Telefon:
+49 (0)241 95 163 153
Fax:
+49 (0)241 95 163 155
E-Mail:
orders@antikoerper-online.de

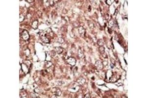
PRMT7 Antikörper (AA 1-30)

Der Kaninchen Polyklonal anti-PRMT7 Antikörper (ABIN3032364) detektiert spezifisch PRMT7 in WB, ELISA und IHC. Dieser Antikörper reagiert spezifisch mit Proben aus Human.
Produktnummer ABIN3032364
631,13 €
Zzgl. Versandkosten 20,00 € und MwSt
Lieferung nach: Deutschland
Lieferung in 6 bis 9 Werktagen

Kurzübersicht für PRMT7 Antikörper (AA 1-30) (ABIN3032364)

Target

Alle PRMT7 Antikörper anzeigen
PRMT7 (Protein Arginine Methyltransferase 7 (PRMT7))

Reaktivität

  • 54
  • 22
  • 18
  • 4
  • 3
  • 3
  • 2
  • 2
  • 1
  • 1
  • 1
  • 1
Human

Wirt

  • 47
  • 6
  • 1
Kaninchen

Klonalität

  • 37
  • 17
Polyklonal

Konjugat

  • 35
  • 2
  • 2
  • 2
  • 2
  • 2
  • 2
  • 2
  • 2
  • 1
  • 1
  • 1
Dieser PRMT7 Antikörper ist unkonjugiert

Applikation

  • 43
  • 16
  • 13
  • 9
  • 5
  • 4
  • 3
  • 2
  • 1
  • 1
  • 1
Western Blotting (WB), ELISA, Immunohistochemistry (IHC)
  • Bindungsspezifität

    • 6
    • 6
    • 4
    • 4
    • 2
    • 2
    • 1
    • 1
    • 1
    • 1
    • 1
    • 1
    AA 1-30

    Aufreinigung

    Purified

    Immunogen

    A portion of amino acids 1-30 from the human protein was used as the immunogen for this PRMT7 antibody.

    Isotyp

    Ig Fraction
  • Applikationshinweise

    Titration of the PRMT7 antibody may be required due to differences in protocols and secondary/substrate sensitivity.\. Western blot: 1:1000,IHC (Paraffin): 1:50-1:100

    Beschränkungen

    Nur für Forschungszwecke einsetzbar
  • Format

    Liquid

    Buffer

    In 1X PBS, pH 7.4, with 0.09 % sodium azide

    Konservierungsmittel

    Sodium azide

    Vorsichtsmaßnahmen

    This product contains Sodium azide: a POISONOUS AND HAZARDOUS SUBSTANCE which should be handled by trained staff only.

    Lagerung

    -20 °C

    Informationen zur Lagerung

    Aliquot the PRMT7 antibody and store frozen at -20°C or colder. Avoid repeated freeze-thaw cycles.
  • Target

    PRMT7 (Protein Arginine Methyltransferase 7 (PRMT7))

    Andere Bezeichnung

    PRMT7

    Hintergrund

    Arginine methylation is an irreversible post translational modification which has only recently been linked to protein activity. At least three types of PRMT enzymes have been identified in mammalian cells. These enzymes have been shown to have essential regulatory functions by methylation of key proteins in several fundamental areas. These protein include nuclear proteins, IL enhancer binding factor, nuclear factors, cell cycle proteins, signal transduction proteins, apoptosis proteins, and viral proteins. The mammalian PRMT family currently consists of 7 members that share two large domains of homology. Outside of these domains, epitopes were identified and antibodies against all 7 PRMT members have been developed.

    UniProt

    Q9NVM4

    Pathways

    Ribonucleoprotein Complex Subunit Organization
Sie sind hier:
Chat with us!