Telefon:
+49 (0)241 95 163 153
Fax:
+49 (0)241 95 163 155
E-Mail:
orders@antikoerper-online.de

FSHR Antikörper (AA 631-695)

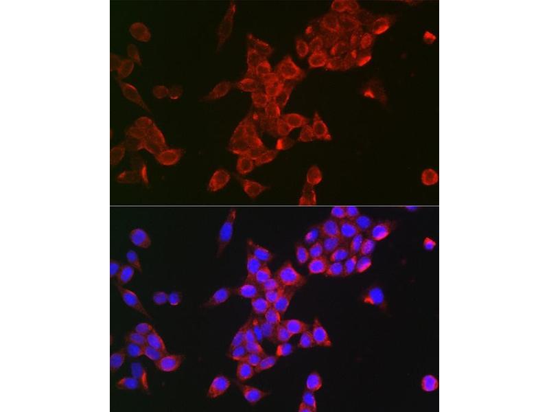
Zitiert in 1 Publikation. Der Kaninchen Polyklonal anti-FSHR Antikörper (ABIN3022002) detektiert spezifisch FSHR in WB und IF. Dieser Antikörper reagiert spezifisch mit Proben aus Human.
Produktnummer ABIN3022002
320,00 €
Zzgl. Versandkosten 20,00 € und MwSt
Lieferung nach: Deutschland
Lieferung in 7 bis 9 Werktagen

Kurzübersicht für FSHR Antikörper (AA 631-695) (ABIN3022002)

Target

Alle FSHR Antikörper anzeigen
FSHR (Follicle Stimulating Hormone Receptor (FSHR))

Reaktivität

  • 100
  • 55
  • 51
  • 4
  • 4
  • 3
  • 3
  • 3
  • 2
  • 1
  • 1
  • 1
  • 1
Human

Wirt

  • 78
  • 25
Kaninchen

Klonalität

  • 78
  • 24
  • 1
Polyklonal

Konjugat

  • 40
  • 6
  • 4
  • 3
  • 2
  • 2
  • 2
  • 2
  • 2
  • 2
  • 2
  • 2
  • 2
  • 2
  • 2
  • 2
  • 2
  • 2
  • 2
  • 2
  • 2
  • 2
  • 1
  • 1
  • 1
  • 1
  • 1
  • 1
  • 1
  • 1
  • 1
  • 1
  • 1
  • 1
  • 1
  • 1
Dieser FSHR Antikörper ist unkonjugiert

Applikation

  • 56
  • 46
  • 28
  • 26
  • 26
  • 21
  • 13
  • 13
  • 9
  • 7
  • 6
  • 2
  • 2
  • 1
  • 1
  • 1
  • 1
  • 1
  • 1
Western Blotting (WB), Immunofluorescence (IF)
  • Bindungsspezifität

    • 16
    • 16
    • 5
    • 3
    • 2
    • 2
    • 2
    • 1
    • 1
    • 1
    • 1
    • 1
    • 1
    • 1
    • 1
    • 1
    • 1
    • 1
    • 1
    • 1
    • 1
    AA 631-695

    Sequenz

    KNFRRDFFIL LSKCGCYEMQ AQIYRTETSS TVHNTHPRNG HCSSAPRVTS GSTYILVPLS HLAQN

    Kreuzreaktivität

    Human, Maus, Ratte

    Produktmerkmale

    Polyclonal Antibodies

    Aufreinigung

    Affinity purification

    Immunogen

    Recombinant fusion protein containing a sequence corresponding to amino acids 631-695 of human FSHR (NP_000136.2).

    Isotyp

    IgG
  • Applikationshinweise

    WB,1:500 - 1:2000,IF,1:50 - 1:200

    Beschränkungen

    Nur für Forschungszwecke einsetzbar
  • Format

    Liquid

    Buffer

    PBS with 0.02 % sodium azide,50 % glycerol, pH 7.3.

    Konservierungsmittel

    Sodium azide

    Vorsichtsmaßnahmen

    This product contains Sodium azide: a POISONOUS AND HAZARDOUS SUBSTANCE which should be handled by trained staff only.

    Handhabung

    Avoid freeze / thaw cycles

    Lagerung

    -20 °C

    Informationen zur Lagerung

    Store at -20°C. Avoid freeze / thaw cycles.
  • Lin, Liu, Guo, Liu, Mi, Zhang: "Promotion of the prehierarchical follicle growth by postovulatory follicles involving PGE2 -EP2 signaling in chickens." in: Journal of cellular physiology, Vol. 233, Issue 11, pp. 8984-8995, (2018) (PubMed).

  • Target

    FSHR (Follicle Stimulating Hormone Receptor (FSHR))

    Andere Bezeichnung

    FSHR

    Hintergrund

    The protein encoded by this gene belongs to family 1 of G-protein coupled receptors. It is the receptor for follicle stimulating hormone and functions in gonad development. Mutations in this gene cause ovarian dysgenesis type 1, and also ovarian hyperstimulation syndrome. Alternative splicing results in multiple transcript variants.,FSHR,FSHR1,FSHRO,LGR1,ODG1,Signal Transduction,G protein signaling,G-Protein-Coupled Receptors(GPCR),Endocrine & Metabolism,Neuroscience,FSHR

    Molekulargewicht

    71 kDa/75 kDa/78 kDa/81 kDa

    Gen-ID

    2492

    UniProt

    P23945

    Pathways

    Intracellular Steroid Hormone Receptor Signaling Pathway, Regulation of Intracellular Steroid Hormone Receptor Signaling, Regulation of Hormone Metabolic Process, Platelet-derived growth Factor Receptor Signaling
Sie sind hier:
Chat with us!