Telefon:
+49 (0)241 95 163 153
Fax:
+49 (0)241 95 163 155
E-Mail:
orders@antikoerper-online.de

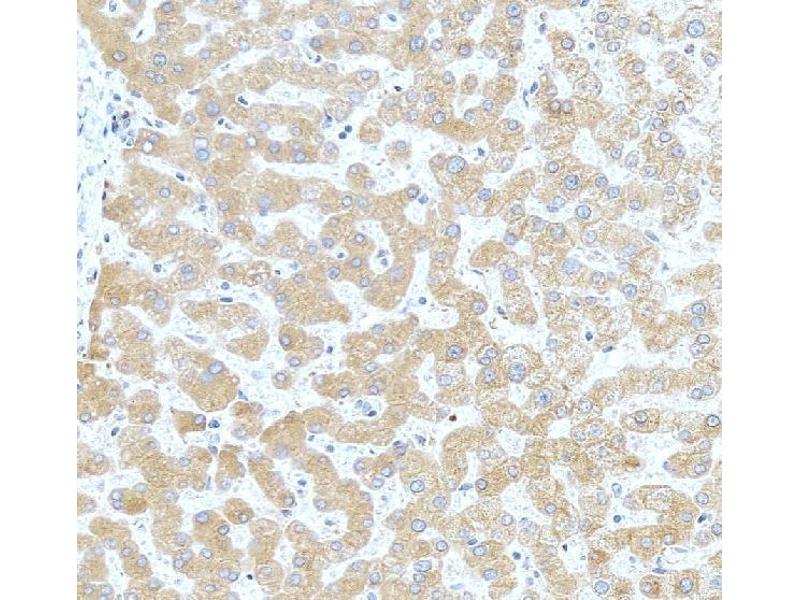
Ceruloplasmin Antikörper (AA 20-258)

Der Kaninchen Polyklonal anti-Ceruloplasmin Antikörper (ABIN3044508) detektiert spezifisch Ceruloplasmin in WB und IHC. Dieser Antikörper reagiert spezifisch mit Proben aus Ratte und Maus.
Produktnummer ABIN3044508
500,50 €
Zzgl. Versandkosten 20,00 € und MwSt
100 μg
Lieferung nach: Deutschland
Lieferung in 8 bis 12 Werktagen

Kurzübersicht für Ceruloplasmin Antikörper (AA 20-258) (ABIN3044508)

Target

Alle Ceruloplasmin (CP) Antikörper anzeigen
Ceruloplasmin (CP) (Ceruloplasmin (Ferroxidase) (CP))

Reaktivität

  • 62
  • 11
  • 10
Ratte, Maus

Wirt

  • 54
  • 9
  • 6
  • 3
  • 1
Kaninchen

Klonalität

  • 62
  • 9
Polyklonal

Konjugat

  • 43
  • 11
  • 8
  • 5
  • 2
  • 2
  • 2
Dieser Ceruloplasmin Antikörper ist unkonjugiert

Applikation

  • 44
  • 34
  • 30
  • 15
  • 15
  • 12
  • 8
  • 8
  • 7
  • 6
  • 4
  • 2
  • 2
  • 2
  • 2
  • 1
  • 1
  • 1
Western Blotting (WB), Immunohistochemistry (IHC)
  • Bindungsspezifität

    • 10
    • 7
    • 3
    • 3
    • 2
    • 2
    • 1
    • 1
    • 1
    • 1
    • 1
    • 1
    • 1
    • 1
    • 1
    AA 20-258

    Verwendungszweck

    Anti-Ceruloplasmin/CP Antibody

    Kreuzreaktivität (Details)

    No cross-reactivity with other proteins.

    Produktmerkmale

    Rabbit IgG polyclonal antibody for Ceruloplasmin(CP) detection. Tested with WB, IHC-P in Mouse,Rat.Protein Name: Ceruloplasmin

    Aufreinigung

    Immunogen affinity purified.

    Immunogen

    E. coli-derived mouse Ceruloplasmin recombinant protein (Position: R20-M258). Mouse Ceruloplasmin shares 80.8% and 91.2% amino acid (aa) sequence identity with human and rat Ceruloplasmin, respectively.

    Isotyp

    IgG
  • Applikationshinweise

    Western blot, 0.1-0.5 μg/mL, Mouse, Rat
    Immunohistochemistry (Paraffin-embedded Section), 0.5-1 μg/mL, Mouse, Rat

    Kommentare

    Antibody can be supported by chemiluminescence kit ABIN921124 in WB, supported by ABIN921231 in IHC(P).

    Beschränkungen

    Nur für Forschungszwecke einsetzbar
  • Format

    Lyophilized

    Rekonstitution

    Add 0.2 mL of distilled water will yield a concentration of 500 μg/mL.

    Konzentration

    500 μg/mL

    Buffer

    Each vial contains 5 mg BSA, 0.9 mg NaCl, 0.2 mg Na2HPO4, 0.05 mg Sodium azide.

    Konservierungsmittel

    Sodium azide

    Vorsichtsmaßnahmen

    This product contains Sodium azide: a POISONOUS AND HAZARDOUS SUBSTANCE which should be handled by trained staff only.

    Handhabung

    Avoid repeated freezing and thawing.

    Lagerung

    4 °C,-20 °C

    Informationen zur Lagerung

    Store at -20°C for one year from date of receipt. After reconstitution, at 4°C for one month.
    It can also be aliquotted and stored frozen at -20°C for six months. Avoid repeated freeze-thaw cycles.
  • Target

    Ceruloplasmin (CP) (Ceruloplasmin (Ferroxidase) (CP))

    Andere Bezeichnung

    Cp

    Hintergrund

    Synonyms: Ceruloplasmin;1.16.3.1;Ferroxidase;Cp;

    Tissue Specificity: Expressed in many tissues, including liver, eye and brain. .

    Background: Ceruloplasmin  (or caeruloplasmin) is a ferroxidase enzyme that in humans is encoded by the CP gene. It is mapped to 3q23-q25. The protein encoded by this gene is a metalloprotein that binds most of the copper in plasma and is involved in the peroxidation of Fe (II)transferrin to Fe (III) transferrin. Mutations in this gene cause aceruloplasminemia, which results in iron accumulation and tissue damage, and is associated with diabetes and neurologic abnormalities. Two transcript variants, one protein-coding and the other not protein-coding, have been found for this gene.

    Molekulargewicht

    130 kDa

    Gen-ID

    12870

    UniProt

    Q61147

    Pathways

    Transition Metal Ion Homeostasis
Sie sind hier:
Chat with us!