Telefon:
+49 (0)241 95 163 153
Fax:
+49 (0)241 95 163 155
E-Mail:
orders@antikoerper-online.de

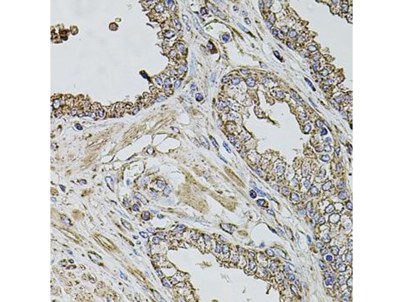
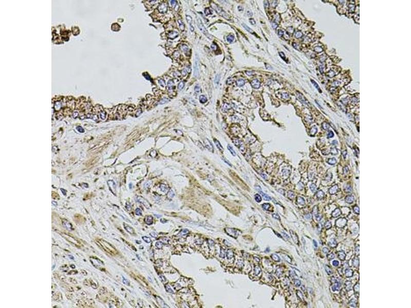
TMC1 Antikörper (AA 600-700)

Dieser Kaninchen Polyklonal Antikörper detektiert spezifisch TMC1 in WB und IHC. Es zeigt Reaktivität gegenüber Proben von Human.
Produktnummer ABIN6149240
320,00 €
Zzgl. Versandkosten 20,00 € und MwSt
Lieferung nach: Deutschland
Lieferung in 7 bis 9 Werktagen

Kurzübersicht für TMC1 Antikörper (AA 600-700) (ABIN6149240)

Target

Alle TMC1 Antikörper anzeigen
TMC1 (Transmembrane Channel-Like 1 (TMC1))

Reaktivität

  • 3
  • 3
  • 2
Human

Wirt

  • 4
Kaninchen

Klonalität

  • 4
Polyklonal

Konjugat

  • 4
Dieser TMC1 Antikörper ist unkonjugiert

Applikation

  • 4
  • 2
  • 2
  • 1
  • 1
Western Blotting (WB), Immunohistochemistry (IHC)
  • Bindungsspezifität

    AA 600-700

    Sequenz

    INILRLHTSM YFQCWAVMCC NVPEARVFKA SRSNNFYLGM LLLILFLSTM PVLYMIVSLP PSFDCGPFSG KNRMFEVIGE TLEHDFPSWM AKILRQLSNP G

    Kreuzreaktivität

    Human, Maus, Ratte

    Produktmerkmale

    Polyclonal Antibodies

    Immunogen

    A synthetic peptide corresponding to a sequence within amino acids 600-700 of human TMC1 (NP_619636.2).

    Isotyp

    IgG
  • Applikationshinweise

    WB,1:500 - 1:2000,IHC,1:50 - 1:200

    Beschränkungen

    Nur für Forschungszwecke einsetzbar
  • Format

    Liquid

    Buffer

    PBS with 0.02 % sodium azide,50 % glycerol, pH 7.3.

    Konservierungsmittel

    Sodium azide

    Vorsichtsmaßnahmen

    This product contains Sodium azide: a POISONOUS AND HAZARDOUS SUBSTANCE which should be handled by trained staff only.

    Lagerung

    -20 °C

    Informationen zur Lagerung

    Store at -20°C. Avoid freeze / thaw cycles.
  • Target

    TMC1 (Transmembrane Channel-Like 1 (TMC1))

    Andere Bezeichnung

    TMC1

    Hintergrund

    This gene is considered a member of a gene family predicted to encode transmembrane proteins. The specific function of this gene is unknown, however, it is known to be required for normal function of cochlear hair cells. Mutations in this gene have been associated with progressive postlingual hearing loss and profound prelingual deafness.,TMC1,DFNA36,DFNB11,DFNB7,Neuroscience,TMC1

    Molekulargewicht

    87 kDa

    Gen-ID

    117531

    UniProt

    Q8TDI8

    Pathways

    Sensory Perception of Sound
Sie sind hier:
Chat with us!