Telefon:
+49 (0)241 95 163 153
Fax:
+49 (0)241 95 163 155
E-Mail:
orders@antikoerper-online.de

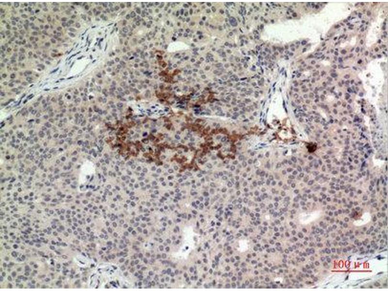
STING/TMEM173 Antikörper (C-Term)

Dieser Kaninchen Polyklonal Antikörper detektiert spezifisch STING/TMEM173 in WB, ELISA und IHC (p). Es zeigt Reaktivität gegenüber Proben von Human und Maus.
Produktnummer ABIN3187979
377,51 €
Zzgl. Versandkosten 20,00 € und MwSt
Lieferung nach: Deutschland
Lieferung in 8 bis 10 Werktagen

Kurzübersicht für STING/TMEM173 Antikörper (C-Term) (ABIN3187979)

Target

Alle STING/TMEM173 (TMEM173) Antikörper anzeigen
STING/TMEM173 (TMEM173) (Transmembrane Protein 173 (TMEM173))

Reaktivität

  • 91
  • 33
  • 22
  • 2
  • 2
  • 1
  • 1
  • 1
  • 1
  • 1
Human, Maus

Wirt

  • 108
  • 5
Kaninchen

Klonalität

  • 71
  • 42
Polyklonal

Konjugat

  • 51
  • 8
  • 8
  • 4
  • 4
  • 4
  • 4
  • 4
  • 4
  • 4
  • 2
  • 2
  • 2
  • 1
  • 1
  • 1
  • 1
  • 1
  • 1
  • 1
  • 1
  • 1
  • 1
  • 1
  • 1
Dieser STING/TMEM173 Antikörper ist unkonjugiert

Applikation

  • 77
  • 32
  • 29
  • 28
  • 20
  • 18
  • 13
  • 13
  • 13
  • 11
  • 3
  • 3
  • 1
  • 1
  • 1
Western Blotting (WB), ELISA, Immunohistochemistry (Paraffin-embedded Sections) (IHC (p))
  • Bindungsspezifität

    • 18
    • 15
    • 13
    • 8
    • 5
    • 3
    • 2
    • 2
    • 2
    • 1
    • 1
    • 1
    • 1
    • 1
    • 1
    • 1
    • 1
    • 1
    • 1
    • 1
    C-Term

    Spezifität

    TMEM173 Polyclonal Antibody detects endogenous levels of TMEM173 protein.

    Produktmerkmale

    Rabbit Polyclonal to TMEM173.

    Aufreinigung

    The antibody was affinity-purified from rabbit antiserum by affinity-chromatography using epitope-specific immunogen.

    Immunogen

    Synthesized peptide derived from the C-terminal region of human TMEM173.

    Isotyp

    IgG
  • Applikationshinweise

    WB 1:500-1:2000, IHC-P 1:100-1:300, ELISA 1:20000,

    Beschränkungen

    Nur für Forschungszwecke einsetzbar
  • Format

    Liquid

    Konzentration

    1 mg/mL

    Buffer

    Liquid in PBS containing 50 % glycerol, 0.5 % BSA and 0.02 % sodium azide.

    Konservierungsmittel

    Sodium azide

    Vorsichtsmaßnahmen

    This product contains Sodium azide: a POISONOUS AND HAZARDOUS SUBSTANCE which should be handled by trained staff only.

    Handhabung

    Avoid repeated freeze/thaw cycles.

    Lagerung

    -20 °C

    Informationen zur Lagerung

    Store at -20°C.
  • Target

    STING/TMEM173 (TMEM173) (Transmembrane Protein 173 (TMEM173))

    Andere Bezeichnung

    TMEM173

    Molekulargewicht

    42/23 kDa

    Gen-ID

    340061

    UniProt

    Q86WV6

    Pathways

    Activation of Innate immune Response
Sie sind hier:
Chat with us!