Telefon:
+49 (0)241 95 163 153
Fax:
+49 (0)241 95 163 155
E-Mail:
orders@antikoerper-online.de

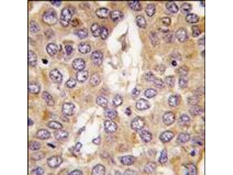
Casein Kinase 1 gamma 2 Antikörper (C-Term)

Dieser Kaninchen Polyklonal Antikörper detektiert spezifisch Casein Kinase 1 gamma 2 in WB und EIA. Es zeigt Reaktivität gegenüber Proben von Human und Maus.
Produktnummer ABIN359563
870,77 €
Zzgl. Versandkosten 20,00 € und MwSt
0.4 mL
Lieferung nach: Deutschland
Lieferung in 16 Werktagen

Kurzübersicht für Casein Kinase 1 gamma 2 Antikörper (C-Term) (ABIN359563)

Target

Alle Casein Kinase 1 gamma 2 (CSNK1G2) Antikörper anzeigen
Casein Kinase 1 gamma 2 (CSNK1G2) (Casein Kinase 1, gamma 2 (CSNK1G2))

Reaktivität

  • 37
  • 36
  • 12
  • 5
  • 3
  • 3
  • 3
  • 2
  • 2
  • 2
  • 2
  • 1
Human, Maus

Wirt

  • 45
  • 7
Kaninchen

Klonalität

  • 45
  • 7
Polyklonal

Konjugat

  • 33
  • 2
  • 2
  • 2
  • 1
  • 1
  • 1
  • 1
  • 1
  • 1
  • 1
  • 1
  • 1
  • 1
  • 1
  • 1
  • 1
Dieser Casein Kinase 1 gamma 2 Antikörper ist unkonjugiert

Applikation

  • 51
  • 20
  • 15
  • 14
  • 14
  • 10
  • 9
  • 4
  • 4
  • 2
  • 1
  • 1
Western Blotting (WB), Enzyme Immunoassay (EIA)
  • Bindungsspezifität

    • 15
    • 8
    • 6
    • 4
    • 3
    • 3
    • 2
    • 1
    • 1
    • 1
    • 1
    • 1
    • 1
    • 1
    • 1
    • 1
    • 1
    C-Term

    Spezifität

    This antibody reacts to Casein Kinase 1 gamma 2 (CK1G2).

    Aufreinigung

    Protein G column, eluted with high and low pH buffers and neutralized immediately, followed by dialysis against PBS

    Immunogen

    This antibody is generated from rabbits immunized with a KLH conjugated synthetic peptide selected from the C-terminal region of human CK1g2.

    Isotyp

    Ig Fraction
  • Applikationshinweise

    ELISA: 1/1,000. Western blotting: 1/100 - 1/500. Immunohistochemistry: 1/10 - 1/50. Flow cytometry.
    Other applications not tested.
    Optimal dilutions are dependent on conditions and should be determined by the user.

    Beschränkungen

    Nur für Forschungszwecke einsetzbar
  • Format

    Liquid

    Konzentration

    0.25 mg/mL

    Buffer

    PBS with 0.09 % (W/V) sodium azide

    Konservierungsmittel

    Sodium azide

    Vorsichtsmaßnahmen

    This product contains sodium azide: a POISONOUS AND HAZARDOUS SUBSTANCE which should be handled by trained staff only.

    Handhabung

    Avoid repeated freezing and thawing.

    Lagerung

    4 °C/-20 °C

    Informationen zur Lagerung

    Store the antibody undiluted at 2-8 °C for one month or (in aliquots) at-20 °C for longer.
  • Target

    Casein Kinase 1 gamma 2 (CSNK1G2) (Casein Kinase 1, gamma 2 (CSNK1G2))

    Andere Bezeichnung

    CSNK1G2

    Hintergrund

    Protein kinases are enzymes that transfer a phosphate group from a phosphate donor, generally the g phosphate of ATP, onto an acceptor amino acid in a substrate protein. By this basic mechanism, protein kinases mediate most of the signal transduction in eukaryotic cells, regulating cellular metabolism, transcription, cell cycle progression, cytoskeletal rearrangement and cell movement, apoptosis, and differentiation. With more than 500 gene products, the protein kinase family is one of the largest families of proteins in eukaryotes. The family has been classified in 8 major groups based on sequence comparison of their tyrosine (PTK) or serine/threonine (STK) kinase catalytic domains. The casein kinase 1 (CK1) group consists of 12 kinases including CK1, TTBK (tau tubulin kinase), and VRK (vaccinia-related kinase) families. The receptor guanylate cyclase (RGC) group consists of 5 kinases similar in domain sequence to TKs (ANP, CYG).Synonyms: CKI-gamma 2, Casein kinase I isoform gamma-2

    Gen-ID

    1455, 9606

    UniProt

    P78368

    Pathways

    Hedgehog Signalweg
Sie sind hier:
Chat with us!