Telefon:
+49 (0)241 95 163 153
Fax:
+49 (0)241 95 163 155
E-Mail:
orders@antikoerper-online.de

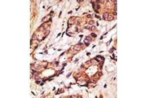
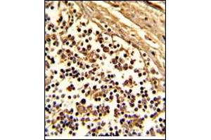
CD33 Antikörper (N-Term)

Der Kaninchen Polyklonal anti-CD33 Antikörper (ABIN357141) detektiert spezifisch CD33 in WB, IHC (p) und EIA. Dieser Antikörper reagiert spezifisch mit Proben aus Human.
Produktnummer ABIN357141
870,77 €
Zzgl. Versandkosten 20,00 € und MwSt
0.4 mL
Lieferung nach: Deutschland
Lieferung in 16 Werktagen

Kurzübersicht für CD33 Antikörper (N-Term) (ABIN357141)

Target

Alle CD33 Antikörper anzeigen
CD33

Reaktivität

  • 240
  • 36
  • 16
  • 13
  • 7
  • 6
  • 3
  • 1
  • 1
Human

Wirt

  • 121
  • 112
  • 15
  • 1
Kaninchen

Klonalität

  • 155
  • 93
  • 1
Polyklonal

Konjugat

  • 91
  • 21
  • 17
  • 16
  • 13
  • 9
  • 6
  • 5
  • 4
  • 4
  • 4
  • 3
  • 2
  • 2
  • 2
  • 2
  • 2
  • 2
  • 2
  • 2
  • 2
  • 2
  • 2
  • 2
  • 2
  • 2
  • 2
  • 2
  • 2
  • 1
  • 1
  • 1
  • 1
  • 1
  • 1
  • 1
  • 1
  • 1
  • 1
  • 1
  • 1
  • 1
  • 1
  • 1
  • 1
  • 1
  • 1
  • 1
  • 1
  • 1
  • 1
Dieser CD33 Antikörper ist unkonjugiert

Applikation

  • 145
  • 117
  • 44
  • 44
  • 36
  • 34
  • 26
  • 26
  • 17
  • 16
  • 10
  • 7
  • 6
  • 5
  • 3
  • 2
  • 2
  • 2
  • 2
  • 1
  • 1
  • 1
  • 1
  • 1
  • 1
  • 1
  • 1
Western Blotting (WB), Immunohistochemistry (Paraffin-embedded Sections) (IHC (p)), Enzyme Immunoassay (EIA)
  • Bindungsspezifität

    • 16
    • 16
    • 13
    • 9
    • 8
    • 5
    • 3
    • 2
    • 2
    • 2
    • 2
    • 2
    • 2
    • 1
    • 1
    • 1
    • 1
    • 1
    • 1
    • 1
    • 1
    • 1
    • 1
    • 1
    • 1
    AA 18-48, N-Term

    Spezifität

    This antibody detects CD33 (SIGLEC3) at N-term.

    Kreuzreaktivität (Details)

    Species reactivity (tested):Human.

    Aufreinigung

    Protein G Chromatography, eluted with high and low pH buffers and neutralized immediately, followed by dialysis against PBS.

    Immunogen

    This antibody is generated from rabbits immunized with a KLH conjugated synthetic peptide between 18~48 amino acids from the N-terminal region of Human CD33/SIGLEC3.

    Isotyp

    Ig Fraction
  • Applikationshinweise

    ELISA: 1/1,000. Western blot: 1/100-1/500. Immunohistochemistry: 1/50-1/100.
    Other applications not tested.
    Optimal dilutions are dependent on conditions and should be determined by the user.

    Beschränkungen

    Nur für Forschungszwecke einsetzbar
  • Format

    Liquid

    Konzentration

    0.25 mg/mL

    Buffer

    PBS with 0.09 % (W/V) Sodium Azide as preservative.

    Konservierungsmittel

    Sodium azide

    Vorsichtsmaßnahmen

    This product contains sodium azide: a POISONOUS AND HAZARDOUS SUBSTANCE which should be handled by trained staff only.

    Handhabung

    Avoid repeated freezing and thawing.

    Lagerung

    4 °C/-20 °C

    Informationen zur Lagerung

    Store the antibody undiluted at 2-8 °C for one month or (in aliquots) at-20 °C for longer.
  • Target

    CD33

    Andere Bezeichnung

    CD33 / SIGLEC3

    Hintergrund

    CD33/SIGLEC3 is a putative adhesion molecule of myelomonocytic-derived cells that mediates sialic-acid dependent binding to cells. It preferentially binds to alpha2,6-linked sialic acid, the sialic acid recognition site may be masked by cis interactions with sialic acids on the same cell surface. In the immune response, SIGLEC3 may act as an inhibitory receptor upon ligand induced tyrosine phosphorylation by recruiting cytoplasmic phosphatase(s) via their SH2 domain(s) that block signal transduction through dephosphorylation of signaling molecules. This protein Induces apoptosis in acute myeloid leukemia (in vitro). It has been shown to interact with PTPN6/SHP-1 and PTPN11/SHP-2 upon phosphorylation. SIGLEC3 expresses in monocytic/myeloid lineage cells, and contains 2 copies of a cytoplasmic motif that is referred to as the immunoreceptor tyrosine-based inhibitor motif (ITIM). This motif is involved in downmodulation of cellular responses. The phosphorylated ITIM motif binds to the SH2 domain of PTPN6/SHP-1. Phosphorylation of Tyr-340 is involved in binding to PTPN6 and PTPN11. Phosphorylation of Tyr-358 is involved in binding to PTPN6. The gene for SIGLEC3 belongs to the immunoglobulin superfamily.Synonyms: Myeloid cell surface antigen CD33, Sialic acid-binding Ig-like lectin 3, Siglec-3, gp67

    Gen-ID

    945, 9606

    UniProt

    P20138
Sie sind hier:
Chat with us!