Telefon:
+49 (0)241 95 163 153
Fax:
+49 (0)241 95 163 155
E-Mail:
orders@antikoerper-online.de

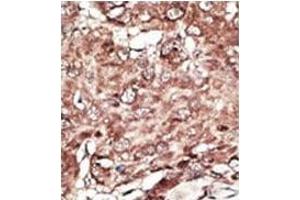
PRMT7 Antikörper (N-Term)

Der Kaninchen Polyklonal anti-PRMT7 Antikörper (ABIN356532) detektiert spezifisch PRMT7 in WB, IHC (p) und EIA. Dieser Antikörper reagiert spezifisch mit Proben aus Human.
Produktnummer ABIN356532
870,77 €
Zzgl. Versandkosten 20,00 € und MwSt
0.4 mL
Lieferung nach: Deutschland
Lieferung in 16 Werktagen

Kurzübersicht für PRMT7 Antikörper (N-Term) (ABIN356532)

Target

Alle PRMT7 Antikörper anzeigen
PRMT7 (Protein Arginine Methyltransferase 7 (PRMT7))

Reaktivität

  • 54
  • 22
  • 18
  • 4
  • 3
  • 3
  • 2
  • 2
  • 1
  • 1
  • 1
  • 1
Human

Wirt

  • 47
  • 6
  • 1
Kaninchen

Klonalität

  • 37
  • 17
Polyklonal

Konjugat

  • 35
  • 2
  • 2
  • 2
  • 2
  • 2
  • 2
  • 2
  • 2
  • 1
  • 1
  • 1
Dieser PRMT7 Antikörper ist unkonjugiert

Applikation

  • 43
  • 17
  • 14
  • 9
  • 5
  • 3
  • 3
  • 2
  • 1
  • 1
Western Blotting (WB), Immunohistochemistry (Paraffin-embedded Sections) (IHC (p)), Enzyme Immunoassay (EIA)
  • Bindungsspezifität

    • 6
    • 5
    • 4
    • 4
    • 2
    • 2
    • 2
    • 1
    • 1
    • 1
    • 1
    • 1
    N-Term

    Spezifität

    This antibody is specific to PRMT7 (N-term).

    Aufreinigung

    Saturated Ammonium Sulfate (SAS) precipitation followed by dialysis against PBS.

    Immunogen

    This antibody is generated from rabbits immunized with a KLH conjugated synthetic peptide in the N-terminal region of human PRMT7.

    Isotyp

    Ig Fraction
  • Applikationshinweise

    ELISA: 1/1,000. Western Blot: 1/100-1/500Immunohistochemistry: 1/50-1/100.
    Other applications not tested.
    Optimal dilutions are dependent on conditions and should be determined by the user.

    Beschränkungen

    Nur für Forschungszwecke einsetzbar
  • Format

    Liquid

    Konzentration

    0.25 mg/mL

    Buffer

    PBS containing 0.09 % (W/V) Sodium Azide as preservative.

    Konservierungsmittel

    Sodium azide

    Vorsichtsmaßnahmen

    This product contains sodium azide: a POISONOUS AND HAZARDOUS SUBSTANCE which should be handled by trained staff only.

    Handhabung

    Avoid repeated freezing and thawing.

    Lagerung

    4 °C/-20 °C

    Informationen zur Lagerung

    Store the antibody undiluted at 2-8 °C for one month or (in aliquots) at-20 °C for longer.
  • Target

    PRMT7 (Protein Arginine Methyltransferase 7 (PRMT7))

    Andere Bezeichnung

    PRMT7

    Hintergrund

    Arginine methylation is an irreversible post translational modification which has only recently been linked to protein activity. At least three types of PRMT enzymes have been identified in mammalian cells. These enzymes have been shown to have essential regulatory functions by methylation of key proteins in several fundamental areas. These protein include nuclear proteins, IL enhancer binding factor, nuclear factors, cell cycle proteins, signal transduction proteins, apoptosis proteins, and viral proteins. The mammalian PRMT family currently consists of 7 members that share two large domains of homology. Outside of these domains, epitopes were identified and antibodies against all 7 PRMT members have been developed.Synonyms: Histone-arginine N-methyltransferase PRMT7, KIAA1933, Protein arginine N-methyltransferase 7

    Gen-ID

    54496, 9606

    UniProt

    Q9NVM4

    Pathways

    Ribonucleoprotein Complex Subunit Organization
Sie sind hier:
Chat with us!