×
Aktivieren Sie Javascript in Ihrem Browser, um unsere Webseite optimal zu nutzen.
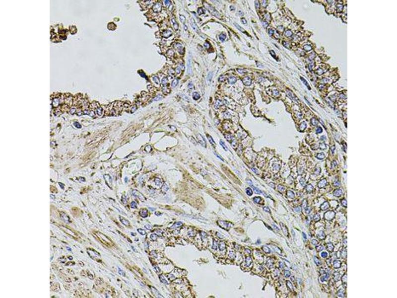
TMC1 Antikörper
Der Kaninchen Polyklonal anti-TMC1 Antikörper (ABIN3060423) detektiert spezifisch TMC1 in WB und IHC.
Dieser Antikörper reagiert spezifisch mit Proben aus Human, Maus und Ratte.
Produktnummer ABIN3060423
954,16 €
Zzgl. Versandkosten 20,00 € und MwSt
60 μL ABIN3060422
120 μL ABIN3033762
200 μL ABIN3060423
60 μL ABIN3060422
120 μL ABIN3033762
200 μL ABIN3060423
Lieferung in 7 bis 13 Werktagen
Kurzübersicht für TMC1 Antikörper (ABIN3060423)
Target
Alle TMC1 Antikörper anzeigen
TMC1
(Transmembrane Channel-Like 1 (TMC1))
Reaktivität
Human, Maus, Ratte
Wirt
Alle Wirte für TMC1 Antikörper
Kaninchen
Klonalität
Alle Klonalitäten für TMC1 Antikörper
Polyklonal
Konjugat
Alle Konjugate für TMC1 Antikörper
Dieser TMC1 Antikörper ist unkonjugiert
Applikation
Alle Applikationen für TMC1 Antikörper
Western Blotting (WB), Immunohistochemistry (IHC)
Produktdetails anti-TMC1 Antikörper
(ausblenden)
Aufreinigung
Affinity purified
Immunogen
The immunogen used to raise this antibody has a length of 760 amino acids.
Isotyp
IgG
Alternativen
(anzeigen)
Anwendungsinformationen
(ausblenden)
Applikationshinweise
Optimal working dilution should be determined by the investigator.
Beschränkungen
Nur für Forschungszwecke einsetzbar
Handhabung
(ausblenden)
Format
Liquid
Konzentration
Lot specific
Buffer
PBS, pH 7.3, 0.02 % sodium azide, 50 % glycerol.
Konservierungsmittel
Sodium azide
Vorsichtsmaßnahmen
This product contains Sodium azide: a POISONOUS AND HAZARDOUS SUBSTANCE which should be handled by trained staff only.
Lagerung
-20 °C
Informationen zur Lagerung
Aliquot and store at -20 °C. Avoid repeated freeze/thaw cycles.
Details zu TMC1
(ausblenden)
Target
TMC1
(Transmembrane Channel-Like 1 (TMC1))
Andere Bezeichnung
TMC1
Molekulargewicht
Calculated MW: 87 kDa Observed MW: 88 kDa
Gen-ID
117531
UniProt
Q8TDI8
Pathways
Sensory Perception of Sound
Zuletzt angesehen
(ausblenden)
Chat with us , powered by LiveChat