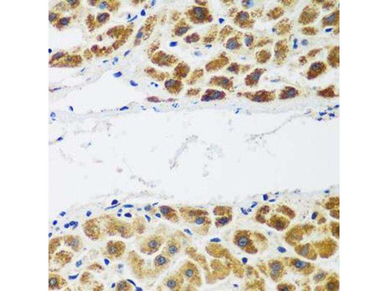
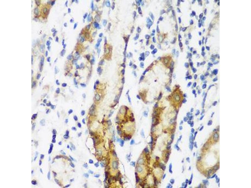
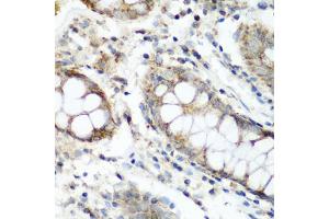
NAT15 Antikörper
Kurzübersicht für NAT15 Antikörper (ABIN3035747)
Target
Alle NAT15 Antikörper anzeigenReaktivität
Wirt
Klonalität
Konjugat
Applikation
-
-
Aufreinigung
- Affinity purified
-
Isotyp
- IgG
-
-
-
-
Applikationshinweise
- Optimal working dilution should be determined by the investigator.
-
Beschränkungen
- Nur für Forschungszwecke einsetzbar
-
-
-
Format
- Liquid
-
Konzentration
- > 1 mg/mL
-
Buffer
- PBS, pH 7.3, 0.02 % sodium azide, 50 % glycerol.
-
Konservierungsmittel
- Sodium azide
-
Vorsichtsmaßnahmen
- This product contains Sodium azide: a POISONOUS AND HAZARDOUS SUBSTANCE which should be handled by trained staff only.
-
Lagerung
- -20 °C
-
Informationen zur Lagerung
- Aliquot and store at -20 °C. Avoid repeated freeze/thaw cycles.
-
-
- NAT15 (N-Acetyltransferase 15 (NAT15))
-
Andere Bezeichnung
- NAA60
-
Molekulargewicht
-
Calculated MW: 19 kDa/20 kDa/27 kDa/28 kDa
Observed MW: 27 kDa -
Gen-ID
- 79903
-
UniProt
- Q9H7X0
Target
-