Telefon:
+49 (0)241 95 163 153
Fax:
+49 (0)241 95 163 155
E-Mail:
orders@antikoerper-online.de

CEA Antikörper

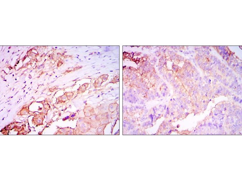
Es sind 2+ Publikationen für dieses Produkt verfügbar. Der Maus Monoklonal anti-CEA Antikörper wird verwendet zum Nachweis von CEA in Proben von Human. Er wurde validiert für IHC und ELISA.
Produktnummer ABIN969047
657,84 €
Zzgl. Versandkosten 20,00 € und MwSt
100 μL
Lieferung nach: Deutschland
Lieferung in 7 bis 10 Werktagen

Kurzübersicht für CEA Antikörper (ABIN969047)

Target

Alle CEA Antikörper anzeigen
CEA (Carcinoembryonic Antigen Gene Family (CEA))

Reaktivität

  • 171
  • 11
  • 4
  • 3
  • 1
Human

Wirt

  • 105
  • 75
  • 3
  • 1
  • 1
  • 1
Maus

Klonalität

  • 136
  • 45
  • 4
Monoklonal

Konjugat

  • 70
  • 18
  • 9
  • 6
  • 5
  • 5
  • 5
  • 3
  • 3
  • 3
  • 3
  • 3
  • 3
  • 3
  • 3
  • 3
  • 3
  • 3
  • 3
  • 2
  • 2
  • 2
  • 2
  • 2
  • 2
  • 2
  • 2
  • 2
  • 2
  • 2
  • 2
  • 2
  • 1
  • 1
  • 1
  • 1
  • 1
  • 1
Dieser CEA Antikörper ist unkonjugiert

Applikation

  • 83
  • 65
  • 42
  • 31
  • 29
  • 27
  • 27
  • 24
  • 22
  • 16
  • 13
  • 10
  • 5
  • 4
  • 3
  • 2
  • 2
  • 2
  • 2
  • 1
  • 1
  • 1
  • 1
  • 1
Immunohistochemistry (IHC), ELISA

Klon

1C7
  • Verwendungszweck

    CEA Antibody

    Aufreinigung

    Ascitic fluid

    Immunogen

    Purified recombinant fragment of human CEA expressed in E. Coli.

    Isotyp

    IgG1
  • Applikationshinweise

    ELISA: 1/10000

    Beschränkungen

    Nur für Forschungszwecke einsetzbar
  • Format

    Liquid

    Buffer

    Ascitic fluid containing 0.03 % sodium azide.

    Konservierungsmittel

    Sodium azide

    Vorsichtsmaßnahmen

    This product contains Sodium azide: a POISONOUS AND HAZARDOUS SUBSTANCE which should be handled by trained staff only.

    Lagerung

    4 °C,-20 °C

    Informationen zur Lagerung

    Store at 4°C short term. Aliquot and store at -20°C long term. Avoid freeze/thaw cycles.
  • Bjerner, Høgetveit, Wold Akselberg, Vangsnes, Paus, Bjøro, Børmer, Nustad: "Reference intervals for carcinoembryonic antigen (CEA), CA125, MUC1, Alfa-foeto-protein (AFP), neuron-specific enolase (NSE) and CA19.9 from the NORIP study." in: Scandinavian journal of clinical and laboratory investigation, Vol. 68, Issue 8, pp. 703-13, (2008) (PubMed).

    Huang, Wang, Yang, Yin, Geng, Li: "[Clinical value of combined determination of serum and pleural effusion level of CEA,CYFRA21-1, TPS in the diagnosis of lung cancer]." in: Xi bao yu fen zi mian yi xue za zhi = Chinese journal of cellular and molecular immunology, Vol. 24, Issue 4, pp. 370-2, (2008) (PubMed).

  • Target

    CEA (Carcinoembryonic Antigen Gene Family (CEA))

    Andere Bezeichnung

    CEA

    Hintergrund

    Carcino Embryonic Antigen (CEA) is synthesised during development in the fetal gut, and is re-expressed in increased amounts in intestinal carcinomas and several other tumors. Antibodies to CEA are useful in identifying the origin of various metastatic adenocarcinomas and in distinguishing pulmonary adenocarcinomas (60 to 70 % are CEA+) from pleural mesotheliomas (rarely or weakly CEA+).The carcinoembryonic antigen (CEA) is a member of a large family of glycoproteins and a useful tumor marker for adenocarcinoma.Tissue specificity: Found in adenocarcinomas of endodermally derived digestive system epithelium and fetal colon.

    Molekulargewicht

    77 kDa

    UniProt

    P06731
Sie sind hier:
Chat with us!