Telefon:
+49 (0)241 95 163 153
Fax:
+49 (0)241 95 163 155
E-Mail:
orders@antikoerper-online.de

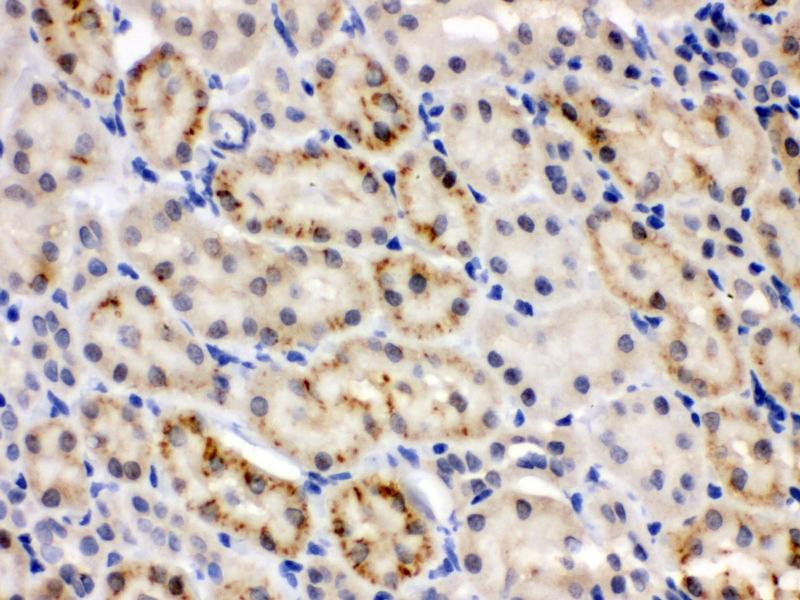
CRY2 Antikörper (N-Term)

Dieser Kaninchen Polyklonal Antikörper detektiert spezifisch CRY2 in WB und IHC. Es zeigt Reaktivität gegenüber Proben von Human, Maus und Ratte.
Produktnummer ABIN3042760
500,50 €
Zzgl. Versandkosten 20,00 € und MwSt
100 μg
Lieferung nach: Deutschland
Lieferung in 8 bis 12 Werktagen

Kurzübersicht für CRY2 Antikörper (N-Term) (ABIN3042760)

Target

Alle CRY2 Antikörper anzeigen
CRY2 (Cryptochrome 2 (Photolyase-Like) (CRY2))

Reaktivität

  • 31
  • 16
  • 5
  • 2
  • 2
  • 2
  • 2
  • 2
  • 2
  • 2
  • 1
  • 1
  • 1
  • 1
  • 1
  • 1
Human, Maus, Ratte

Wirt

  • 28
  • 7
Kaninchen

Klonalität

  • 30
  • 5
Polyklonal

Konjugat

  • 23
  • 2
  • 1
  • 1
  • 1
  • 1
  • 1
  • 1
  • 1
  • 1
  • 1
  • 1
Dieser CRY2 Antikörper ist unkonjugiert

Applikation

  • 28
  • 12
  • 10
  • 6
  • 4
  • 2
  • 1
  • 1
Western Blotting (WB), Immunohistochemistry (IHC)
  • Bindungsspezifität

    • 7
    • 6
    • 2
    • 1
    • 1
    • 1
    • 1
    • 1
    • 1
    AA 171-200, N-Term

    Verwendungszweck

    Anti-CRY2 Antibody

    Sequenz

    RFQAIISRME LPKKPVGLVT SQQMESCRAE

    Kreuzreaktivität (Details)

    No cross-reactivity with other proteins

    Produktmerkmale

    Anti-CRY2 Antibody (ABIN3042760). Tested in IHC, WB applications. This antibody reacts with Human, Mouse, Rat. This is a premium antibody that guarantees superior quality, high affinity, and strong signals with minimal background in Western blot applications.

    Aufreinigung

    Immunogen affinity purified.

    Immunogen

    A synthetic peptide corresponding to a sequence at the N-terminus of human CRY2, different from the related mouse and rat sequences by five amino acids.

    Isotyp

    IgG
  • Applikationshinweise

    Immunohistochemistry (Paraffin-embedded Section), 0.5-1 μg/mL, Mouse, Rat, Human
    Western blot, 0.1-0.5 μg/mL, Human, Mouse, Rat

    Kommentare

    Antibody can be supported by chemiluminescence kit ABIN921124 in WB, supported by ABIN921231 in IHC(P).

    Beschränkungen

    Nur für Forschungszwecke einsetzbar
  • Format

    Lyophilized

    Rekonstitution

    Add 0.2 mL of distilled water will yield a concentration of 500 μg/mL.

    Konzentration

    500 μg/mL

    Buffer

    Each vial contains 5 mg BSA, 0.9 mg NaCl, 0.2 mg Na2HPO4, 0.05 mg Sodium azide.

    Konservierungsmittel

    Sodium azide

    Vorsichtsmaßnahmen

    This product contains Sodium azide: a POISONOUS AND HAZARDOUS SUBSTANCE which should be handled by trained staff only.

    Handhabung

    Avoid repeated freezing and thawing.

    Lagerung

    4 °C,-20 °C

    Informationen zur Lagerung

    Store at -20°C for one year from date of receipt. After reconstitution, at 4°C for one month.
    It can also be aliquotted and stored frozen at -20°C for six months. Avoid repeated freeze-thaw cycles.
  • Target

    CRY2 (Cryptochrome 2 (Photolyase-Like) (CRY2))

    Andere Bezeichnung

    CRY2

    Hintergrund

    Synonyms: Cryptochrome-2,CRY2,KIAA0658,

    Tissue Specificity: Expressed in all tissues examined including fetal brain, fibroblasts, heart, brain, placenta, lung, liver, skeletal muscle, kidney, pancreas, spleen, thymus, prostate, testis, ovary, small intestine, colon and leukocytes. Highest levels in heart and skeletal muscle. .

    Background: This gene encodes a flavin adenine dinucleotide-binding protein that is a key component of the circadian core oscillator complex, which regulates the circadian clock. And it is upregulated by CLOCK/ARNTL heterodimers but then represses this upregulation in a feedback loop using PER/CRY heterodimers to interact with CLOCK/ARNTL. Polymorphisms in this gene have been associated with altered sleep patterns. The encoded protein is widely conserved across plants and animals. Two transcript variants encoding different isoforms have been found for this gene.

    Sequence Similarities: Belongs to the DNA photolyase class-1 family.

    Molekulargewicht

    67 kDa

    Gen-ID

    1408

    Pathways

    Response to Water Deprivation, Protein targeting to Nucleus
Sie sind hier:
Chat with us!