Telefon:
+49 (0)241 95 163 153
Fax:
+49 (0)241 95 163 155
E-Mail:
orders@antikoerper-online.de

EZH1 Antikörper (N-Term)

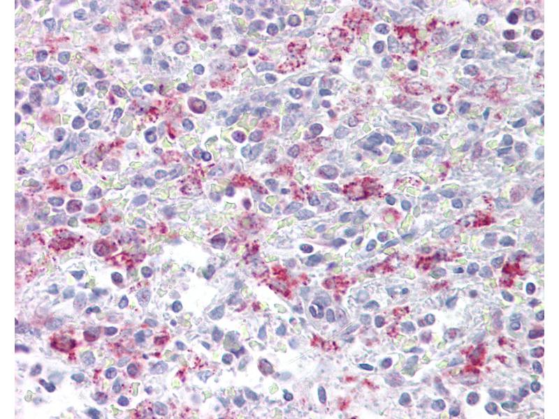
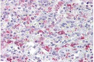
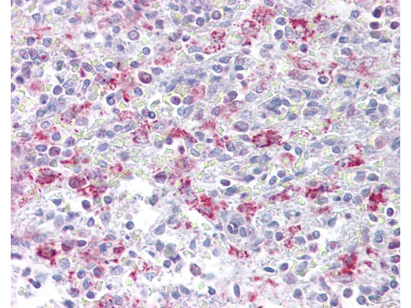
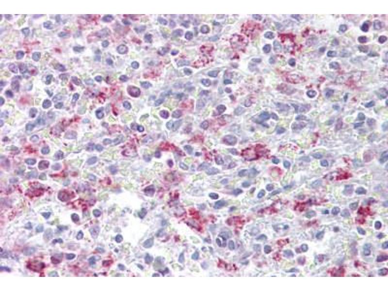
Der Kaninchen Polyklonal anti-EZH1 Antikörper wird verwendet zum Nachweis von EZH1 in Proben von Human, Maus, Ratte, Affe, Rind (Kuh), Meerschweinchen, Pferd, Hund, Kaninchen, Zebrafisch (Danio rerio), Fledermaus, Huhn, Schwein und Hamster. Er wurde validiert für WB, IHC und IHC (p).
Produktnummer ABIN6748511
512,07 €
Zzgl. Versandkosten 20,00 € und MwSt
100 μL
Lieferung nach: Deutschland
Lieferung in 15 bis 20 Werktagen

Kurzübersicht für EZH1 Antikörper (N-Term) (ABIN6748511)

Target

Alle EZH1 Antikörper anzeigen
EZH1 (Enhancer of Zeste Homolog 1 (EZH1))

Reaktivität

Human, Maus, Ratte, Affe, Rind (Kuh), Meerschweinchen, Pferd, Hund, Kaninchen, Zebrafisch (Danio rerio), Fledermaus, Huhn, Schwein, Hamster

Wirt

  • 63
  • 4
  • 1
Kaninchen

Klonalität

  • 64
  • 4
Polyklonal

Konjugat

  • 37
  • 4
  • 4
  • 4
  • 1
  • 1
  • 1
  • 1
  • 1
  • 1
  • 1
  • 1
  • 1
  • 1
  • 1
  • 1
  • 1
  • 1
  • 1
  • 1
  • 1
  • 1
  • 1
Dieser EZH1 Antikörper ist unkonjugiert

Applikation

  • 52
  • 31
  • 21
  • 13
  • 13
  • 10
  • 9
  • 6
  • 4
  • 4
  • 3
  • 2
  • 1
Western Blotting (WB), Immunohistochemistry (IHC), Immunohistochemistry (Paraffin-embedded Sections) (IHC (p))
  • Bindungsspezifität

    • 15
    • 8
    • 6
    • 6
    • 4
    • 3
    • 2
    • 2
    • 1
    • 1
    • 1
    • 1
    • 1
    • 1
    • 1
    • 1
    • 1
    • 1
    N-Term

    Spezifität

    Human EZH1

    Homologie

    Percent identity by BLAST analysis: Human, Mouse, Rat, Dog, Bovine, Rabbit, Horse, Pig, Chicken (100%) Zebrafish (85%).

    Aufreinigung

    Immunoaffinity purified

    Immunogen

    Synthetic peptide from N-Terminus of human EZH1 (Q92800, NP_001982). Percent identity by BLAST analysis: Human, Chimpanzee, Gorilla, Orangutan, Monkey, Galago, Marmoset, Mouse, Rat, Hamster, Elephant, Dog, Bovine, Bat, Rabbit, Horse, Pig, Opossum, Guinea pig, Turkey, Chicken, Platypus, Lizard (100%), Medaka, Pufferfish (92%), Zebrafish (85%), Stickleback (83%).

    Type of Immunogen: Synthetic peptide
  • Applikationshinweise

    Approved: IHC, IHC-P (5 μg/mL), WB (0.2 - 1 μg/mL)

    Usage: Western Blot: Suggested dilution at 1 μg/mL in 5 % skim milk / PBS buffer, and HRP conjugated anti-Rabbit IgG should be diluted in 1: 50,000 - 100,000 as secondary antibody.

    Kommentare

    Target Species of Antibody: Human

    Beschränkungen

    Nur für Forschungszwecke einsetzbar
  • Format

    Lyophilized

    Rekonstitution

    Distilled water

    Konzentration

    Lot specific

    Buffer

    Lyophilized from PBS with 2 % sucrose

    Handhabung

    Avoid repeat freeze-thaw cycles.

    Lagerung

    4 °C,-20 °C

    Informationen zur Lagerung

    Long term: -20°C, the use of 50% glycerol is recommended if storing aliquots in -20°C for long term use (up to 1 year)
    Short term (less than 1 week): 4°C. Avoid freeze-thaw cycles.
  • Target

    EZH1 (Enhancer of Zeste Homolog 1 (EZH1))

    Andere Bezeichnung

    EZH1

    Hintergrund

    Name/Gene ID: EZH1

    Synonyms: EZH1, ENX-2, KIAA0388, Enhancer of zeste homolog 1, KMT6B

    Gen-ID

    2145

    NCBI Accession

    NP_001982

    UniProt

    Q92800
Sie sind hier:
Chat with us!