NACA Antikörper (C-Term)
Kurzübersicht für NACA Antikörper (C-Term) (ABIN337196)
Target
Alle NACA (NACa1) Antikörper anzeigenReaktivität
Wirt
Klonalität
Konjugat
Applikation
-
-
Bindungsspezifität
- C-Term
-
Spezifität
- Recognizes the human alpha-NAC protein. On Western blots, it identifies a single band at ~23kD. Species cross-reactivity: mouse and rat.
-
Aufreinigung
- Immunoaffinity purified
-
Immunogen
-
Synthetic peptide derived from the C-terminal region of the human alpha-NAC protein.
Type of Immunogen: Synthetic peptide -
Isotyp
- IgG
-
-
-
-
Applikationshinweise
-
Approved: IHC, IHC-P (5 μg/mL), WB (1 - 2 μg/mL)
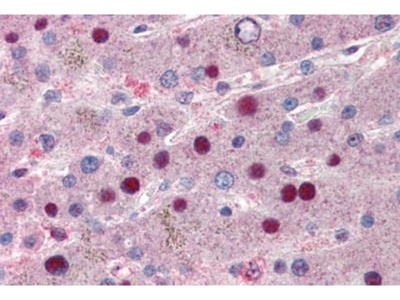
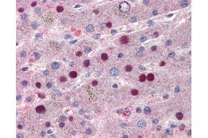
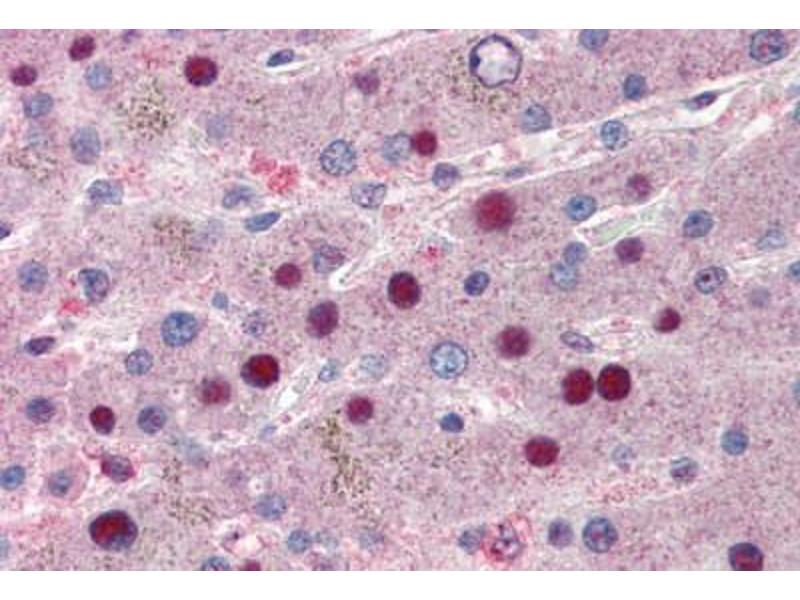
Usage: Immunohistochemistry: This antibody was validated for use in immunohistochemistry on a panel of 21 formalin-fixed, paraffin-embedded (FFPE) human tissues after heat induced antigen retrieval in pH 6.0 citrate buffer. After incubation with the primary antibody, slides were incubated with biotinylated secondary antibody, followed by alkaline phosphatase-streptavidin and chromogen. The stained slides were evaluated by a pathologist to confirm staining specificity. The optimal working concentration for this antibody was determined to be 5 μg/mL. Positive control: Fetal mouse brain, rat brain homogenates and human NGP96 cell lysate. -
Kommentare
-
Target Species of Antibody: Human
-
Beschränkungen
- Nur für Forschungszwecke einsetzbar
-
-
-
Format
- Liquid
-
Konzentration
- Lot specific
-
Buffer
- PBS, pH 7.4, 0.09 % sodium azide.
-
Konservierungsmittel
- Sodium azide
-
Vorsichtsmaßnahmen
- This product contains Sodium azide: a POISONOUS AND HAZARDOUS SUBSTANCE which should be handled by trained staff only.
-
Handhabung
- Avoid repeat freeze-thaw cycles.
-
Lagerung
- 4 °C,-20 °C
-
Informationen zur Lagerung
- Short term: 4°C. Long term: Store at -20°C. Avoid freeze-thaw cycles.
-
-
- NACA (NACa1) (Nascent Polypeptide Associated Complex alpha 1 (NACa1))
-
Andere Bezeichnung
- NACA
-
Hintergrund
-
Name/Gene ID: NACA
Synonyms: NACA, Allergen Hom s 2, Alpha-NAC, HSD48, NAC-alpha, NACA1 -
Gen-ID
- 4666
-
UniProt
- Q13765
-
Pathways
- Regulation of Muscle Cell Differentiation, Skeletal Muscle Fiber Development
Target
-