Telefon:
+49 (0)241 95 163 153
Fax:
+49 (0)241 95 163 155
E-Mail:
orders@antikoerper-online.de

BID Antikörper (AA 1-195)

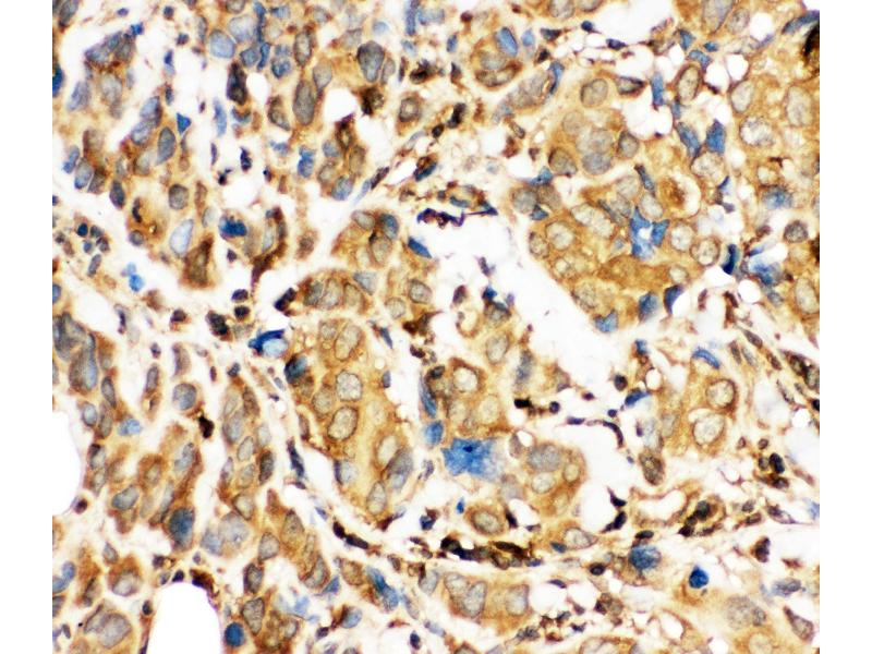
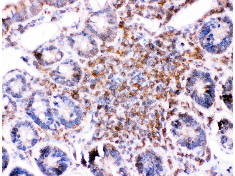
Zitiert in 6+ Publikationen. Der Kaninchen Polyklonal anti-BID Antikörper (ABIN3042321) detektiert spezifisch BID in WB, IHC, ICC, IF und FACS. Dieser Antikörper reagiert spezifisch mit Proben aus Human, Maus und Ratte.
Produktnummer ABIN3042321
500,50 €
Zzgl. Versandkosten 20,00 € und MwSt
100 μg
Lieferung nach: Deutschland
Lieferung in 8 bis 12 Werktagen

Kurzübersicht für BID Antikörper (AA 1-195) (ABIN3042321)

Target

Alle BID Antikörper anzeigen
BID (BH3 Interacting Domain Death Agonist (BID))

Reaktivität

  • 163
  • 75
  • 37
  • 2
  • 2
  • 1
Human, Maus, Ratte

Wirt

  • 172
  • 24
  • 2
  • 1
Kaninchen

Klonalität

  • 142
  • 57
Polyklonal

Konjugat

  • 98
  • 19
  • 12
  • 6
  • 5
  • 5
  • 5
  • 5
  • 5
  • 5
  • 5
  • 3
  • 2
  • 2
  • 2
  • 2
  • 2
  • 2
  • 2
  • 2
  • 2
  • 2
  • 2
  • 2
  • 2
Dieser BID Antikörper ist unkonjugiert

Applikation

  • 168
  • 80
  • 58
  • 50
  • 31
  • 28
  • 27
  • 27
  • 26
  • 25
  • 7
  • 6
  • 4
  • 2
  • 1
  • 1
  • 1
  • 1
Western Blotting (WB), Immunohistochemistry (IHC), Immunocytochemistry (ICC), Immunofluorescence (IF), Flow Cytometry (FACS)
  • Bindungsspezifität

    • 19
    • 18
    • 16
    • 8
    • 8
    • 7
    • 7
    • 5
    • 5
    • 4
    • 3
    • 3
    • 2
    • 2
    • 2
    • 2
    • 2
    • 2
    • 1
    • 1
    • 1
    • 1
    • 1
    • 1
    • 1
    • 1
    • 1
    • 1
    • 1
    • 1
    • 1
    • 1
    • 1
    • 1
    AA 1-195

    Verwendungszweck

    Anti-BID Antibody

    Kreuzreaktivität (Details)

    No cross-reactivity with other proteins

    Produktmerkmale

    Anti-BID Antibody (ABIN3042321). Tested in Flow Cytometry, IF, IHC, ICC, WB applications. This antibody reacts with Human, Mouse, Rat. This is a premium antibody that guarantees superior quality, high affinity, and strong signals with minimal background in Western blot applications.

