Telefon:
+49 (0)241 95 163 153
Fax:
+49 (0)241 95 163 155
E-Mail:
orders@antikoerper-online.de

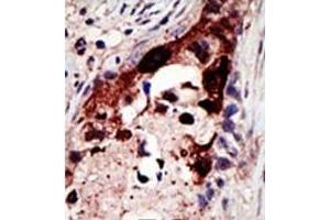
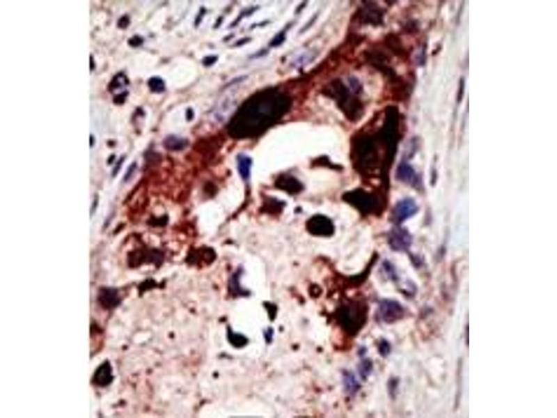
Epsin 2 Antikörper (N-Term)

Der Kaninchen Polyklonal anti-Epsin 2 Antikörper wird verwendet zum Nachweis von Epsin 2 in Proben von Human und Maus. Er wurde validiert für WB, IHC (p) und EIA.
Produktnummer ABIN357623
870,77 €
Zzgl. Versandkosten 20,00 € und MwSt
0.4 mL
Lieferung nach: Deutschland
Lieferung in 16 Werktagen

Kurzübersicht für Epsin 2 Antikörper (N-Term) (ABIN357623)

Target

Alle Epsin 2 (EPN2) Antikörper anzeigen
Epsin 2 (EPN2)

Reaktivität

  • 38
  • 24
  • 17
  • 5
  • 3
  • 3
  • 3
  • 3
  • 2
  • 2
  • 1
Human, Maus

Wirt

  • 33
  • 6
Kaninchen

Klonalität

  • 34
  • 5
Polyklonal

Konjugat

  • 24
  • 3
  • 2
  • 2
  • 1
  • 1
  • 1
  • 1
  • 1
  • 1
  • 1
  • 1
Dieser Epsin 2 Antikörper ist unkonjugiert

Applikation

  • 27
  • 16
  • 14
  • 5
  • 5
  • 4
  • 1
  • 1
Western Blotting (WB), Immunohistochemistry (Paraffin-embedded Sections) (IHC (p)), Enzyme Immunoassay (EIA)
  • Bindungsspezifität

    • 7
    • 4
    • 3
    • 2
    • 1
    • 1
    • 1
    • 1
    • 1
    • 1
    • 1
    • 1
    • 1
    • 1
    N-Term

    Spezifität

    This antibody is specific to Epsin-2 (N-term).

    Aufreinigung

    Protein G Chromatography, eluted with high and low pH buffers and neutralized immediately, followed by dialysis against PBS.

    Immunogen

    This antibody is generated from rabbits immunized with a KLH conjugated synthetic peptide selected from the N-terminal region of human Epsin2.

    Isotyp

    Ig Fraction
  • Applikationshinweise

    ELISA: 1/1,000. Western Blot: 1/100-1/500. Immunohistochemistry: 1/50-1/100.
    Other applications not tested.
    Optimal dilutions are dependent on conditions and should be determined by the user.

    Beschränkungen

    Nur für Forschungszwecke einsetzbar
  • Format

    Liquid

    Konzentration

    0.25 mg/mL

    Buffer

    PBS with 0.09 % (W/V) Sodium Azide as preservative.

    Konservierungsmittel

    Sodium azide

    Vorsichtsmaßnahmen

    This product contains sodium azide: a POISONOUS AND HAZARDOUS SUBSTANCE which should be handled by trained staff only.

    Handhabung

    Avoid repeated freezing and thawing.

    Lagerung

    4 °C/-20 °C

    Informationen zur Lagerung

    Store the antibody undiluted at 2-8 °C for one month or (in aliquots) at-20 °C for longer.
  • Target

    Epsin 2 (EPN2)

    Andere Bezeichnung

    Epsin-2

    Hintergrund

    Epsin2 plays a role in the formation of clathrin-coated invaginations and endocytosis. It binds to EPS15 (via the NPF repeat domain), as well as to AP-2 and clathrin (via the DPW repeat domain). The protein resides in the cytoplasm, in punctate structures throughout the cell, associated with clathrin-coated vesicles, and is particularly concentrated in the region of the Golgi complex. Highest expression is found in brain, with lower levels detected in lung and liver.Synonyms: EPN2, EPS-15-interacting protein 2, KIAA1065

    Molekulargewicht

    68553 Da

    Gen-ID

    22905, 9606

    UniProt

    O95208

    Pathways

    EGFR Downregulation
Sie sind hier:
Chat with us!