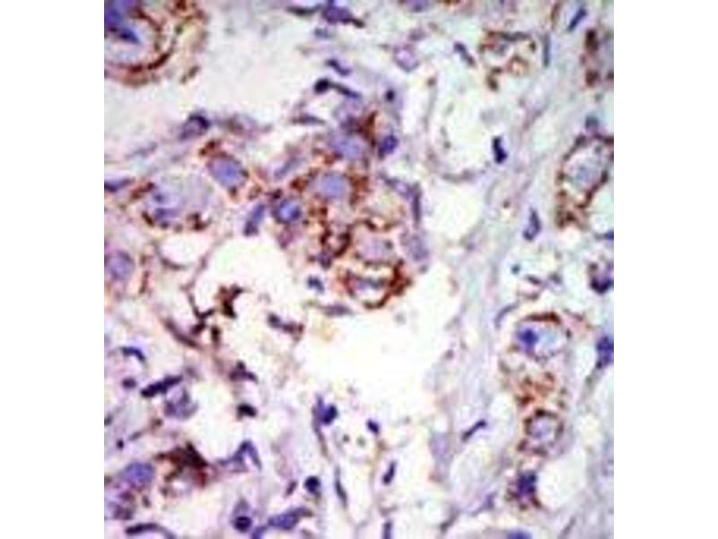
GRK6
Reaktivität: Human
WB, ELISA, IF
Wirt: Kaninchen
Polyclonal
unconjugated
Applikationshinweise
ELISA: 1/1,000. Western blotting: 1/100 - 1/500. Immunohistochemistry: 1/50 - 1/100. Other applications not tested. Optimal dilutions are dependent on conditions and should be determined by the user.
Beschränkungen
Nur für Forschungszwecke einsetzbar
Format
Liquid
Konzentration
0.25 mg/mL
Buffer
PBS with 0.09 % (W/V) sodium azide
Konservierungsmittel
Sodium azide
Vorsichtsmaßnahmen
This product contains sodium azide: a POISONOUS AND HAZARDOUS SUBSTANCE which should be handled by trained staff only.
Handhabung
Avoid repeated freezing and thawing.
Lagerung
4 °C/-20 °C
Informationen zur Lagerung
Store the antibody undiluted at 2-8 °C for one month or (in aliquots) at-20 °C for longer.
Target
GRK6
(G Protein-Coupled Receptor Kinase 6 (GRK6))
Andere Bezeichnung
GRK6
Hintergrund
GRK6 is a member of the guanine nucleotide-binding protein (G protein)-coupled receptor kinase subfamily of the Ser/Thr protein kinase family. The protein phosphorylates the activated forms of G protein-coupled receptors thus initiating their deactivation.Synonyms: G protein-coupled receptor kinase 6, G protein-coupled receptor kinase GRK6, GPRK6