Telefon:
+49 (0)241 95 163 153
Fax:
+49 (0)241 95 163 155
E-Mail:
orders@antikoerper-online.de

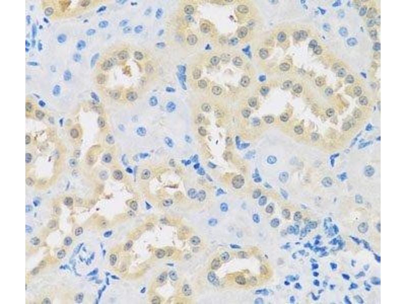
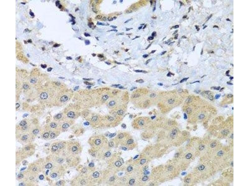
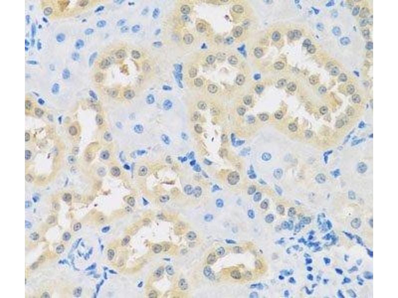
LETMD1 Antikörper

Der Kaninchen Polyklonal anti-LETMD1 Antikörper (ABIN7260227) detektiert spezifisch LETMD1 in WB und IHC. Dieser Antikörper reagiert spezifisch mit Proben aus Human, Maus und Ratte.
Produktnummer ABIN7260227
580,00 €
Zzgl. Versandkosten 20,00 € und MwSt
Lieferung nach: Deutschland
Lieferung in 9 bis 13 Werktagen

Kurzübersicht für LETMD1 Antikörper (ABIN7260227)

Target

Alle LETMD1 Antikörper anzeigen
LETMD1 (LETM1 Domain Containing 1 (LETMD1))

Reaktivität

  • 32
  • 11
  • 10
  • 2
  • 2
  • 1
  • 1
  • 1
Human, Maus, Ratte

Wirt

  • 29
  • 3
Kaninchen

Klonalität

  • 31
  • 1
Polyklonal

Konjugat

  • 11
  • 2
  • 1
  • 1
  • 1
  • 1
  • 1
  • 1
  • 1
  • 1
  • 1
  • 1
  • 1
  • 1
  • 1
  • 1
  • 1
  • 1
  • 1
  • 1
  • 1
Dieser LETMD1 Antikörper ist unkonjugiert

Applikation

  • 25
  • 13
  • 13
  • 7
  • 4
  • 4
  • 3
  • 3
  • 3
  • 3
  • 1
Western Blotting (WB), Immunohistochemistry (IHC)
  • Produktmerkmale

    Polyclonal Antibody

    Aufreinigung

    Affinity purification

    Immunogen

    Recombinant fusion protein of human LETMD1 (NP_056231.3).

    Isotyp

    IgG
  • Applikationshinweise

    WB 1:500-1:2000 IHC 1:50-1:200

    Beschränkungen

    Nur für Forschungszwecke einsetzbar
  • Format

    Liquid

    Konzentration

    1 mg/mL

    Buffer

    PBS with 0.02 % sodium azide, 50 % glycerol, pH 7.3

    Konservierungsmittel

    Sodium azide

    Vorsichtsmaßnahmen

    This product contains Sodium azide: a POISONOUS AND HAZARDOUS SUBSTANCE which should be handled by trained staff only.

    Lagerung

    -20 °C

    Informationen zur Lagerung

    Store at -20°C. Avoid freeze / thaw cycles.
  • Target

    LETMD1 (LETM1 Domain Containing 1 (LETMD1))

    Andere Bezeichnung

    LETMD1

    Hintergrund

    This gene encodes a mitochondrial outer membrane protein. It has a potential role in tumorigenesis, which may result from negative regulation of the p53 tumor suppressor gene. Alternatively spliced transcript variants have been noted for this gene.

    Molekulargewicht

    Observed_MW: 41 kDa

    Calculated_MW: 11 kDa/17 kDa/23 kDa/35 kDa/41 kDa/43 kDa

    Gen-ID

    25875

    UniProt

    Q6P1Q0
Sie sind hier:
Chat with us!