Telefon:
+49 (0)241 95 163 153
Fax:
+49 (0)241 95 163 155
E-Mail:
orders@antikoerper-online.de

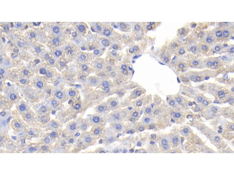
Ceruloplasmin Antikörper (AA 872-1059)

Der Kaninchen Polyklonal anti-Ceruloplasmin Antikörper wird verwendet zum Nachweis von Ceruloplasmin in Proben von Ratte. Er wurde validiert für WB, IHC, IP und ICC.
Produktnummer ABIN7429253
304,89 €
Zzgl. Versandkosten 20,00 € und MwSt
Lieferung nach: Deutschland
Lieferung in 11 bis 15 Werktagen

Kurzübersicht für Ceruloplasmin Antikörper (AA 872-1059) (ABIN7429253)

Target

Alle Ceruloplasmin (CP) Antikörper anzeigen
Ceruloplasmin (CP) (Ceruloplasmin (Ferroxidase) (CP))

Reaktivität

  • 61
  • 11
  • 11
Ratte

Wirt

  • 54
  • 9
  • 5
  • 3
  • 1
Kaninchen

Klonalität

  • 62
  • 9
Polyklonal

Konjugat

  • 42
  • 11
  • 8
  • 5
  • 2
  • 2
  • 2
Dieser Ceruloplasmin Antikörper ist unkonjugiert

Applikation

  • 44
  • 33
  • 30
  • 15
  • 14
  • 12
  • 8
  • 7
  • 7
  • 6
  • 3
  • 2
  • 2
  • 2
  • 2
  • 1
  • 1
  • 1
Western Blotting (WB), Immunohistochemistry (IHC), Immunoprecipitation (IP), Immunocytochemistry (ICC)
  • Bindungsspezifität

    • 10
    • 7
    • 3
    • 3
    • 2
    • 1
    • 1
    • 1
    • 1
    • 1
    • 1
    • 1
    • 1
    • 1
    • 1
    • 1
    AA 872-1059

    Verwendungszweck

    Polyclonal Antibody to Ceruloplasmin (CP)

    Spezifität

    The antibody is a rabbit polyclonal antibody raised against CP. It has been selected for its ability to recognize CP in immunohistochemical staining and western blotting.

    Aufreinigung

    Antigen-specific affinity chromatography followed by Protein A affinity chromatography

    Immunogen

    Recombinant Ceruloplasmin (CP) corresdonding to Ala872~Gly1059 with N-terminal His Tag

    Isotyp

    IgG
  • Applikationshinweise

    Western blotting: 0.5-2 μg/mL,Immunocytochemistry in formalin fixed cells: 5-20 μg/mL,Immunohistochemistry in formalin fixed frozen section: 5-20 μg/mL,Immunohistochemistry in paraffin section: 5-20 μg/mL,Optimal working dilutions must be determined by end user.

    Kommentare

    The thermal stability is described by the loss rate. The loss rate was determined by accelerated thermal degradation test, that is, incubate the protein at 37°C for 48h, and no obvious degradation and precipitation were observed. The loss rate is less than 5% within the expiration date under appropriate storage condition.

    Beschränkungen

    Nur für Forschungszwecke einsetzbar
  • Format

    Liquid

    Konzentration

    500 μg/mL

    Buffer

    0.01M PBS, pH 7.4, containing 0.05 % Proclin-300, 50 % glycerol.

    Konservierungsmittel

    ProClin

    Vorsichtsmaßnahmen

    This product contains ProClin: a POISONOUS AND HAZARDOUS SUBSTANCE which should be handled by trained staff only.

    Lagerung

    4 °C,-20 °C

    Informationen zur Lagerung

    Store at 4°C for frequent use. Stored at -20°C in a manual defrost freezer for two year without detectable loss of activity. Avoid repeated freeze-thaw cycles.

    Haltbarkeit

    24 months
  • Target

    Ceruloplasmin (CP) (Ceruloplasmin (Ferroxidase) (CP))

    Andere Bezeichnung

    Ceruloplasmin

    Hintergrund

    CP2, CER, Caeruloplasmin, Ferroxidase, Oxygen Oxidoreductase

    UniProt

    P13635

    Pathways

    Transition Metal Ion Homeostasis
Sie sind hier:
Chat with us!