×
Aktivieren Sie Javascript in Ihrem Browser, um unsere Webseite optimal zu nutzen.
PDGFD Antikörper (C-Term)
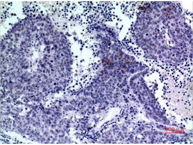
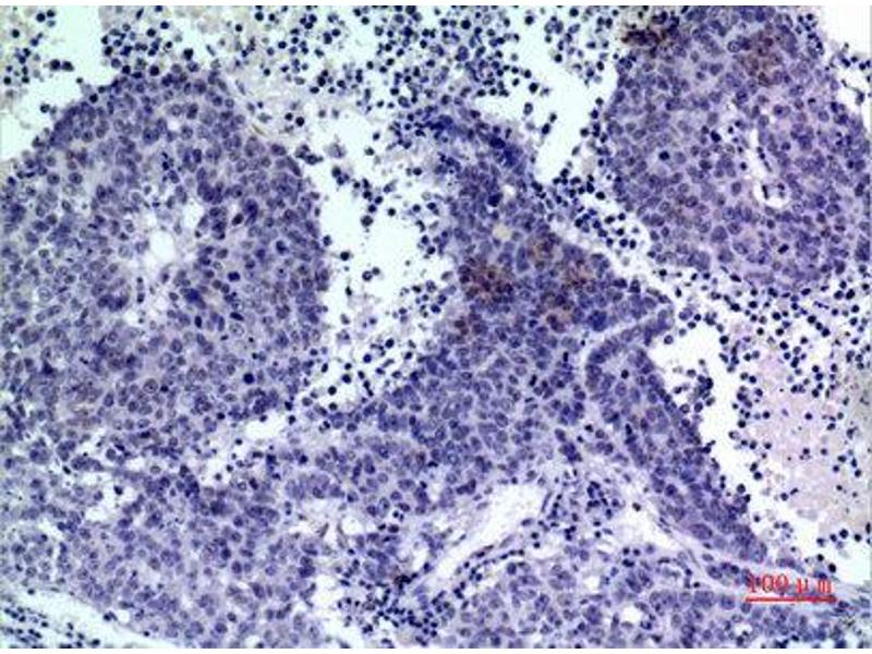
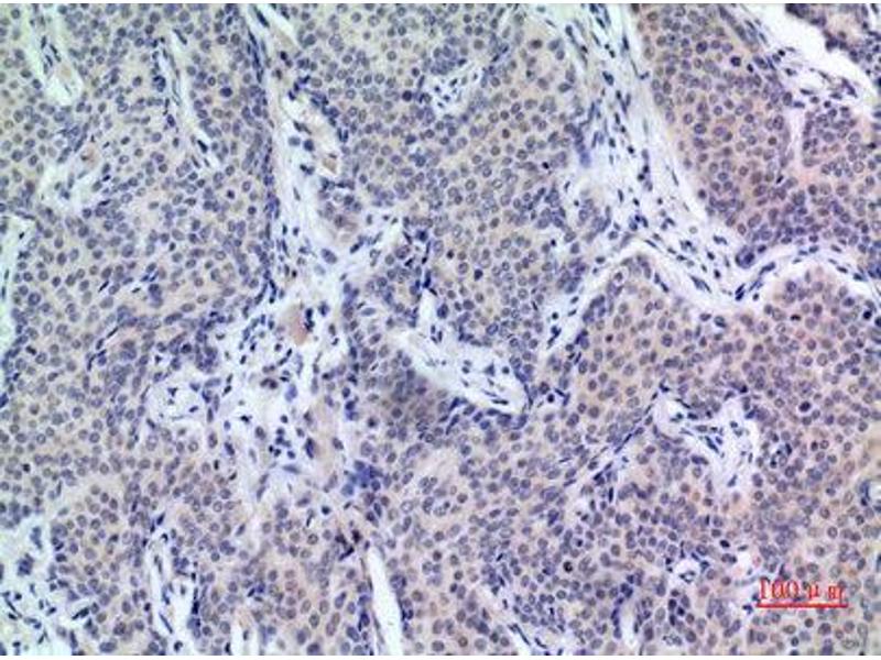
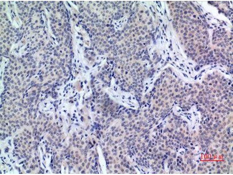
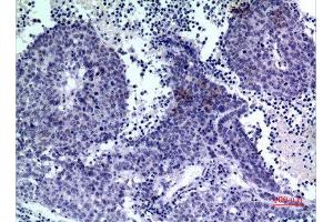
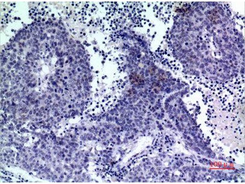
Der Kaninchen Polyklonal anti-PDGFD Antikörper (ABIN3187818) detektiert spezifisch PDGFD in WB, ELISA und IHC (p).
