Telefon:
+49 (0)241 95 163 153
Fax:
+49 (0)241 95 163 155
E-Mail:
orders@antikoerper-online.de

CEA Antikörper

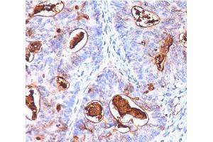
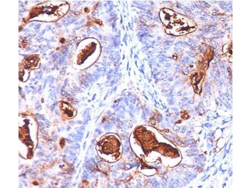
Der Maus Monoklonal anti-CEA Antikörper wird verwendet zum Nachweis von CEA in Proben von Human. Er wurde validiert für FACS, IHC (p) und IF.
Produktnummer ABIN3026334
642,40 €
Zzgl. Versandkosten 20,00 € und MwSt
100 μg
Lieferung nach: Deutschland
Lieferung in 6 bis 9 Werktagen

Kurzübersicht für CEA Antikörper (ABIN3026334)

Target

Alle CEA Antikörper anzeigen
CEA (Carcinoembryonic Antigen Gene Family (CEA))

Reaktivität

  • 171
  • 11
  • 4
  • 3
  • 1
Human

Wirt

  • 105
  • 75
  • 3
  • 1
  • 1
  • 1
Maus

Klonalität

  • 136
  • 45
  • 4
Monoklonal

Konjugat

  • 70
  • 18
  • 9
  • 6
  • 5
  • 5
  • 5
  • 3
  • 3
  • 3
  • 3
  • 3
  • 3
  • 3
  • 3
  • 3
  • 3
  • 3
  • 3
  • 2
  • 2
  • 2
  • 2
  • 2
  • 2
  • 2
  • 2
  • 2
  • 2
  • 2
  • 2
  • 2
  • 1
  • 1
  • 1
  • 1
  • 1
  • 1
Dieser CEA Antikörper ist unkonjugiert

Applikation

  • 84
  • 65
  • 43
  • 31
  • 28
  • 27
  • 27
  • 23
  • 21
  • 16
  • 13
  • 10
  • 5
  • 4
  • 3
  • 2
  • 2
  • 2
  • 2
  • 1
  • 1
  • 1
  • 1
  • 1
Flow Cytometry (FACS), Immunohistochemistry (Paraffin-embedded Sections) (IHC (p)), Immunofluorescence (IF)

Klon

COL-1-CEA31-C66-261
  • Produktmerkmale

    This antibody cocktail recognizes proteins of 80-200 kDa, identified as different members of the CEA (Carcinoembryonic Antigen) family. CEA is synthesized during development in the fetal gut and is re-expressed in increased amounts in intestinal carcinomas and several other tumors. This antibody does not react with nonspecific cross-reacting antigen (NCA) and with human polymorphonuclear leucocytes. The antibody cocktail shows no reaction with a variety of normal tissues and is suitable for staining of formalin/paraffin tissues. CEA is not found in benign glands, stroma, or malignant prostatic cells. antibody to CEA is useful in detecting early foci of gastric carcinoma and in distinguishing pulmonary adenocarcinomas (60-70 % are CEA+) from pleural mesotheliomas (rarely or weakly CEA+). CEA antibody positivity is seen in adenocarcinomas from the lung, colon, stomach, esophagus, pancreas, gallbadder, urachus, salivary gland, ovary, and endocervix.

    Aufreinigung

    Protein G affinity chromatography

    Immunogen

    Human colon carcinoma extract (COL-1 & CEA31) and CEA recombinant protein (C66/261) were used as the immunogen for this antibody cocktail.

    Isotyp

    IgG2a
  • Applikationshinweise

    The concentration stated for each application is a general starting point. Variations in protocols, secondaries and substrates may require the antibody to be titered up or down for optimal performance.

    1. Staining of formalin-fixed tissues requires boiling tissue sections in 10  mM Citrate Buffer,  pH 6.0, for 10-20 min followed by cooling at RT for 20 minutes.
    2. The prediluted format is supplied in a dropper bottle and is optimized for use in IHC. After epitope retrieval step (if required), drip mAb solution onto the tissue section and incubate at RT for 30 min.\. FACS: 0.5-1 μg/million cells,IF: 1-2 μg/mL,IHC (FFPE): 1-2 μg/mL for 30 min at RT (1),Prediluted format : incubate for 30 min at RT (2)

    Beschränkungen

    Nur für Forschungszwecke einsetzbar
  • Konzentration

    1 mg/mL

    Buffer

    1 mg/mL in 1X PBS, BSA free, sodium azide free

    Konservierungsmittel

    Azide free

    Lagerung

    4 °C,-20 °C

    Informationen zur Lagerung

    Store the CEA antibody cocktail at 2-8°C (with azide) or aliquot and store at -20°C or colder (without azide).
  • Target

    CEA (Carcinoembryonic Antigen Gene Family (CEA))

    Andere Bezeichnung

    CEA

    Hintergrund

    This antibody cocktail recognizes proteins of 80-200  kDa, identified as different members of the CEA (Carcinoembryonic Antigen) family. CEA is synthesized during development in the fetal gut and is re-expressed in increased amounts in intestinal carcinomas and several other tumors. This antibody does not react with nonspecific cross-reacting antigen (NCA) and with human polymorphonuclear leucocytes. The antibody cocktail shows no reaction with a variety of normal tissues and is suitable for staining of formalin/paraffin tissues. CEA is not found in benign glands, stroma, or malignant prostatic cells. antibody to CEA is useful in detecting early foci of gastric carcinoma and in distinguishing pulmonary adenocarcinomas (60-70 % are CEA+) from pleural mesotheliomas (rarely or weakly CEA+). CEA antibody positivity is seen in adenocarcinomas from the lung, colon, stomach, esophagus, pancreas, gallbadder, urachus, salivary gland, ovary, and endocervix.
Sie sind hier:
Chat with us!