Telefon:
+49 (0)241 95 163 153
Fax:
+49 (0)241 95 163 155
E-Mail:
orders@antikoerper-online.de

DOK2 Antikörper (C-Term)

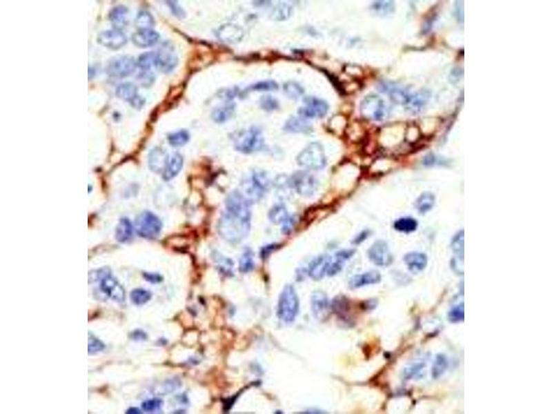
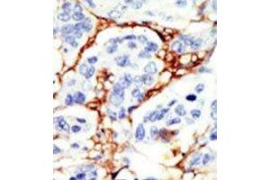
Der Kaninchen Polyklonal anti-DOK2 Antikörper wird verwendet zum Nachweis von DOK2 in Proben von Human. Er wurde validiert für WB, IHC (p) und EIA.
Produktnummer ABIN359960
870,77 €
Zzgl. Versandkosten 20,00 € und MwSt
0.4 mL
Lieferung nach: Deutschland
Lieferung in 16 Werktagen

Kurzübersicht für DOK2 Antikörper (C-Term) (ABIN359960)

Target

Alle DOK2 Antikörper anzeigen
DOK2

Reaktivität

  • 104
  • 69
  • 19
  • 4
  • 4
  • 3
  • 3
  • 2
  • 1
Human

Wirt

  • 114
  • 5
Kaninchen

Klonalität

  • 114
  • 5
Polyklonal

Konjugat

  • 41
  • 7
  • 7
  • 6
  • 4
  • 4
  • 4
  • 4
  • 4
  • 4
  • 4
  • 4
  • 4
  • 4
  • 4
  • 2
  • 2
  • 2
  • 2
  • 2
  • 2
  • 1
  • 1
Dieser DOK2 Antikörper ist unkonjugiert

Applikation

  • 98
  • 52
  • 52
  • 38
  • 27
  • 15
  • 14
  • 12
  • 2
  • 2
  • 2
  • 1
Western Blotting (WB), Immunohistochemistry (Paraffin-embedded Sections) (IHC (p)), Enzyme Immunoassay (EIA)
  • Bindungsspezifität

    • 26
    • 22
    • 15
    • 7
    • 6
    • 5
    • 3
    • 2
    • 2
    • 2
    • 2
    • 1
    • 1
    • 1
    • 1
    • 1
    • 1
    C-Term

    Spezifität

    This antibody reacts to DOK2.

    Aufreinigung

    Protein G column, eluted with high and low pH buffers and neutralized immediately, followed by dialysis against PBS

    Immunogen

    This antibody is generated from rabbits immunized with a KLH conjugated synthetic peptide selected from the C-terminal region of human DOK2.

    Isotyp

    Ig Fraction
  • Applikationshinweise

    ELISA: 1/1,000. Western blotting: 1/100 - 1/500. Immunohistochemistry: 1/50 - 1/100.
    Other applications not tested.
    Optimal dilutions are dependent on conditions and should be determined by the user.

    Beschränkungen

    Nur für Forschungszwecke einsetzbar
  • Format

    Liquid

    Konzentration

    0.25 mg/mL

    Buffer

    PBS with 0.09 % (W/V) sodium azide

    Konservierungsmittel

    Sodium azide

    Vorsichtsmaßnahmen

    This product contains sodium azide: a POISONOUS AND HAZARDOUS SUBSTANCE which should be handled by trained staff only.

    Handhabung

    Avoid repeated freezing and thawing.

    Lagerung

    4 °C/-20 °C

    Informationen zur Lagerung

    Store the antibody undiluted at 2-8 °C for one month or (in aliquots) at-20 °C for longer.
  • Target

    DOK2

    Andere Bezeichnung

    DOK2 / p56 Dok2

    Hintergrund

    Docking proteins interact with receptor tyrosine kinases and mediate particular biological responses using signal transduction. Dok-2 acts as a multiple docking protein downstream of receptor or non-receptor tyrosine kinases. By this mechanism it acts to negatively regulate signal transduction and cell proliferation controlled by cytokines in a feedback loop. Dok-2 is highly expressed in cells and tissues of hematopoietic origin as well as in lung. Expression of bcr/abl induces additional tyrosine phosphorylation of the Dok1 and Dok2 proteins and their association with Ras-GAP. Thus, it is suspected that DOK association regulates GAP activity toward Ras and that the Dok proteins serve as mediators of bcr-abl signaling. The role of Dok proteins in bcr-abl regulation may also be implicated in chronic myelogenous leukemia (CML), which is characterized by a Philadelphia chromosome translocation t(9,22). Such a mutation would result in a p210-bcr/abl chimeric protein-tyrosine kinase which has been found in many CML cases.Synonyms: Docking protein 2, Downstream of tyrosine kinase 2, p56(dok-2), p56Dok-2

    Gen-ID

    9046, 9606

    UniProt

    O60496
Sie sind hier:
Chat with us!