Telefon:
+49 (0)241 95 163 153
Fax:
+49 (0)241 95 163 155
E-Mail:
orders@antikoerper-online.de

Helicobacter Pylori Antikörper

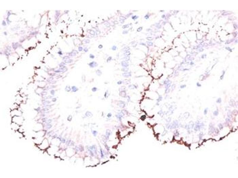
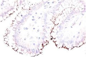
Der Kaninchen Polyklonal anti-Helicobacter Pylori Antikörper (ABIN3026275) detektiert spezifisch Helicobacter Pylori in IF, FACS und IHC (p). Dieser Antikörper reagiert spezifisch mit Proben aus Helicobacter pylori.
Produktnummer ABIN3026275
642,40 €
Zzgl. Versandkosten 20,00 € und MwSt
100 μg
Lieferung nach: Deutschland
Lieferung in 6 bis 9 Werktagen

Kurzübersicht für Helicobacter Pylori Antikörper (ABIN3026275)

Target

Helicobacter Pylori (H. pylori)

Reaktivität

  • 88
  • 6
  • 2
Helicobacter pylori

Wirt

  • 51
  • 44
  • 1
  • 1
Kaninchen

Klonalität

  • 57
  • 40
Polyklonal

Konjugat

  • 64
  • 6
  • 6
  • 6
  • 2
  • 2
  • 2
  • 2
  • 2
  • 2
  • 2
  • 1
Dieser Helicobacter Pylori Antikörper ist unkonjugiert

Applikation

  • 50
  • 36
  • 26
  • 26
  • 9
  • 8
  • 8
  • 7
  • 7
  • 5
  • 4
  • 3
  • 3
  • 3
  • 2
  • 2
  • 2
  • 1
  • 1
  • 1
  • 1
  • 1
  • 1
  • 1
  • 1
  • 1
  • 1
  • 1
Immunofluorescence (IF), Flow Cytometry (FACS), Immunohistochemistry (Paraffin-embedded Sections) (IHC (p))
  • Aufreinigung

    Protein A affinity chromatography

    Immunogen

    Total sonicate of Helicobacter ylori was used as the immunogen for this antibody.

    Isotyp

    IgG
  • Applikationshinweise

    The concentration stated for each application is a general starting point. Variations in protocols, secondaries and substrates may require the antibody to be titered up or down for optimal performance.

    1. Staining of formalin-fixed tissues requires boiling tissue sections in 10  mM Citrate,  pH 6.0, for 10-20 min followed by cooling at RT for 20 minutes.
    \. FACS: 0.5-1 μg/million cells,IF: 1-2 μg/mL,IHC (FFPE): 1-2 μg/mL for 30 minutes at RT (1)

    Beschränkungen

    Nur für Forschungszwecke einsetzbar
  • Konzentration

    1 mg/mL

    Buffer

    1mg/ml in 1X PBS with 0.05% sodium azide; BSA-free

    Konservierungsmittel

    Azide free

    Lagerung

    4 °C,-20 °C

    Informationen zur Lagerung

    Store the Helicobacter Pylori antibody at 2-8°C (with azide) or aliquot and store at -20°C or colder (without azide).
  • Target

    Helicobacter Pylori (H. pylori)

    Andere Bezeichnung

    Helicobacter Pylori

    Substanzklasse

    Virus

    Hintergrund

    The spiral shaped bacterium Helicobacter pylori is strongly associated with inflammation of the stomach and is also implicated in the development of gastric malignancy. This bacteria is known to cause peptic ulcers and chronic gastritis in human. It is associated with duodenal ulcers and may be involved in development of adenocarcinoma and low-grade lymphoma of mucosa associated lymphoid tissue in the stomach. This antibody stains the individual Helicobacter pylori bacterium when it presents on the surface of the epithelium or in the cytoplasm of the epithelial cells in biopsy tissue sections from the antrum and body of the stomach.
Sie sind hier:
Chat with us!