Telefon:
+49 (0)241 95 163 153
Fax:
+49 (0)241 95 163 155
E-Mail:
orders@antikoerper-online.de

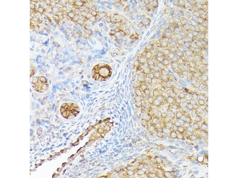
CX3CL1 Antikörper (AA 365-397)

Der Kaninchen Polyklonal anti-CX3CL1 Antikörper (ABIN6139265) detektiert spezifisch CX3CL1 in WB, IHC und IF. Dieser Antikörper reagiert spezifisch mit Proben aus Human.
Produktnummer ABIN6139265
320,00 €
Zzgl. Versandkosten 20,00 € und MwSt
Lieferung nach: Deutschland
Lieferung in 7 bis 9 Werktagen

Kurzübersicht für CX3CL1 Antikörper (AA 365-397) (ABIN6139265)

Target

Alle CX3CL1 Antikörper anzeigen
CX3CL1 (Chemokine (C-X3-C Motif) Ligand 1 (CX3CL1))

Reaktivität

  • 86
  • 40
  • 33
  • 2
  • 1
  • 1
  • 1
  • 1
  • 1
  • 1
  • 1
  • 1
Human

Wirt

  • 81
  • 14
  • 3
  • 2
  • 1
Kaninchen

Klonalität

  • 84
  • 17
Polyklonal

Konjugat

  • 54
  • 11
  • 8
  • 3
  • 2
  • 2
  • 1
  • 1
  • 1
  • 1
  • 1
  • 1
  • 1
  • 1
  • 1
  • 1
  • 1
  • 1
  • 1
  • 1
  • 1
  • 1
  • 1
  • 1
  • 1
  • 1
  • 1
Dieser CX3CL1 Antikörper ist unkonjugiert

Applikation

  • 78
  • 28
  • 27
  • 23
  • 13
  • 13
  • 13
  • 10
  • 7
  • 7
  • 6
  • 4
  • 3
  • 1
  • 1
  • 1
  • 1
  • 1
Western Blotting (WB), Immunohistochemistry (IHC), Immunofluorescence (IF)
  • Bindungsspezifität

    • 16
    • 5
    • 5
    • 3
    • 3
    • 3
    • 3
    • 2
    • 2
    • 2
    • 2
    • 2
    • 1
    • 1
    • 1
    • 1
    • 1
    • 1
    • 1
    • 1
    • 1
    • 1
    • 1
    • 1
    • 1
    • 1
    • 1
    • 1
    • 1
    • 1
    • 1
    • 1
    AA 365-397

    Kreuzreaktivität

    Human, Maus, Ratte

    Produktmerkmale

    Polyclonal Antibodies

    Aufreinigung

    Affinity purification

    Immunogen

    Recombinant fusion protein containing a sequence corresponding to amino acids 365-397aa of human CX3CL1 (NP_002987.1).

    Isotyp

    IgG
  • Applikationshinweise

    WB,1:200 - 1:2000,IHC,1:50 - 1:200,IF,1:50 - 1:200

    Beschränkungen

    Nur für Forschungszwecke einsetzbar
  • Format

    Liquid

    Buffer

    PBS with 0.02 % sodium azide,50 % glycerol, pH 7.3.

    Konservierungsmittel

    Sodium azide

    Vorsichtsmaßnahmen

    This product contains Sodium azide: a POISONOUS AND HAZARDOUS SUBSTANCE which should be handled by trained staff only.

    Lagerung

    -20 °C

    Informationen zur Lagerung

    Store at -20°C. Avoid freeze / thaw cycles.
  • Target

    CX3CL1 (Chemokine (C-X3-C Motif) Ligand 1 (CX3CL1))

    Andere Bezeichnung

    CX3CL1

    Hintergrund

    This gene belongs to the CX3C subgroup of chemokines, characterized by the number of amino acids located between the conserved cysteine residues. This is the only member of the CX3C subgroup, which contains three amino acids between cysteine residues, resulting in a Cys-X-X-X-Cys configuration. The encoded protein contains an extended mucin-like stalk with a chemokine domain on top, and exists in both a membrane-anchored form where it acts as a binding molecule, or, in soluble form, as a chemotactic cytokine. The mature form of this protein can be cleaved at the cell surface, yielding different soluble forms that can interact with the G-protein coupled receptor, C-X3-C motif chemokine receptor 1 gene product. This gene plays a role in a wide range of diseases, including cancer, vasculitis, neuropathies, atherosclerosis, inflammatory diseases, and in human immunodeficiency virus infections.,CX3CL1,ABCD-3,C3Xkine,CXC3,CXC3C,NTN,NTT,SCYD1,fractalkine,Immunology & Inflammation,Cytokines,Cell Intrinsic Innate Immunity Signaling Pathway,Chemokines,Chemokine,Cardiovascular,CX3CL1

    Molekulargewicht

    42 kDa

    Gen-ID

    6376

    UniProt

    P78423

    Pathways

    Synaptic Membrane
Sie sind hier:
Chat with us!