicht für ERCC4 Antikörper (ABIN364262)
Target
Alle ERCC4 Antikörper anzeigenReaktivität
Wirt
Klonalität
Konjugat
Applikation
-
-
Spezifität
- Recognizes XPF. Species cross-reactivity: human.
-
Aufreinigung
- Protein G purified
-
Immunogen
-
Recombinant human XPF protein.
Type of Immunogen: Recombinant protein -
Isotyp
- IgG2 kappa
-
-
-
-
Applikationshinweise
-
Approved: IHC, IHC-P (10 μg/mL), WB (1 - 2 μg/mL)
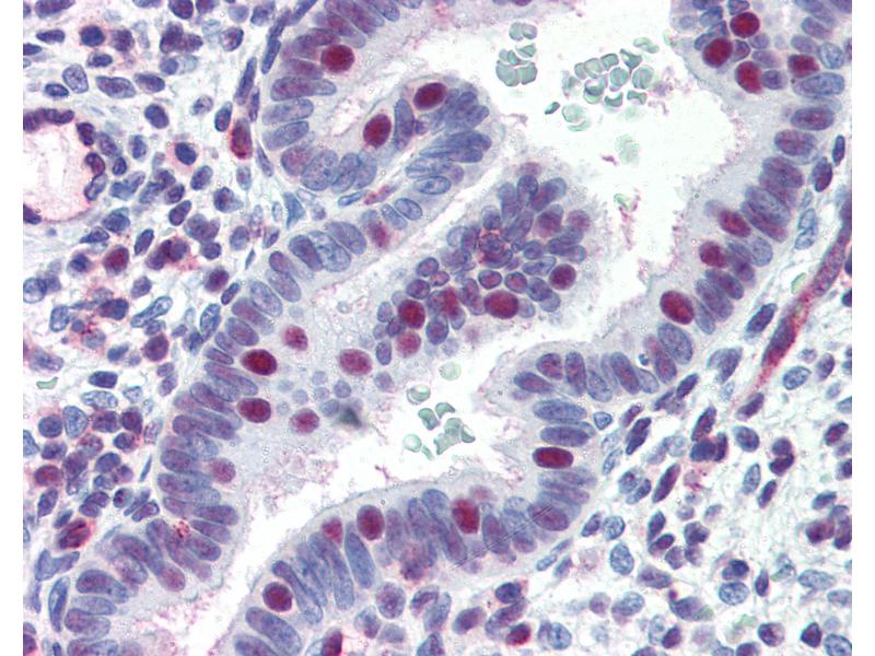
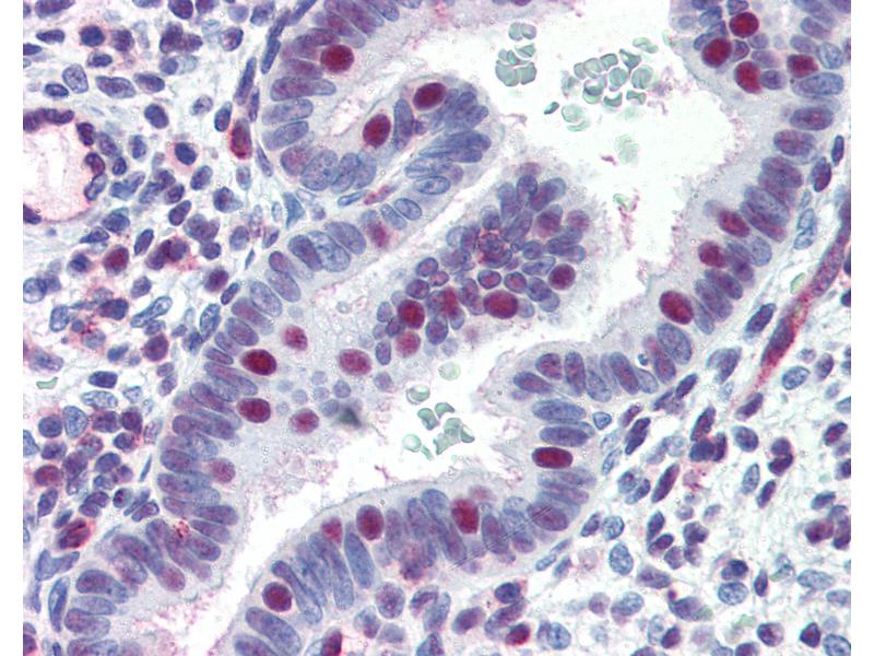
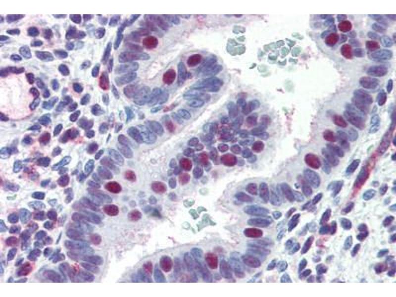
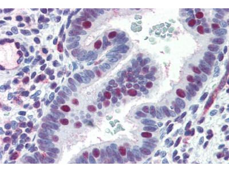
Usage: Immunohistochemistry: This antibody was validated for use in immunohistochemistry on a panel of 21 formalin-fixed, paraffin-embedded (FFPE) human tissues after heat induced antigen retrieval in pH 6.0 citrate buffer. After incubation with the primary antibody, slides were incubated with biotinylated secondary antibody, followed by alkaline phosphatase-streptavidin and chromogen. The stained slides were evaluated by a pathologist to confirm staining specificity. The optimal working concentration for this antibody was determined to be 10 μg/mL. Western Blot: 1-2 μg/mL for 2hrs at RT. Positive control: MCF-7 cells or human tonsil. -
Kommentare
-
Target Species of Antibody: Human
-
Beschränkungen
- Nur für Forschungszwecke einsetzbar
-
-
-
Format
- Liquid
-
Konzentration
- Lot specific
-
Buffer
- PBS, pH 7.4, 0.2 % BSA, 0.09 % sodium azide.
-
Konservierungsmittel
- Sodium azide
-
Vorsichtsmaßnahmen
- This product contains Sodium azide: a POISONOUS AND HAZARDOUS SUBSTANCE which should be handled by trained staff only.
-
Lagerung
- 4 °C,-20 °C
-
Informationen zur Lagerung
- Short term: 4°C. Long term: Store at -20°C. Avoid freeze-thaw cycles.
-
-
- ERCC4 (Excision Repair Cross-Complementing Rodent Repair Deficiency, Complementation Group 4 (ERCC4))
-
Andere Bezeichnung
- ERCC4 / XPF
-
Hintergrund
-
Name/Gene ID: ERCC4
Synonyms: ERCC4, ERCC11, DNA repair endonuclease XPF, XPF -
Gen-ID
- 2072
-
UniProt
- Q92889
-
Pathways
- DNA Reparatur
Target
-