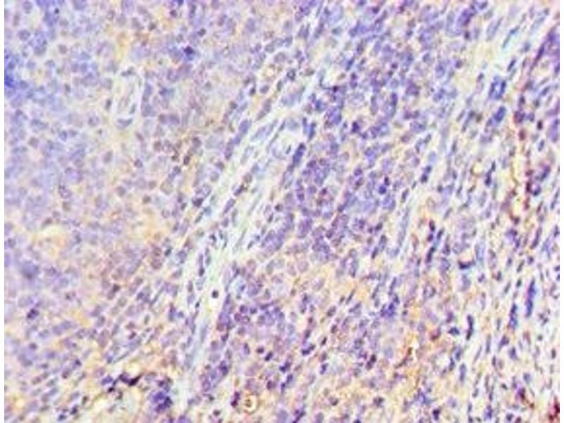
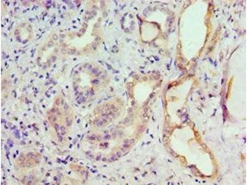
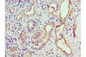
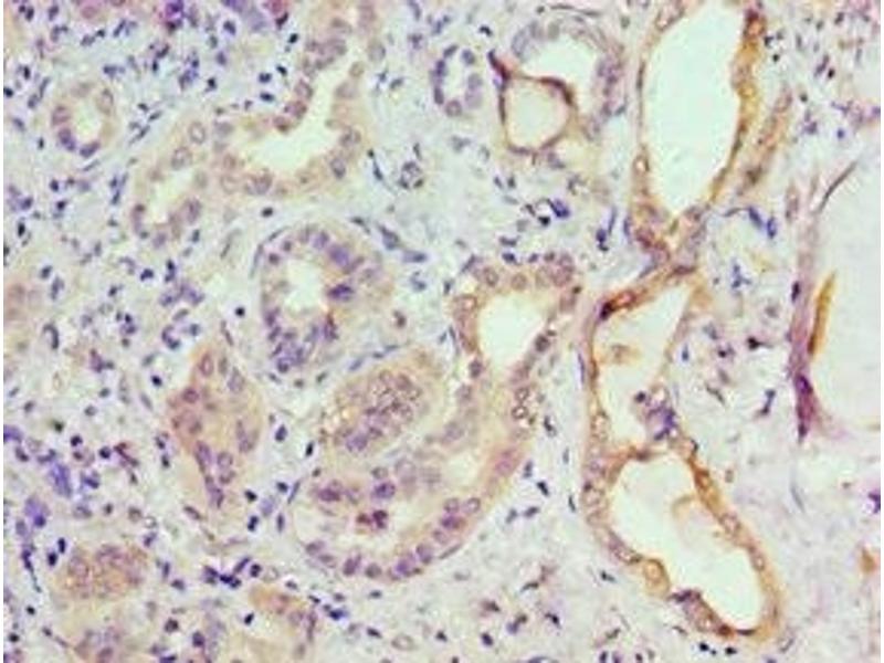
GRK6 Antikörper (AA 1-170)
Kurzübersicht für GRK6 Antikörper (AA 1-170) (ABIN7153301)
Target
Alle GRK6 Antikörper anzeigenReaktivität
Wirt
Klonalität
Konjugat
Applikation
-
-
Bindungsspezifität
- AA 1-170
-
Verwendungszweck
- GRK6 Antibody
-
Aufreinigung
- Antigen Affinity Purified
-
Immunogen
- Recombinant Human G protein-coupled receptor kinase 6 protein (1-170AA)
-
Isotyp
- IgG
-
-
-
-
Applikationshinweise
- Optimal working dilution should be determined by the investigator.
-
Beschränkungen
- Nur für Forschungszwecke einsetzbar
-
-
-
Format
- Liquid
-
Buffer
- PBS with 0.02 % sodium azide, 50 % glycerol, pH 7.3.
-
Konservierungsmittel
- Sodium azide
-
Vorsichtsmaßnahmen
- This product contains Sodium azide: a POISONOUS AND HAZARDOUS SUBSTANCE which should be handled by trained staff only.
-
Lagerung
- -20 °C,-80 °C
-
Informationen zur Lagerung
- Upon receipt, store at -20°C or -80°C. Avoid repeated freeze.
-
-
- GRK6 (G Protein-Coupled Receptor Kinase 6 (GRK6))
-
Andere Bezeichnung
- GRK6
-
Hintergrund
-
Background: Specifically phosphorylates the activated forms of G protein-coupled receptors. Such receptor phosphorylation initiates beta-arrestin-mediated receptor desensitization, internalization, and signaling events leading to their desensitization. Seems to be involved in the desensitization of D2-like dopamine receptors in striatum and chemokine receptor CXCR4 which is critical for CXCL12-induced cell chemotaxis (By similarity). Phosphorylates rhodopsin (RHO) (in vitro) and a non G-protein-coupled receptor: LRP6 during Wnt signaling (in vitro).
Aliases: FLJ32135 antibody, G protein coupled receptor kinase 6 antibody, G protein coupled receptor kinase GRK6 antibody, G protein-coupled receptor kinase 6 antibody, G protein-coupled receptor kinase GRK6 antibody, Gprk6 antibody, Grk6 antibody, GRK6_HUMAN antibody
-
UniProt
- P43250
-
Pathways
- Myometrial Relaxation and Contraction, Regulation of G-Protein Coupled Receptor Protein Signaling, CXCR4-mediated Signaling Events, Negative Regulation of Transporter Activity
Target
-