Telefon:
+49 (0)241 95 163 153
Fax:
+49 (0)241 95 163 155
E-Mail:
orders@antikoerper-online.de

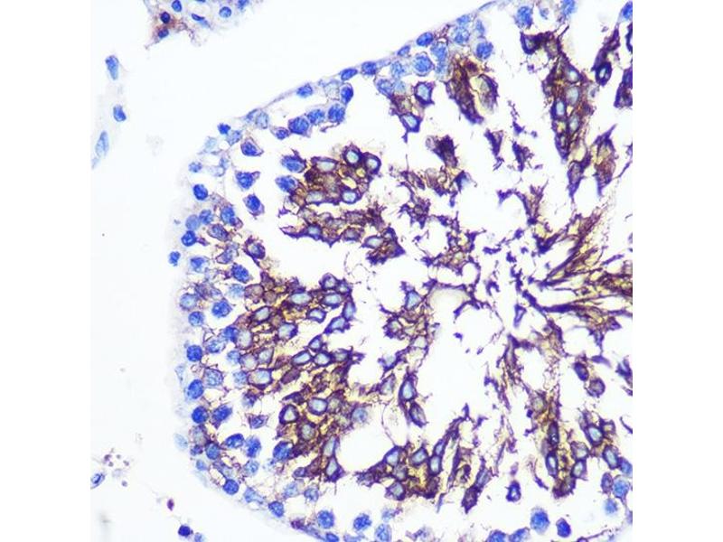
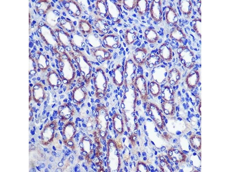
LETMD1 Antikörper (AA 161-360)

Der Kaninchen-Polyklonal Anti-LETMD1-Antikörper wurde für WB, IHC und IF validiert. Er ist geeignet zum Nachweis von LETMD1 in Proben aus Human. }
Produktnummer ABIN1513151
-15% Promotion 2026
1.024,25 €
1.205,00 €
Sparen Sie 180,75 € (-15 %)
Zzgl. Versandkosten 20,00 € und MwSt
Lieferung nach: Deutschland
Lieferung in 7 bis 9 Werktagen

Kurzübersicht für LETMD1 Antikörper (AA 161-360) (ABIN1513151)

Target

Alle LETMD1 Antikörper anzeigen
LETMD1 (LETM1 Domain Containing 1 (LETMD1))

Reaktivität

  • 33
  • 12
  • 11
  • 2
  • 2
  • 1
  • 1
  • 1
Human

Wirt

  • 30
  • 3
Kaninchen

Klonalität

  • 32
  • 1
Polyklonal

Konjugat

  • 12
  • 2
  • 1
  • 1
  • 1
  • 1
  • 1
  • 1
  • 1
  • 1
  • 1
  • 1
  • 1
  • 1
  • 1
  • 1
  • 1
  • 1
  • 1
  • 1
  • 1
Dieser LETMD1 Antikörper ist unkonjugiert

Applikation

  • 26
  • 13
  • 13
  • 8
  • 4
  • 4
  • 3
  • 3
  • 3
  • 3
  • 1
  • 1
Western Blotting (WB), Immunohistochemistry (IHC), Immunofluorescence (IF)
  • Bindungsspezifität

    • 15
    • 2
    • 1
    • 1
    • 1
    • 1
    • 1
    AA 161-360

    Sequenz

    FPRQLLIRHF WTPKQQTDFL DIYHAFRKQS HPEIISYLEK VIPLISDAGL RWRLTDLCTK IQRGTHPAIH DILALRECFS NHPLGMNQLQ ALHVKALSRA MLLTSYLPPP LLRHRLKTHT TVIHQLDKAL AKLGIGQLTA QEVKSACYLR GLNSTHIGED RCRTWLGEWL QISCSLKEAE LSLLLHNVVL LSTNYLGTRR

    Kreuzreaktivität

    Human, Maus, Ratte

    Produktmerkmale

    Polyclonal Antibodies

    Immunogen

    Recombinant fusion protein containing a sequence corresponding to amino acids 161-360 of human LETMD1 (NP_056231.3).

    Isotyp

    IgG
  • Applikationshinweise

    WB,1:500 - 1:2000,IHC,1:50 - 1:200,IF,1:50 - 1:200

    Beschränkungen

    Nur für Forschungszwecke einsetzbar
  • Format

    Liquid

    Buffer

    PBS with 0.02 % sodium azide,50 % glycerol, pH 7.3.

    Konservierungsmittel

    Sodium azide

    Vorsichtsmaßnahmen

    This product contains Sodium azide: a POISONOUS AND HAZARDOUS SUBSTANCE which should be handled by trained staff only.

    Handhabung

    Avoid freeze / thaw cycles

    Lagerung

    -20 °C

    Informationen zur Lagerung

    Store at -20°C. Avoid freeze / thaw cycles.
  • Target

    LETMD1 (LETM1 Domain Containing 1 (LETMD1))

    Andere Bezeichnung

    LETMD1

    Hintergrund

    This gene encodes a mitochondrial outer membrane protein. It has a potential role in tumorigenesis, which may result from negative regulation of the p53 tumor suppressor gene. Alternatively spliced transcript variants have been noted for this gene.,LETMD1,1110019O13Rik,HCCR,HCCR-1,HCCR-2,HCCR1,HCCR2,HCRR-2,Cancer,Tumor biomarkers,LETMD1

    Molekulargewicht

    11 kDa/17 kDa/23 kDa/35 kDa/41 kDa/43 kDa

    Gen-ID

    25875

    UniProt

    Q6P1Q0
Sie sind hier:
Chat with us!