    Aufreinigung

    Immunogen affinity purified.

    Immunogen

    E.coli-derived human Bid recombinant protein (Position: M1-D195). Human Bid shares 64% and 61% amino acid (aa) sequences identity with mouse and rat Bid, respectively.

    Isotyp

    IgG
  • Applikationshinweise

    Western blot, 0.1-0.5 μg/mL, Human
    Immunohistochemistry (Paraffin-embedded Section), 0.5-1 μg/mL, Human, Mouse, Rat
    Immunocytochemistry/Immunofluorescence, 2 μg/mL, Human
    Flow Cytometry (Fixed), 1-3 μg/1x106 cells, Human

    Kommentare

    Antibody can be supported by chemiluminescence kit ABIN921124 in WB, supported by ABIN921231 in IHC(P) and ICC.

    Beschränkungen

    Nur für Forschungszwecke einsetzbar
  • Format

    Lyophilized

    Rekonstitution

    Add 0.2 mL of distilled water will yield a concentration of 500 μg/mL.

    Konzentration

    500 μg/mL

    Buffer

    Each vial contains 5 mg BSA, 0.9 mg NaCl, 0.2 mg Na2HPO4, 0.05 mg Sodium azide.

    Konservierungsmittel

    Sodium azide

    Vorsichtsmaßnahmen

    This product contains Sodium azide: a POISONOUS AND HAZARDOUS SUBSTANCE which should be handled by trained staff only.

    Handhabung

    Avoid repeated freezing and thawing.

    Lagerung

    4 °C,-20 °C

    Informationen zur Lagerung

    Store at -20°C for one year from date of receipt. After reconstitution, at 4°C for one month.
    It can also be aliquotted and stored frozen at -20°C for six months. Avoid repeated freeze-thaw cycles.
  • Bi, Zeng, Zhao, Wei, Yu, Wang, Yu, Cao, Shan, Wei: "miR-181a Induces Macrophage Polarized to M2 Phenotype and Promotes M2 Macrophage-mediated Tumor Cell Metastasis by Targeting KLF6 and C/EBPα." in: Molecular therapy. Nucleic acids, Vol. 5, Issue 9, pp. e368, (2016) (PubMed).

    Wang, Gong, Chen, Xiong, Zhou, Huang, Kong: "NLRP3 inflammasome sequential changes in Staphylococcus aureus-induced mouse model of acute rhinosinusitis." in: International journal of molecular sciences, Vol. 15, Issue 9, pp. 15806-20, (2015) (PubMed).

    Li, Chen, Zhang, Song, Mu: "Gastrodin inhibits neuroinflammation in rotenone-induced Parkinson's disease model rats." in: Neural regeneration research, Vol. 7, Issue 5, pp. 325-31, (2015) (PubMed).

    Yu, Chen, Wang, Kuang, Liu, Zhang, Du: "Neuroprotective effect of kaempferol glycosides against brain injury and neuroinflammation by inhibiting the activation of NF-?B and STAT3 in transient focal stroke." in: PLoS ONE, Vol. 8, Issue 2, pp. e55839, (2013) (PubMed).

    Yao, Peng, Peng, Tan, Wu, Wu, Chen, Li, Li, Zhu: "Effects of extract of Buddleja officinalis on partial inflammation of lacrimal gland in castrated rabbits with dry eye." in: International journal of ophthalmology, Vol. 3, Issue 2, pp. 114-9, (2012) (PubMed).

    Wang, Liu, Mi, Wang, Tang, Zhao, Li: "Sonodynamically induced apoptosis by protoporphyrin IX on hepatoma-22 cells in vitro." in: Ultrasound in medicine & biology, Vol. 36, Issue 4, pp. 667-76, (2010) (PubMed).

  • Target

    BID (BH3 Interacting Domain Death Agonist (BID))

    Andere Bezeichnung

    BID

    Hintergrund

    Synonyms: Antigen KI-67,MKI67,

    Tissue Specificity: Released primarily from activated T lymphocytes.

    Background: BID (BH3-Interacting Domain Death Agonist), is a pro-apoptotic member of the Bcl-2 protein family. The BCL2 family of proteins consists of both antagonists and agonists that regulate apoptosis and compete through dimerization. By fluorescence in situ hybridization, Wang et al. (1998) mapped the human BID gene to 22q11. Luo et al. (1998) reported the purification of a cytosolic protein that induces cytochrome c release from mitochondria in response to caspase-8, the apical caspase activated by cell surface death receptors such as FAS and TNF.

    Sequence Similarities: Contains 1 FHA domain.

    Molekulargewicht

    22 kDa

    Gen-ID

    637

    UniProt

    P55957

    Pathways

    Apoptose, Caspase Kaskade in der Apoptose, Positive Regulation of Endopeptidase Activity
Sie sind hier:
Chat with us!