Telefon:
+49 (0)241 95 163 153
Fax:
+49 (0)241 95 163 155
E-Mail:
orders@antikoerper-online.de

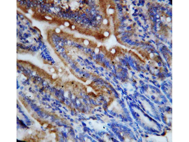
CX3CL1 Antikörper (N-Term)

Der Kaninchen Polyklonal anti-CX3CL1 Antikörper (ABIN3042714) detektiert spezifisch CX3CL1 in WB und IHC. Dieser Antikörper reagiert spezifisch mit Proben aus Ratte und Maus.
Produktnummer ABIN3042714
500,50 €
Zzgl. Versandkosten 20,00 € und MwSt
100 μg
Lieferung nach: Deutschland
Lieferung in 8 bis 12 Werktagen

Kurzübersicht für CX3CL1 Antikörper (N-Term) (ABIN3042714)

Target

Alle CX3CL1 Antikörper anzeigen
CX3CL1 (Chemokine (C-X3-C Motif) Ligand 1 (CX3CL1))

Reaktivität

  • 87
  • 40
  • 33
  • 2
  • 1
  • 1
  • 1
  • 1
  • 1
  • 1
  • 1
  • 1
Ratte, Maus

Wirt

  • 81
  • 14
  • 3
  • 2
  • 1
Kaninchen

Klonalität

  • 84
  • 17
Polyklonal

Konjugat

  • 54
  • 11
  • 8
  • 3
  • 2
  • 2
  • 1
  • 1
  • 1
  • 1
  • 1
  • 1
  • 1
  • 1
  • 1
  • 1
  • 1
  • 1
  • 1
  • 1
  • 1
  • 1
  • 1
  • 1
  • 1
  • 1
  • 1
Dieser CX3CL1 Antikörper ist unkonjugiert

Applikation

  • 78
  • 28
  • 28
  • 23
  • 13
  • 13
  • 13
  • 10
  • 8
  • 7
  • 6
  • 4
  • 3
  • 1
  • 1
  • 1
  • 1
  • 1
Western Blotting (WB), Immunohistochemistry (IHC)
  • Bindungsspezifität

    • 16
    • 5
    • 4
    • 3
    • 3
    • 3
    • 3
    • 2
    • 2
    • 2
    • 2
    • 1
    • 1
    • 1
    • 1
    • 1
    • 1
    • 1
    • 1
    • 1
    • 1
    • 1
    • 1
    • 1
    • 1
    • 1
    • 1
    • 1
    • 1
    • 1
    • 1
    • 1
    • 1
    AA 74-92, N-Term

    Verwendungszweck

    Anti-Fractalkine CX3CL1 Antibody

    Sequenz

    CADPKEKWVQ DAMKHLDHQ

    Kreuzreaktivität (Details)

    No cross-reactivity with other proteins

    Produktmerkmale

    Anti-Fractalkine CX3CL1 Antibody (ABIN3042714). Tested in IHC, WB applications. This antibody reacts with Mouse, Rat. This is a premium antibody that guarantees superior quality, high affinity, and strong signals with minimal background in Western blot applications.

    Aufreinigung

    Immunogen affinity purified.

    Immunogen

    A synthetic peptide corresponding to a sequence at the N-terminus of mouse CX3CL1, identical to the related rat sequence.

    Isotyp

    IgG
  • Applikationshinweise

    Immunohistochemistry (Paraffin-embedded Section), 0.5-1 μg/mL, Mouse, Rat
    Immunohistochemistry (Frozen Section), 0.5-1 μg/mL, Mouse, Rat, -
    Western blot, 0.1-0.5 μg/mL, Mouse, Rat

    Kommentare

    Antibody can be supported by chemiluminescence kit ABIN921124 in WB, supported by ABIN921231 in IHC(P) and IHC(F).

    Beschränkungen

    Nur für Forschungszwecke einsetzbar
  • Format

    Lyophilized

    Rekonstitution

    Add 0.2 mL of distilled water will yield a concentration of 500 μg/mL.

    Konzentration

    500 μg/mL

    Buffer

    Each vial contains 5 mg BSA, 0.9 mg NaCl, 0.2 mg Na2HPO4, 0.05 mg Thimerosal, 0.05 mg Sodium azide.

    Konservierungsmittel

    Thimerosal (Merthiolate), Sodium azide

    Vorsichtsmaßnahmen

    This product contains Thimerosal (Merthiolate) and Sodium azide: POISONOUS AND HAZARDOUS SUBSTANCES which should be handled by trained staff only.

    Handhabung

    Avoid repeated freezing and thawing.

    Lagerung

    4 °C,-20 °C

    Informationen zur Lagerung

    Store at -20°C for one year from date of receipt. After reconstitution, at 4°C for one month.
    It can also be aliquotted and stored frozen at -20°C for six months. Avoid repeated freeze-thaw cycles.

    Haltbarkeit

    12 months
  • Target

    CX3CL1 (Chemokine (C-X3-C Motif) Ligand 1 (CX3CL1))

    Andere Bezeichnung

    CX3CL1

    Hintergrund

    Synonyms: Fractalkine,C-X3-C motif chemokine 1,CX3C membrane-anchored chemokine,Neurotactin,Small-inducible cytokine D1,Processed fractalkine,Cx3cl1,Cx3c, Fkn, Scyd1,

    Tissue Specificity: Highest levels in brain. Lower levels in kidney, heart and lung. Also found in skeletal muscle and testis.

    Background: Chemokine (C-X3-C motif) ligand 1, also known as CX3CL1, is a large cytokine protein. It is said to be the only known member of the CX3C chemokine family. It is also commonly known under the names fractalkine (in humans) and neurotactin (in mice). Its gene is mapped to the long arm of chromosome 8. Being the large protein, it has got 373 amino acids. Imai et al. (1997) identified a 7-transmembrane high-affinity receptor (CX3CR1, 601470) for fractalkine and showed that it mediates both the adhesive and migratory functions of fractalkine.

    Molekulargewicht

    90-100 kDa

    UniProt

    O35188

    Pathways

    Synaptic Membrane
Sie sind hier:
Chat with us!