Telefon:
+49 (0)241 95 163 153
Fax:
+49 (0)241 95 163 155
E-Mail:
orders@antikoerper-online.de

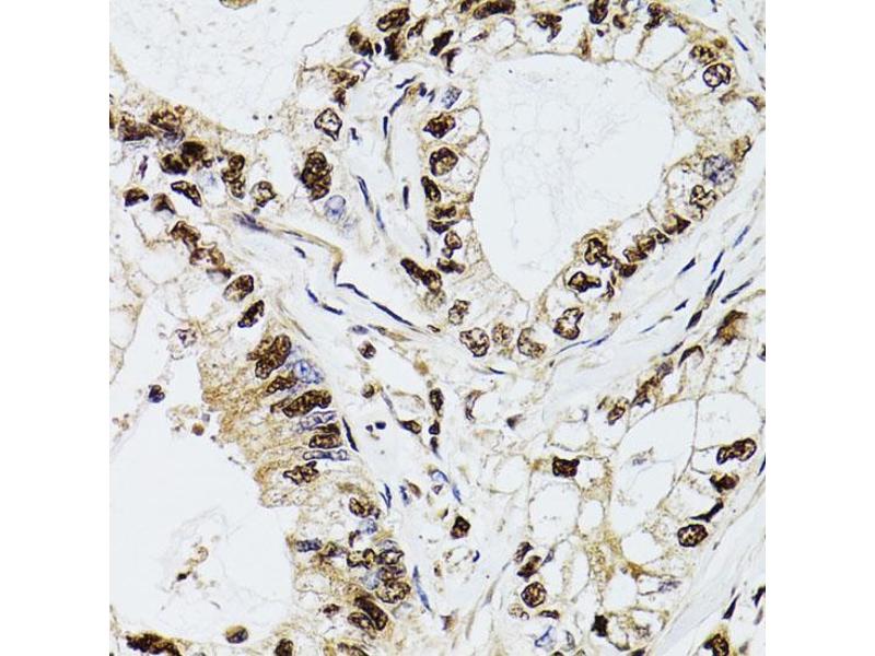
DCK Antikörper (AA 1-260)

Der Kaninchen Polyklonal anti-DCK Antikörper wird verwendet zum Nachweis von DCK in Proben von Human. Er wurde validiert für WB, IHC und IF.
Produktnummer ABIN3022558
320,00 €
Zzgl. Versandkosten 20,00 € und MwSt
Lieferung nach: Deutschland
Lieferung in 7 bis 9 Werktagen

Kurzübersicht für DCK Antikörper (AA 1-260) (ABIN3022558)

Target

Alle DCK Antikörper anzeigen
DCK (Deoxycytidine Kinase (DCK))

Reaktivität

  • 51
  • 27
  • 13
  • 3
  • 3
  • 2
  • 2
  • 2
  • 2
  • 1
  • 1
  • 1
  • 1
Human

Wirt

  • 39
  • 12
  • 3
Kaninchen

Klonalität

  • 44
  • 10
Polyklonal

Konjugat

  • 36
  • 4
  • 4
  • 2
  • 1
  • 1
  • 1
  • 1
  • 1
  • 1
  • 1
  • 1
Dieser DCK Antikörper ist unkonjugiert

Applikation

  • 37
  • 21
  • 21
  • 21
  • 17
  • 11
  • 10
  • 6
  • 1
  • 1
  • 1
  • 1
  • 1
  • 1
Western Blotting (WB), Immunohistochemistry (IHC), Immunofluorescence (IF)
  • Bindungsspezifität

    • 8
    • 5
    • 5
    • 2
    • 2
    • 2
    • 2
    • 1
    • 1
    • 1
    • 1
    • 1
    • 1
    • 1
    • 1
    AA 1-260

    Sequenz

    MATPPKRSCP SFSASSEGTR IKKISIEGNI AAGKSTFVNI LKQLCEDWEV VPEPVARWCN VQSTQDEFEE LTMSQKNGGN VLQMMYEKPE RWSFTFQTYA CLSRIRAQLA SLNGKLKDAE KPVLFFERSV YSDRYIFASN LYESECMNET EWTIYQDWHD WMNNQFGQSL ELDGIIYLQA TPETCLHRIY LRGRNEEQGI PLEYLEKLHY KHESWLLHRT LKTNFDYLQE VPILTLDVNE DFKDKYESLV EKVKEFLSTL

    Kreuzreaktivität

    Human, Maus, Ratte

    Produktmerkmale

    Polyclonal Antibodies

    Aufreinigung

    Affinity purification

    Immunogen

    Recombinant fusion protein containing a sequence corresponding to amino acids 1-260 of human DCK (NP_000779.1).

    Isotyp

    IgG
  • Applikationshinweise

    WB,1:500 - 1:2000,IHC,1:50 - 1:200,IF,1:50 - 1:200

    Beschränkungen

    Nur für Forschungszwecke einsetzbar
  • Format

    Liquid

    Buffer

    PBS with 0.02 % sodium azide,50 % glycerol, pH 7.3.

    Konservierungsmittel

    Sodium azide

    Vorsichtsmaßnahmen

    This product contains Sodium azide: a POISONOUS AND HAZARDOUS SUBSTANCE which should be handled by trained staff only.

    Handhabung

    Avoid freeze / thaw cycles

    Lagerung

    -20 °C

    Informationen zur Lagerung

    Store at -20°C. Avoid freeze / thaw cycles.
  • Target

    DCK (Deoxycytidine Kinase (DCK))

    Andere Bezeichnung

    DCK

    Hintergrund

    Deoxycytidine kinase (DCK) is required for the phosphorylation of several deoxyribonucleosides and their nucleoside analogs. Deficiency of DCK is associated with resistance to antiviral and anticancer chemotherapeutic agents. Conversely, increased deoxycytidine kinase activity is associated with increased activation of these compounds to cytotoxic nucleoside triphosphate derivatives. DCK is clinically important because of its relationship to drug resistance and sensitivity.,DCK,Cancer,Signal Transduction,Kinase,Cell Biology & Developmental Biology,Cell Cycle,DCK

    Molekulargewicht

    30 kDa

    Gen-ID

    1633

    UniProt

    P27707
Sie sind hier:
Chat with us!