Telefon:
+49 (0)241 95 163 153
Fax:
+49 (0)241 95 163 155
E-Mail:
orders@antikoerper-online.de

DCK Antikörper (Center)

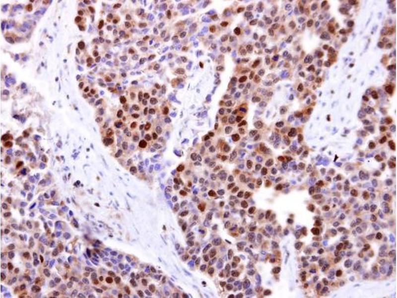
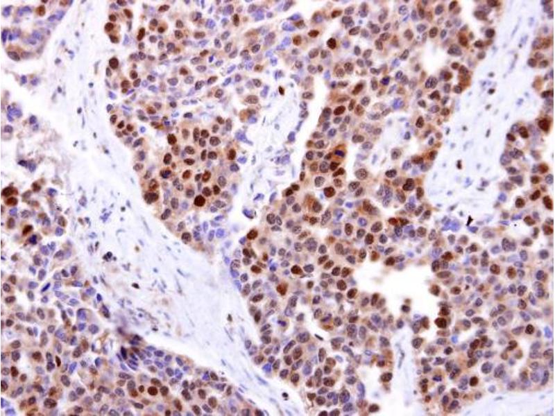
Dieser Kaninchen Polyklonal Antikörper detektiert spezifisch DCK in WB, IF, IP, IHC (p) und ICC. Es zeigt Reaktivität gegenüber Proben von Human, Maus und Ratte.
Produktnummer ABIN2856517
765,00 €
Zzgl. Versandkosten 20,00 € und MwSt
100 μL
Lieferung nach: Deutschland
Lieferung in 7 bis 10 Werktagen

Kurzübersicht für DCK Antikörper (Center) (ABIN2856517)

Target

Alle DCK Antikörper anzeigen
DCK (Deoxycytidine Kinase (DCK))

Reaktivität

  • 51
  • 26
  • 12
  • 3
  • 3
  • 2
  • 2
  • 2
  • 2
  • 1
  • 1
  • 1
  • 1
Human, Maus, Ratte

Wirt

  • 39
  • 12
  • 3
Kaninchen

Klonalität

  • 44
  • 10
Polyklonal

Konjugat

  • 36
  • 4
  • 4
  • 2
  • 1
  • 1
  • 1
  • 1
  • 1
  • 1
  • 1
  • 1
Dieser DCK Antikörper ist unkonjugiert

Applikation

  • 37
  • 22
  • 21
  • 21
  • 16
  • 10
  • 9
  • 6
  • 1
  • 1
  • 1
  • 1
  • 1
  • 1
Western Blotting (WB), Immunofluorescence (IF), Immunoprecipitation (IP), Immunohistochemistry (Paraffin-embedded Sections) (IHC (p)), Immunocytochemistry (ICC)
  • Bindungsspezifität

    • 8
    • 6
    • 5
    • 2
    • 2
    • 2
    • 2
    • 1
    • 1
    • 1
    • 1
    • 1
    • 1
    • 1
    Center

    Produktmerkmale

    Rabbit Polyclonal antibody to DCK (deoxycytidine kinase)
    DCK antibody

    Aufreinigung

    Purified by antigen-affinity chromatography.

    Immunogen

    Recombinant protein encompassing a sequence within the center region of human DCK. The exact sequence is proprietary.

    Isotyp

    IgG
  • Applikationshinweise

    Suggested dilution Reference ICC/IF 1:100-1:1000* IHC (Formalin-fixed paraffin-embedded sections) 1:100-1:1000* Immunoprecipitation 1:100-1:500* Western blot 1:500-1:10000* Not tested in other applications. *Optimal dilutions/concentrations should be determined by the researcher.Suggested dilutionReferenceICC/IF1:100-1:1000* IHC (Formalin-fixed paraffin-embedded sections)1:100-1:1000* Immunoprecipitation1:100-1:500* Western blot1:500-1:10000*

    Kommentare

    Positive Control: A431 , mouse brain , PC-12 , Rat2

    Beschränkungen

    Nur für Forschungszwecke einsetzbar
  • Format

    Liquid

    Konzentration

    1 mg/mL

    Buffer

    1XPBS, 20 % Glycerol ( pH 7). 0.01 % Thimerosal was added as a preservative.

    Konservierungsmittel

    Thimerosal (Merthiolate)

    Vorsichtsmaßnahmen

    This product contains Thimerosal (Merthiolate): a POISONOUS AND HAZARDOUS SUBSTANCE which should be handled by trained staff only.

    Lagerung

    -20 °C

    Informationen zur Lagerung

    Keep as concentrated solution. Aliquot and store at -20°C or below. Avoid multiple freeze-thaw cycles.
  • Target

    DCK (Deoxycytidine Kinase (DCK))

    Andere Bezeichnung

    DCK

    Hintergrund

    Deoxycytidine kinase (DCK) is required for the phosphorylation of several deoxyribonucleosides and their nucleoside analogs. Deficiency of DCK is associated with resistance to antiviral and anticancer chemotherapeutic agents. Conversely, increased deoxycytidine kinase activity is associated with increased activation of these compounds to cytotoxic nucleoside triphosphate derivatives. DCK is clinically important because of its relationship to drug resistance and sensitivity.

    Cellular Localization: Nucleus

    Molekulargewicht

    31 kDa

    Gen-ID

    1633
Sie sind hier:
Chat with us!