Telefon:
+49 (0)241 95 163 153
Fax:
+49 (0)241 95 163 155
E-Mail:
orders@antikoerper-online.de

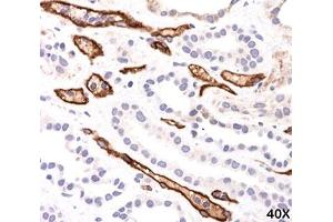
Complement C4d Antikörper

Der Maus Monoklonal anti-Complement C4d Antikörper wird verwendet zum Nachweis von Complement C4d in Proben von Human. Er wurde validiert für IF, ELISA und IHC (p).
Produktnummer ABIN3026358
642,40 €
Zzgl. Versandkosten 20,00 € und MwSt
100 μg
Lieferung nach: Deutschland
Lieferung in 6 bis 9 Werktagen

Kurzübersicht für Complement C4d Antikörper (ABIN3026358)

Target

Complement C4d (C4d) (Complement Component C4d (C4d))

Reaktivität

  • 35
  • 2
  • 1
  • 1
  • 1
  • 1
  • 1
Human

Wirt

  • 26
  • 11
Maus

Klonalität

  • 29
  • 8
Monoklonal

Konjugat

  • 20
  • 2
  • 2
  • 2
  • 2
  • 2
  • 2
  • 2
  • 1
  • 1
  • 1
Dieser Complement C4d Antikörper ist unkonjugiert

Applikation

  • 22
  • 21
  • 15
  • 12
  • 11
  • 10
  • 9
  • 7
  • 4
  • 4
  • 3
  • 1
  • 1
  • 1
  • 1
Immunofluorescence (IF), ELISA, Immunohistochemistry (Paraffin-embedded Sections) (IHC (p))

Klon

C4D204
  • Produktmerkmale

    This antibody is specific to Complement 4d (C4d) and it reacts with the secreted as well as cell-bound protein. C4d is a degradation product of the activated complement factor C4b. Complement 4b is typically activated by binding of antibodies to specific target molecules. Following activation and degradation of the C4 Molecule, thio-ester groups are exposed, which allow transient, covalent binding of the degradation product C4d to endothelial cell surfaces and extracellular matrix components of vascular basement membranes near the sites of C4 activation. The presence of C4d in peritubular capillaries is a key indicator for acute humoral (i.e. antibody-mediated) rejection of kidney, heart, pancreas and lung allografts. As an established marker of antibody-mediated acute renal allograft rejection and its proclivity for endothelium, this component can be detected in peritubular capillaries in chronic renal allograft rejection as well as hyperacute rejection, acute vascular rejection, acute cellular rejection, and borderline rejection. C4d has been shown to be a significant predictor of transplant kidney graft survival. C4d antibody, combined with antibody to C3d, can be utilized as a tool for diagnosis of allograft rejection that may warrant a prompt and aggressive anti-rejection treatment.

    Aufreinigung

    Protein G affinity chromatography

    Immunogen

    Human protein was used as the immunogen for this C4d antibody.

    Isotyp

    IgG1 kappa
  • Applikationshinweise

    The concentration stated for each application is a general starting point. Variations in protocols, secondaries and substrates may require the C4d antibody to be titered up or down for optimal performance.

    1. Staining of formalin-fixed tissues requires boiling tissue sections in 1  mM EDTA,  pH 7.5-8.5, for 10-20 min followed by cooling at RT for 20 minutes.
    2. The prediluted format is supplied in a dropper bottle and is optimized for use in IHC. After epitope retrieval step (if required), drip mAb solution onto the tissue section and incubate at RT for 30 min.\. IF: 1:50-1:100,IHC (FFPE): 1:200-1:400 for 30 minutes at RT (1),Prediluted format : incubate for 30 min at RT (2),ELISA: 1-2 μg/mL, order the BSA-free format

    Beschränkungen

    Nur für Forschungszwecke einsetzbar
  • Konzentration

    1 mg/mL

    Buffer

    1 mg/mL in 1X PBS, BSA free, sodium azide free

    Konservierungsmittel

    Azide free

    Lagerung

    4 °C

    Informationen zur Lagerung

    Store the C4d antibody at 2-8°C.
  • Target

    Complement C4d (C4d) (Complement Component C4d (C4d))

    Andere Bezeichnung

    C4d Complement 4d

    Hintergrund

    This antibody is specific to Complement 4d (C4d) and it reacts with the secreted as well as cell-bound protein. C4d is a degradation product of the activated complement factor C4b. Complement 4b is typically activated by binding of antibodies to specific target molecules. Following activation and degradation of the C4 Molecule, thio-ester groups are exposed, which allow transient, covalent binding of the degradation product C4d to endothelial cell surfaces and extracellular matrix components of vascular basement membranes near the sites of C4 activation. The presence of C4d in peritubular capillaries is a key indicator for acute humoral (i.e. antibody-mediated) rejection of kidney, heart, pancreas and lung allografts. As an established marker of antibody-mediated acute renal allograft rejection and its proclivity for endothelium, this component can be detected in peritubular capillaries in chronic renal allograft rejection as well as hyperacute rejection, acute vascular rejection, acute cellular rejection, and borderline rejection. C4d has been shown to be a significant predictor of transplant kidney graft survival. C4d antibody, combined with antibody to C3d, can be utilized as a tool for diagnosis of allograft rejection that may warrant a prompt and aggressive anti-rejection treatment.

    Gen-ID

    720
Sie sind hier:
Chat with us!