PBS with 0.02 % sodium azide,50 % glycerol, pH 7.3.
Konservierungsmittel
Sodium azide
Vorsichtsmaßnahmen
This product contains Sodium azide: a POISONOUS AND HAZARDOUS SUBSTANCE which should be handled by trained staff only.
Lagerung
-20 °C
Informationen zur Lagerung
Store at -20°C. Avoid freeze / thaw cycles.
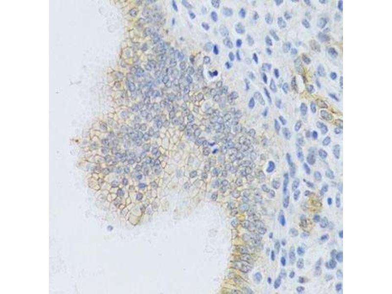
Target
ABCC1
(ATP-Binding Cassette, Sub-Family C (CFTR/MRP), Member 1 (ABCC1))
Andere Bezeichnung
ABCC1
Hintergrund
The protein encoded by this gene is a member of the superfamily of ATP-binding cassette (ABC) transporters. ABC proteins transport various molecules across extra-and intra-cellular membranes. ABC genes are divided into seven distinct subfamilies (ABC1, MDR/TAP, MRP, ALD, OABP, GCN20, White). This full transporter is a member of the MRP subfamily which is involved in multi-drug resistance. This protein functions as a multispecific organic anion transporter, with oxidized glutatione, cysteinyl leukotrienes, and activated aflatoxin B1 as substrates. This protein also transports glucuronides and sulfate conjugates of steroid hormones and bile salts. Alternatively spliced variants of this gene have been described but their full-length nature is unknown.,ABCC1,ABC29,ABCC,GS-X,MRP,MRP1,Cancer,Drug resistance,MRP-related proteins,Signal Transduction,Endocrine & Metabolism,Drug metabolism,Cardiovascular,Blood,Blood Pressure regulation,Heart,Cardiovascular diseases,Hypertension,Heart disease,ABCC1