Telefon:
+49 (0)241 95 163 153
Fax:
+49 (0)241 95 163 155
E-Mail:
orders@antikoerper-online.de

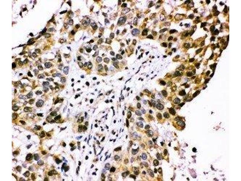
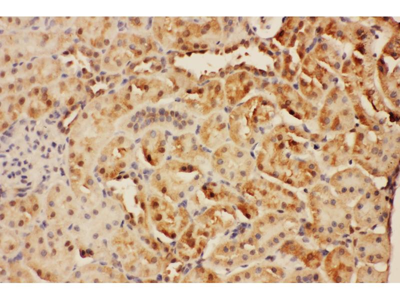
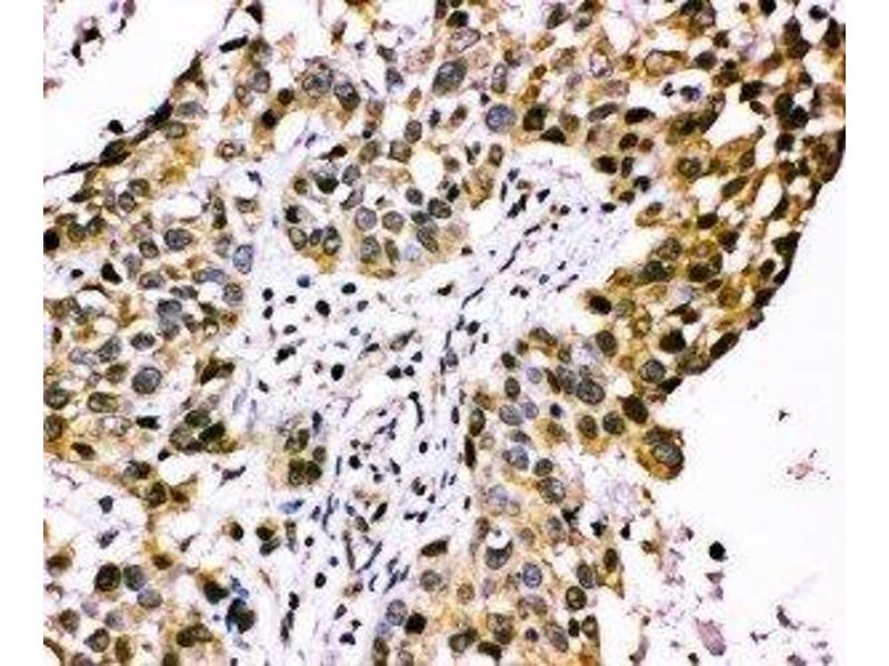
CISH Antikörper (C-Term)

Der Kaninchen Polyklonal anti-CISH Antikörper (ABIN3044172) detektiert spezifisch CISH in WB, IHC und ICC. Dieser Antikörper reagiert spezifisch mit Proben aus Human, Maus und Ratte.
Produktnummer ABIN3044172
500,50 €
Zzgl. Versandkosten 20,00 € und MwSt
100 μg
Lieferung nach: Deutschland
Lieferung in 8 bis 12 Werktagen

Kurzübersicht für CISH Antikörper (C-Term) (ABIN3044172)

Target

Alle CISH Antikörper anzeigen
CISH (Cytokine Inducible SH2-Containing Protein (CISH))

Reaktivität

  • 25
  • 18
  • 16
  • 3
  • 3
  • 3
  • 2
  • 2
  • 2
  • 2
  • 1
Human, Maus, Ratte

Wirt

  • 25
  • 1
Kaninchen

Klonalität

  • 26
Polyklonal

Konjugat

  • 19
  • 1
  • 1
  • 1
  • 1
  • 1
  • 1
  • 1
Dieser CISH Antikörper ist unkonjugiert

Applikation

  • 14
  • 6
  • 5
  • 5
  • 5
  • 5
  • 2
  • 1
Western Blotting (WB), Immunohistochemistry (IHC), Immunocytochemistry (ICC)
  • Bindungsspezifität

    • 4
    • 2
    • 2
    • 2
    • 2
    • 1
    • 1
    • 1
    • 1
    • 1
    AA 241-258, C-Term

    Verwendungszweck

    Anti-CISH Antibody

    Sequenz

    LPLPRRMADY LRQYPFQL

    Kreuzreaktivität (Details)

    No cross-reactivity with other proteins

    Produktmerkmale

    Anti-CISH Antibody (ABIN3044172). Tested in IHC, ICC, WB applications. This antibody reacts with Human, Mouse, Rat. This is a premium antibody that guarantees superior quality, high affinity, and strong signals with minimal background in Western blot applications.

