Telefon:
+49 (0)241 95 163 153
Fax:
+49 (0)241 95 163 155
E-Mail:
orders@antikoerper-online.de

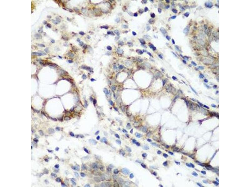
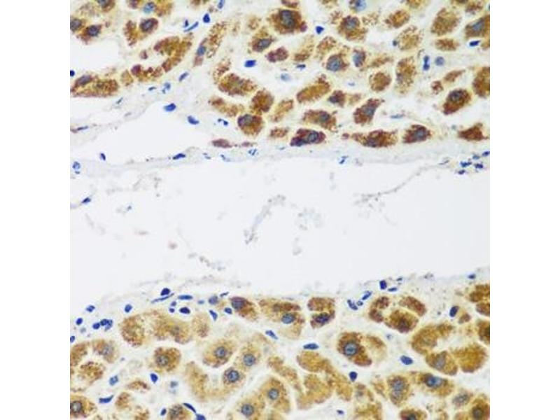
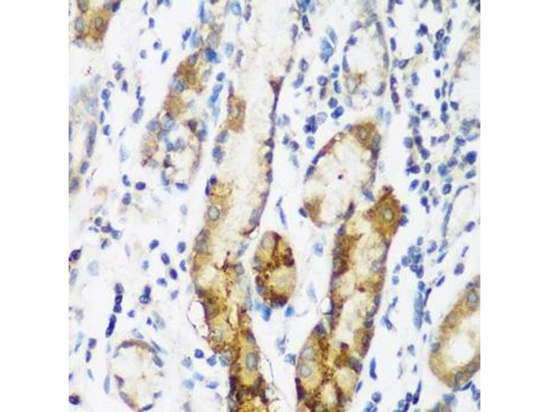
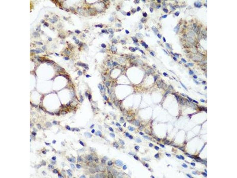
NAT15 Antikörper (AA 1-242)

Der Kaninchen Polyklonal anti-NAT15 Antikörper (ABIN6144330) detektiert spezifisch NAT15 in WB, IHC und IF. Dieser Antikörper reagiert spezifisch mit Proben aus Human.
Produktnummer ABIN6144330
320,00 €
Zzgl. Versandkosten 20,00 € und MwSt
Lieferung nach: Deutschland
Lieferung in 7 bis 9 Werktagen

Kurzübersicht für NAT15 Antikörper (AA 1-242) (ABIN6144330)

Target

Alle NAT15 Antikörper anzeigen
NAT15 (N-Acetyltransferase 15 (NAT15))

Reaktivität

  • 33
  • 29
  • 7
  • 3
  • 3
  • 3
  • 2
  • 2
  • 2
  • 2
  • 2
Human

Wirt

  • 46
  • 2
Kaninchen

Klonalität

  • 48
Polyklonal

Konjugat

  • 16
  • 5
  • 4
  • 4
  • 1
  • 1
  • 1
  • 1
  • 1
  • 1
  • 1
  • 1
  • 1
  • 1
  • 1
  • 1
  • 1
  • 1
  • 1
  • 1
  • 1
  • 1
  • 1
Dieser NAT15 Antikörper ist unkonjugiert

Applikation

  • 31
  • 19
  • 13
  • 13
  • 5
  • 3
  • 3
  • 2
  • 1
  • 1
Western Blotting (WB), Immunohistochemistry (IHC), Immunofluorescence (IF)
  • Bindungsspezifität

    • 15
    • 8
    • 7
    • 3
    • 1
    • 1
    • 1
    • 1
    • 1
    • 1
    • 1
    AA 1-242

    Sequenz

    MTEVVPSSAL SEVSLRLLCH DDIDTVKHLC GDWFPIEYPD SWYRDITSNK KFFSLAATYR GAIVGMIVAE IKNRTKIHKE DGDILASNFS VDTQVAYILS LGVVKEFRKH GIGSLLLESL KDHISTTAQD HCKAIYLHVL TTNNTAINFY ENRDFKQHHY LPYYYSIRGV LKDGFTYVLY INGGHPPWTI LDYIQHLGSA LASLSPCSIP HRVYRQAHSL LCSFLPWSGI SSKSGIEYSR TM

    Kreuzreaktivität

    Human, Maus, Ratte

    Produktmerkmale

    Polyclonal Antibodies

    Immunogen

    Recombinant fusion protein containing a sequence corresponding to amino acids 1-242 of human NAA60 (NP_079121.1).

    Isotyp

    IgG
  • Applikationshinweise

    WB,1:500 - 1:2000,IHC,1:50 - 1:200,IF,1:50 - 1:200

    Beschränkungen

    Nur für Forschungszwecke einsetzbar
  • Format

    Liquid

    Buffer

    PBS with 0.02 % sodium azide,50 % glycerol, pH 7.3.

    Konservierungsmittel

    Sodium azide

    Vorsichtsmaßnahmen

    This product contains Sodium azide: a POISONOUS AND HAZARDOUS SUBSTANCE which should be handled by trained staff only.

    Lagerung

    -20 °C

    Informationen zur Lagerung

    Store at -20°C. Avoid freeze / thaw cycles.
  • Target

    NAT15 (N-Acetyltransferase 15 (NAT15))

    Andere Bezeichnung

    NAA60

    Hintergrund

    This gene encodes an enzyme that localizes to the Golgi apparatus, where it transfers an acetyl group to the N-terminus of free proteins. This enzyme acts on histones, and its activity is important for chromatin assembly and chromosome integrity. Alternative splicing and the use of alternative promoters results in multiple transcript variants. The upstream promoter is located in a differentially methylated region (DMR) and undergoes imprinting, transcript variants originating from this position are expressed from the maternal allele.,NAA60,HAT4,NAT15,NatF,hNaa60,Epigenetics & Nuclear Signaling,Chromatin Modifying Enzymes,Acetylation,Cell Biology & Developmental Biology,NAA60

    Molekulargewicht

    19 kDa/20 kDa/27 kDa/28 kDa

    Gen-ID

    79903

    UniProt

    Q9H7X0
Sie sind hier:
Chat with us!