CAD Antikörper
Kurzübersicht für CAD Antikörper (ABIN3025775)
Target
Alle CAD Antikörper anzeigenReaktivität
Wirt
Klonalität
Konjugat
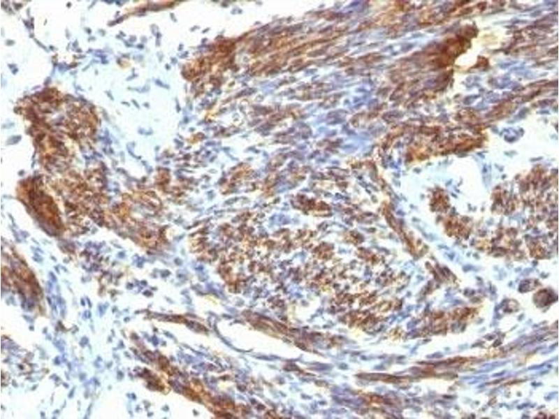
Applikation
Klon
-
-
Keine Kreuzreaktivität
- Ratte (Rattus)
-
Aufreinigung
- Protein G affinity chromatography
-
Immunogen
- Recombinant full-length human protein was used as the immunogen for the CAD antibody.
-
Isotyp
- IgG1 kappa
-
-
-
-
Applikationshinweise
-
Optimal dilution of the CAD antibody should be determined by the researcher.
1. Staining of formalin-fixed tissues requires boiling tissue sections in 10 mM Tris with 1 mM EDTA, pH 9.0, for 10-20 min followed by cooling at RT for 20 min.
2. The prediluted format is supplied in a dropper bottle and is optimized for use in IHC. After epitope retrieval step (if required), drip mAb solution onto the tissue section and incubate at RT for 30 min.\. Flow Cytometry: 0.5-1 μg/million cells in 0.1ml,Immunofluorescence: 1-2 μg/mL,Immunohistochemistry (FFPE): 0.5-1 μg/mL for 30 min at RT (1),Prediluted format: incubate for 30 min at RT (2) -
Beschränkungen
- Nur für Forschungszwecke einsetzbar
-
-
-
Konzentration
- 1 mg/mL
-
Buffer
- 1 mg/mL in 1X PBS, BSA free, sodium azide free
-
Konservierungsmittel
- Azide free
-
Lagerung
- 4 °C,-20 °C
-
Informationen zur Lagerung
- Store the CAD antibody at 2-8°C (with azide) or aliquot and store at -20°C or colder (without azide).
-
-
- CAD (Carbamoyl-Phosphate Synthetase 2, Aspartate Transcarbamylase, and Dihydroorotase (CAD))
-
Andere Bezeichnung
- CAD
-
Hintergrund
- Recognizes a protein of 150 kDa, which is identified as the high molecular weight variant of Caldesmon. Two closely related variants of human caldesmon have been identified which are different in their electrophoretic mobility and cellular distribution. The h-caldesmon variant (120-150 kDa) is predominantly expressed in smooth muscle whereas l-caldesmon (70-80 kDa) is found in non- muscle tissue and cells. Neither of the two variants has been detected in skeletal muscle. This mAb recognizes only the 150 kDa variant (h-caldesmon) in Western blots of human aortic media extracts and is unreactive with fibroblast extracts from cultivated human foreskin. Caldesmon is a developmentally regulated protein involved in smooth muscle and non-muscle contraction.
-
Pathways
- Production of Molecular Mediator of Immune Response, Ribonucleoside Biosynthetic Process
Target
-