    Aufreinigung

    Immunogen affinity purified.

    Immunogen

    A synthetic peptide corresponding to a sequence at the C-terminus of human CISH, identical to the related rat and mouse sequences.

    Isotyp

    IgG
  • Applikationshinweise

    Immunocytochemistry , 0.5-1 μg/mL, Human, Mouse, Rat
    Immunohistochemistry (Paraffin-embedded Section), 0.5-1 μg/mL, Human, Rat, Mouse
    Western blot, 0.1-0.5 μg/mL, Human, Rat, Mouse

    Kommentare

    Antibody can be supported by chemiluminescence kit ABIN921124 in WB, supported by ABIN921231 in IHC(P) and ICC.

    Beschränkungen

    Nur für Forschungszwecke einsetzbar
  • Format

    Lyophilized

    Rekonstitution

    Add 0.2 mL of distilled water will yield a concentration of 500 μg/mL.

    Konzentration

    500 μg/mL

    Buffer

    Each vial contains 5 mg BSA, 0.9 mg NaCl, 0.2 mg Na2HPO4, 0.05 mg Thimerosal, 0.05 mg Sodium azide.

    Konservierungsmittel

    Thimerosal (Merthiolate), Sodium azide

    Vorsichtsmaßnahmen

    This product contains Thimerosal (Merthiolate) and Sodium azide: POISONOUS AND HAZARDOUS SUBSTANCES which should be handled by trained staff only.

    Handhabung

    Avoid repeated freezing and thawing.

    Lagerung

    4 °C,-20 °C

    Informationen zur Lagerung

    Store at -20°C for one year from date of receipt. After reconstitution, at 4°C for one month.
    It can also be aliquotted and stored frozen at -20°C for six months. Avoid repeated freeze-thaw cycles.

    Haltbarkeit

    12 months
  • Target

    CISH (Cytokine Inducible SH2-Containing Protein (CISH))

    Andere Bezeichnung

    CISH

    Hintergrund

    Synonyms: Cytokine-inducible SH2-containing protein,CIS,CIS-1,Protein G18,Suppressor of cytokine signaling,SOCS,CISH,G18,

    Tissue Specificity: Expressed in various epithelial tissues. Abundantly expressed in liver and kidney, and to a lesser extent in lung. The tissue distribution of isoforms 1 and 1B is distinct. .

    Background: CISH (cytokine inducible SH2-containing protein),also called CIS, CIS-1, G18, SOCS, is an important negative regulator for inflammatory signaling and belongs to the suppressors of cytokine signaling (SOCS) family. CIS family members are known to be cytokine-inducible negative regulators of cytokine signaling. CISH controls interleukin-2 signaling, and variations of CISH with certain SNPs are associated with susceptibility to bacteremia, tuberculosis and malaria. The human CISH gene is mapped to chromosome 3p21.3 by FISH. The mouse gene is tightly linked to the Gnai2 gene on chromosome 9, a region syntenic to human chromosome 3p21. CIS expression was upregulated by lipopolysaccharide (LPS) or Cryptosporidium parvum exposure, and this upregulation involved downregulation of MIR98 and LET7, which relieved MIR98- and LET7-mediated translational repression of CIS. Gain- and loss-of-function studies showed that CIS accelerated degradation of IKBA and enhanced NFKB activation in cholangiocytes in response to LPS stimulation or C parvum exposure.

    Sequence Similarities: Contains 1 SH2 domain.

    Molekulargewicht

    29 kDa

    Pathways

    JAK-STAT Signalweg, Response to Growth Hormone Stimulus
Sie sind hier:
Chat with us!