Telefon:
+49 (0)241 95 163 153
Fax:
+49 (0)241 95 163 155
E-Mail:
orders@antikoerper-online.de

Complement C4d Antikörper

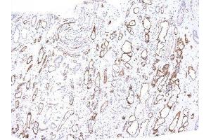
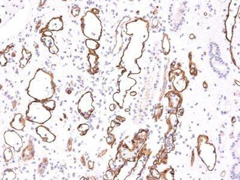
Dieser Maus Monoklonal Antikörper detektiert spezifisch Complement C4d in IF, ELISA, Coat und IHC (f). Es zeigt Reaktivität gegenüber Proben von Human.
Produktnummer ABIN6173841
566,15 €
Zzgl. Versandkosten 20,00 € und MwSt
50 μL
Lieferung nach: Deutschland
Lieferung in 8 bis 14 Werktagen

Kurzübersicht für Complement C4d Antikörper (ABIN6173841)

Target

Complement C4d (C4d) (Complement Component C4d (C4d))

Reaktivität

  • 35
  • 2
  • 1
  • 1
  • 1
  • 1
  • 1
Human

Wirt

  • 26
  • 11
Maus

Klonalität

  • 29
  • 8
Monoklonal

Konjugat

  • 20
  • 2
  • 2
  • 2
  • 2
  • 2
  • 2
  • 2
  • 1
  • 1
  • 1
Dieser Complement C4d Antikörper ist unkonjugiert

Applikation

  • 22
  • 21
  • 14
  • 12
  • 11
  • 10
  • 10
  • 6
  • 4
  • 4
  • 3
  • 1
  • 1
  • 1
  • 1
Immunofluorescence (IF), ELISA, Coating (Coat), Immunohistochemistry (Formalin-fixed Sections) (IHC (f))

Klon

C4D204
  • Verwendungszweck

    Mouse Monoclonal anti-Complement C4d (C4D204), Purified, BSA-free

    Produktmerkmale

    This MAb is specific to Complement 4d (C4d) and it reacts with the secreted as well as cell-bound C4d.C4d is a degradation product of the activated complement factor C4b. Complement 4b is typically activated by binding of Abs to specific target molecules. Following activation and degradation of the C4 Molecule, thio-ester groups are exposed, which allow transient, covalent binding of the degradation product Complement 4d to endothelial cell surfaces and extracellular matrix components of vascular basement membranes near the sites of C4 activation. The presence of C4d in peritubular capillaries is a key indicator for acute humoral (i.e. antibody-mediated) rejection of kidney, heart, pancreas and lung allografts. As an established marker of antibody-mediated acute renal allograft rejection and its proclivity for endothelium, this component can be detected in peritubular capillaries in chronic renal allograft rejection as well as hyperacute rejection, acute vascular rejection, acute cellular rejection, and borderline rejection. It has been shown to be a significant predictor of transplant kidney graft survival. Anti-C4d, combined with anti-C3d, can be utilized as a tool for diagnosis of allograft rejection that may warrant a prompt and aggressive anti-rejection treatment. Primary antibodies are available purified, or with a selection of fluorescent CF® dyes and other labels. CF® dyes offer exceptional brightness and photostability. Note: Conjugates of blue fluorescent dyes like CF®405S and CF®405M are not recommended for detecting low abundance targets, because blue dyes have lower fluorescence and can give higher non-specific background than other dye colors.

    Aufreinigung

    Purified

    Immunogen

    Recombinant human Complement 4d protein

    Isotyp

    IgG1 kappa
  • Applikationshinweise

    Immunohistology formalin-fixed 1:200-1:400
    • Staining of formalin-fixed tissues requires boiling tissue sections in 10 mM Tris with 1 mM EDTA,  pH 9.0, for 10-20 min followed by cooling at RT for 20 minutes
    • Immunofluorescence 1:50-1:100
    • ELISA For coating use Ab at 1-2 μg/mL, order Ab without BSA
    • Optimal dilution for a specific application should be determined by user

    Kommentare

    Rejected Renal Transplant Tissue

    Beschränkungen

    Nur für Forschungszwecke einsetzbar
  • Format

    Liquid

    Konzentration

    1 mg/mL

    Buffer

    PBS (no BSA, no azide)

    Konservierungsmittel

    Azide free
  • Target

    Complement C4d (C4d) (Complement Component C4d (C4d))

    Andere Bezeichnung

    Complement C4d

    Molekulargewicht

    192 kDa (predicted)

    Gen-ID

    720, 721
Sie sind hier:
Chat with us!