Telefon:
+49 (0)241 95 163 153
Fax:
+49 (0)241 95 163 155
E-Mail:
orders@antikoerper-online.de

SUMO4 Antikörper

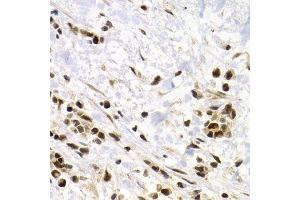
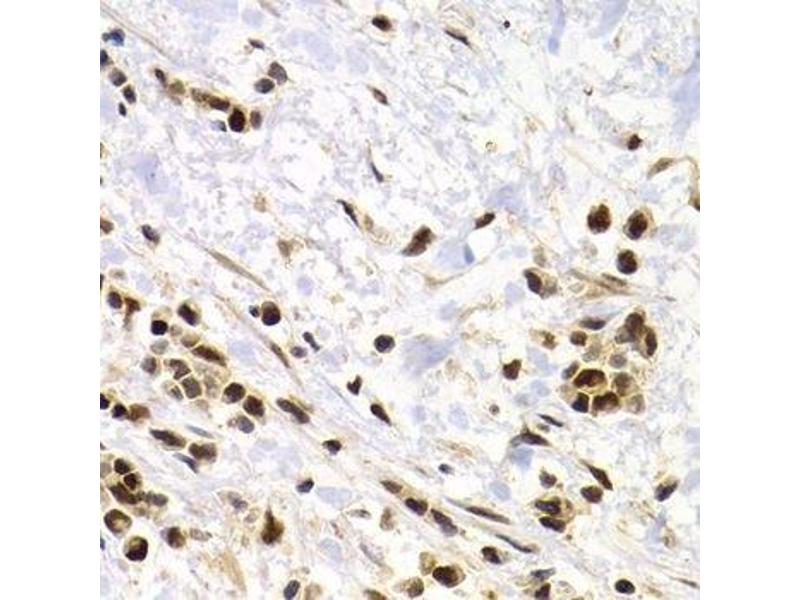
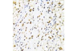
Der Kaninchen Polyklonal anti-SUMO4 Antikörper (ABIN3017370) detektiert spezifisch SUMO4 in WB und IHC. Dieser Antikörper reagiert spezifisch mit Proben aus Human.
Produktnummer ABIN3017370
320,00 €
Zzgl. Versandkosten 20,00 € und MwSt
Lieferung nach: Deutschland
Lieferung in 7 bis 9 Werktagen

Kurzübersicht für SUMO4 Antikörper (ABIN3017370)

Target

Alle SUMO4 Antikörper anzeigen
SUMO4 (Small Ubiquitin Related Modifier 4 (SUMO4))

Reaktivität

  • 54
  • 27
  • 27
Human

Wirt

  • 51
  • 3
Kaninchen

Klonalität

  • 33
  • 21
Polyklonal

Konjugat

  • 26
  • 4
  • 3
  • 3
  • 3
  • 3
  • 3
  • 3
  • 1
  • 1
  • 1
  • 1
  • 1
  • 1
Dieser SUMO4 Antikörper ist unkonjugiert

Applikation

  • 39
  • 18
  • 16
  • 16
  • 10
  • 10
  • 10
  • 5
  • 3
Western Blotting (WB), Immunohistochemistry (IHC)
  • Kreuzreaktivität

    Human, Maus

    Produktmerkmale

    Polyclonal Antibodies

    Immunogen

    A synthetic peptide of human SUMO4

    Isotyp

    IgG
  • Applikationshinweise

    WB,1:1000 - 1:2000,IHC,1:100 - 1:300

    Beschränkungen

    Nur für Forschungszwecke einsetzbar
  • Buffer

    PBS with 0.02 % sodium azide,50 % glycerol, pH 7.3.

    Konservierungsmittel

    Sodium azide

    Vorsichtsmaßnahmen

    This product contains Sodium azide: a POISONOUS AND HAZARDOUS SUBSTANCE which should be handled by trained staff only.

    Lagerung

    -20 °C

    Informationen zur Lagerung

    Store at -20°C. Avoid freeze / thaw cycles.
  • Target

    SUMO4 (Small Ubiquitin Related Modifier 4 (SUMO4))

    Andere Bezeichnung

    SUMO4

    Hintergrund

    This gene is a member of the SUMO gene family. This family of genes encode small ubiquitin-related modifiers that are attached to proteins and control the target proteins' subcellular localization, stability, or activity. The protein described in this record is located in the cytoplasm and specifically modifies IKBA, leading to negative regulation of NF-kappa-B-dependent transcription of the IL12B gene. A specific polymorphism in this SUMO gene, which leads to the M55V substitution, has been associated with type I diabetes. The RefSeq contains this polymorphism.,SUMO4,IDDM5,SMT3H4,SUMO-4,dJ281H8.4,Epigenetics & Nuclear Signaling,Transcription Factors,Cell Biology & Developmental Biology,Ubiquitin,Endocrine & Metabolism,Mitochondrial metabolism,Immunology & Inflammation,IL-6 Receptor Signaling Pathway,NF-kB Signaling Pathway,SUMO4

    Molekulargewicht

    10 kDa

    Gen-ID

    387082

    UniProt

    Q6EEV6
Sie sind hier:
Chat with us!