Telefon:
+49 (0)241 95 163 153
Fax:
+49 (0)241 95 163 155
E-Mail:
orders@antikoerper-online.de

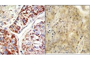
EZH1 Antikörper (Middle Region)

Dieser Kaninchen Polyklonal Antikörper detektiert spezifisch EZH1 in WB, IHC (p) und EIA. Es zeigt Reaktivität gegenüber Proben von Human.
Produktnummer ABIN357745
870,77 €
Zzgl. Versandkosten 20,00 € und MwSt
0.4 mL
Lieferung nach: Deutschland
Lieferung in 16 Werktagen

Kurzübersicht für EZH1 Antikörper (Middle Region) (ABIN357745)

Target

Alle EZH1 Antikörper anzeigen
EZH1 (Enhancer of Zeste Homolog 1 (EZH1))

Reaktivität

  • 67
  • 39
  • 31
  • 5
  • 4
  • 3
  • 3
  • 2
  • 2
  • 2
  • 2
  • 2
  • 2
  • 1
Human

Wirt

  • 63
  • 4
  • 1
Kaninchen

Klonalität

  • 64
  • 4
Polyklonal

Konjugat

  • 37
  • 4
  • 4
  • 4
  • 1
  • 1
  • 1
  • 1
  • 1
  • 1
  • 1
  • 1
  • 1
  • 1
  • 1
  • 1
  • 1
  • 1
  • 1
  • 1
  • 1
  • 1
  • 1
Dieser EZH1 Antikörper ist unkonjugiert

Applikation

  • 52
  • 31
  • 22
  • 13
  • 13
  • 10
  • 9
  • 6
  • 4
  • 4
  • 3
  • 1
  • 1
Western Blotting (WB), Immunohistochemistry (Paraffin-embedded Sections) (IHC (p)), Enzyme Immunoassay (EIA)
  • Bindungsspezifität

    • 15
    • 8
    • 7
    • 6
    • 4
    • 3
    • 2
    • 2
    • 1
    • 1
    • 1
    • 1
    • 1
    • 1
    • 1
    • 1
    • 1
    Middle Region

    Spezifität

    This antibody is specific to EZH1 (Center).

    Aufreinigung

    Protein G Chromatography, eluted with high and low pH buffers and neutralized immediately, followed by dialysis against PBS.

    Immunogen

    This antibody is generated from rabbits immunized with a KLH conjugated synthetic peptide selected from the center region of human EZH1.

    Isotyp

    Ig Fraction
  • Applikationshinweise

    ELISA: 1/1,000. Western Blot: 1/50-1/100. Immunohistochemistry: 1/50-1/100.
    Other applications not tested.
    Optimal dilutions are dependent on conditions and should be determined by the user.

    Beschränkungen

    Nur für Forschungszwecke einsetzbar
  • Format

    Liquid

    Konzentration

    0.25 mg/mL

    Buffer

    PBS with 0.09 % (W/V) Sodium Azide as preservative.

    Konservierungsmittel

    Sodium azide

    Vorsichtsmaßnahmen

    This product contains sodium azide: a POISONOUS AND HAZARDOUS SUBSTANCE which should be handled by trained staff only.

    Handhabung

    Avoid repeated freezing and thawing.

    Lagerung

    4 °C/-20 °C

    Informationen zur Lagerung

    Store the antibody undiluted at 2-8 °C for one month or (in aliquots) at-20 °C for longer.
  • Target

    EZH1 (Enhancer of Zeste Homolog 1 (EZH1))

    Andere Bezeichnung

    EZH1

    Hintergrund

    EZH1 encodes a protein of 747 amino acids that displays 55 % amino acid identity overall with the Drosophila homolog.1 The strong sequence conservation suggested potential roles for EZH1 in human development as a transcriptional regulator and as a component of protein complexes that preserve heterochromatin stability. EZH1 is expressed as 2 major transcripts in all adult and fetal human tissues evaluated.. Analysis of an EZH1 cDNA revealed an unusual splicing event involving EZH1 and a tandemly linked gene GPR2 and suggested a potential mechanism for modifying the EZH1 protein in the conserved C-terminal domain. The GPR2 gene maps to 17q21.1-q21.3 in the vicinity of the BRCA1 gene.Synonyms: ENX-2, Enhancer of zeste homolog 1, Histone-lysine N-methyltransferase EZH1, KIAA0388

    Molekulargewicht

    85270 Da

    Gen-ID

    2145, 9606

    UniProt

    Q92800
Sie sind hier:
Chat with us!