BRE Antikörper (N-Term)
Kurzübersicht für BRE Antikörper (N-Term) (ABIN343906)
Target
Alle BRE Antikörper anzeigenReaktivität
Wirt
Klonalität
Konjugat
Applikation
-
-
Bindungsspezifität
- N-Term
-
Aufreinigung
- Immunoaffinity purified
-
Isotyp
- IgG
-
-
-
-
Applikationshinweise
-
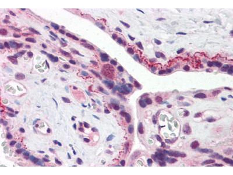
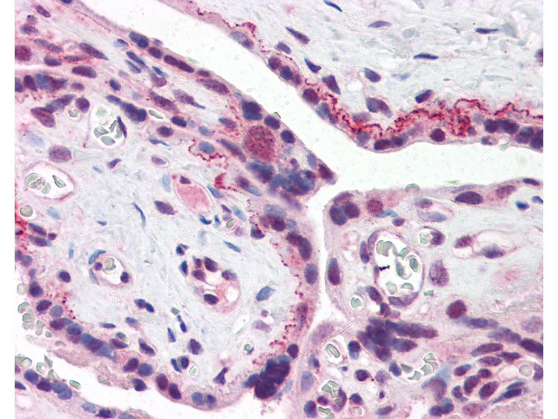
Approved: ELISA, IHC, IHC-P (5 μg/mL), WB (1 - 2 μg/mL)
Usage: Immunohistochemistry: This antibody was validated for use in immunohistochemistry on a panel of 21 formalin-fixed, paraffin-embedded (FFPE) human tissues after heat induced antigen retrieval in pH 6.0 citrate buffer. After incubation with the primary antibody, slides were incubated with biotinylated secondary antibody, followed by alkaline phosphatase-streptavidin and chromogen. The stained slides were evaluated by a pathologist to confirm staining specificity. The optimal working concentration for this antibody was determined to be 5 μg/mL. -
Kommentare
-
Target Species of Antibody: Human
-
Beschränkungen
- Nur für Forschungszwecke einsetzbar
-
-
-
Format
- Liquid
-
Konzentration
- Lot specific
-
Buffer
- PBS, 0.02 % sodium azide.
-
Konservierungsmittel
- Sodium azide
-
Vorsichtsmaßnahmen
- This product contains Sodium azide: a POISONOUS AND HAZARDOUS SUBSTANCE which should be handled by trained staff only.
-
Handhabung
- avoid freeze thaw cycles. Store undiluted.
-
Lagerung
- 4 °C,-20 °C
-
Informationen zur Lagerung
- Store at 4°C for 3 months and -20°C, stable for up to 1 year. Avoid repeated freeze-thaw cycles.
-
Haltbarkeit
- 12 months
-
-
- BRE (Brain and Reproductive Organ-Expressed (TNFRSF1A Modulator) (BRE))
-
Andere Bezeichnung
- BRCC45 / BRE
-
Hintergrund
-
Name/Gene ID: BABAM2
Synonyms: BABAM2 , BRE, BRCA1-A complex subunit BRE, BRCC45, BRCC4 -
Gen-ID
- 9577
-
UniProt
- Q9NXR7
-
Pathways
- Positive Regulation of Response to DNA Damage Stimulus
Target
-