Dieser Antikörper reagiert spezifisch mit Proben aus Human.
Produktnummer ABIN3187818
377,51 €
Zzgl. Versandkosten 20,00 € und MwSt
50 μL ABIN6286221
100 μL ABIN3187818
200 μL ABIN3178329
50 μL ABIN6286221
100 μL ABIN3187818
200 μL ABIN3178329
Lieferung in 8 bis 10 Werktagen
Kurzübersicht für PDGFD Antikörper (C-Term) (ABIN3187818)
Target
Alle PDGFD Antikörper anzeigen
PDGFD
(Platelet Derived Growth Factor D (PDGFD))
Reaktivität
Alle Reaktivitäten für PDGFD Antikörper
Human
Wirt
Alle Wirte für PDGFD Antikörper
Kaninchen
Klonalität
Alle Klonalitäten für PDGFD Antikörper
Polyklonal
Konjugat
Alle Konjugate für PDGFD Antikörper
Dieser PDGFD Antikörper ist unkonjugiert
Applikation
Alle Applikationen für PDGFD Antikörper
Western Blotting (WB), ELISA, Immunohistochemistry (Paraffin-embedded Sections) (IHC (p))
Produktdetails anti-PDGFD Antikörper
(ausblenden)
Bindungsspezifität
Alle Epitope für PDGFD Antikörper
C-Term
Spezifität
PDGF-D Polyclonal Antibody detects endogenous levels of PDGF-D protein.
Produktmerkmale
Rabbit Polyclonal to PDGF-D.
Aufreinigung
The antibody was affinity-purified from rabbit antiserum by affinity-chromatography using epitope-specific immunogen.
Immunogen
Synthesized peptide derived from the C-terminal region of human PDGF-D.
Isotyp
IgG
Alternativen
(anzeigen)
Anwendungsinformationen
(ausblenden)
Applikationshinweise
WB 1:500-1:2000, IHC-P 1:100-1:300, ELISA 1:20000,
Beschränkungen
Nur für Forschungszwecke einsetzbar
Handhabung
(ausblenden)
Format
Liquid
Konzentration
1 mg/mL
Buffer
Liquid in PBS containing 50 % glycerol, 0.5 % BSA and 0.02 % sodium azide.
Konservierungsmittel
Sodium azide
Vorsichtsmaßnahmen
This product contains Sodium azide: a POISONOUS AND HAZARDOUS SUBSTANCE which should be handled by trained staff only.
Handhabung
Avoid repeated freeze/thaw cycles.
Lagerung
-20 °C
Informationen zur Lagerung
Store at -20°C.
Details zu PDGFD
(ausblenden)
Target
PDGFD
(Platelet Derived Growth Factor D (PDGFD))
Andere Bezeichnung
PDGF-D
Molekulargewicht
42 kDa
Gen-ID
80310
UniProt
Q9GZP0
Pathways
RTK Signalweg , Platelet-derived growth Factor Receptor Signaling
Zuletzt angesehen
(ausblenden)
Sie sind hier:
Startseite
anti-PDGFD Antikörper (C-Term) (ABIN3187818)
Chat with us , powered by LiveChat