Telefon:
+49 (0)241 95 163 153
Fax:
+49 (0)241 95 163 155
E-Mail:
orders@antikoerper-online.de

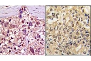
UBA1 Antikörper (C-Term)

Der Kaninchen Polyklonal anti-UBA1 Antikörper (ABIN357486) detektiert spezifisch UBA1 in WB, IHC (p) und EIA. Dieser Antikörper reagiert spezifisch mit Proben aus Human.
Produktnummer ABIN357486
870,77 €
Zzgl. Versandkosten 20,00 € und MwSt
0.4 mL
Lieferung nach: Deutschland
Lieferung in 16 Werktagen

Kurzübersicht für UBA1 Antikörper (C-Term) (ABIN357486)

Target

Alle UBA1 Antikörper anzeigen
UBA1 (Ubiquitin-Like Modifier Activating Enzyme 1 (UBA1))

Reaktivität

  • 93
  • 52
  • 47
  • 3
  • 3
  • 3
  • 2
  • 2
  • 1
  • 1
  • 1
  • 1
  • 1
  • 1
Human

Wirt

  • 92
  • 1
Kaninchen

Klonalität

  • 62
  • 31
Polyklonal

Konjugat

  • 34
  • 7
  • 5
  • 4
  • 4
  • 4
  • 4
  • 4
  • 4
  • 4
  • 2
  • 2
  • 2
  • 2
  • 1
  • 1
  • 1
  • 1
  • 1
  • 1
  • 1
  • 1
  • 1
  • 1
  • 1
Dieser UBA1 Antikörper ist unkonjugiert

Applikation

  • 58
  • 44
  • 30
  • 29
  • 23
  • 22
  • 14
  • 13
  • 9
  • 6
  • 3
  • 1
Western Blotting (WB), Immunohistochemistry (Paraffin-embedded Sections) (IHC (p)), Enzyme Immunoassay (EIA)
  • Bindungsspezifität

    • 15
    • 9
    • 8
    • 6
    • 5
    • 2
    • 1
    • 1
    • 1
    • 1
    • 1
    • 1
    • 1
    • 1
    • 1
    C-Term

    Spezifität

    This antibody is specific to UBE1/UBA1 (C-term). Predicted to cross react with Mouse and Rat (100 % Antigen Homology).

    Aufreinigung

    Protein G Chromatography, eluted with high and low pH buffers and neutralized immediately, followed by dialysis against PBS.

    Immunogen

    This antibody is generated from rabbits immunized with a KLH conjugated synthetic peptide selected from the C-terminal region of human UBE1.

    Isotyp

    Ig Fraction
  • Applikationshinweise

    ELISA: 1/1,000. Western Blot: 1/100-1/500. Immunohistochemistry: 1/50-1/100.
    Other applications not tested.
    Optimal dilutions are dependent on conditions and should be determined by the user.

    Beschränkungen

    Nur für Forschungszwecke einsetzbar
  • Format

    Liquid

    Konzentration

    0.25 mg/mL

    Buffer

    PBS with 0.09 % (W/V) Sodium Azide as preservative.

    Konservierungsmittel

    Sodium azide

    Vorsichtsmaßnahmen

    This product contains sodium azide: a POISONOUS AND HAZARDOUS SUBSTANCE which should be handled by trained staff only.

    Handhabung

    Avoid repeated freezing and thawing.

    Lagerung

    4 °C/-20 °C

    Informationen zur Lagerung

    Store the antibody undiluted at 2-8 °C for one month or (in aliquots) at-20 °C for longer.
  • Target

    UBA1 (Ubiquitin-Like Modifier Activating Enzyme 1 (UBA1))

    Andere Bezeichnung

    UBE1 / UBA1

    Hintergrund

    UBE1 catalyzes the first step in ubiquitin conjugation to mark cellular proteins for degradation. This gene complements an X-linked mouse temperature-sensitive defect in DNA synthesis, and thus may function in DNA repair. It is part of a gene cluster on chromosome Xp11.23. Alternative splicing results in 2 transcript variants encoding the same protein, but with different 5' UTR.Synonyms: A1S9T, Protein A1S9, Ubiquitin-activating enzyme E1, Ubiquitin-like modifier-activating enzyme 1

    Molekulargewicht

    117848 Da

    Gen-ID

    7317, 5874

    UniProt

    P22314
Sie sind hier:
Chat with us!