Telefon:
+49 (0)241 95 163 153
Fax:
+49 (0)241 95 163 155
E-Mail:
orders@antikoerper-online.de

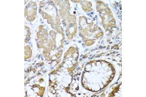
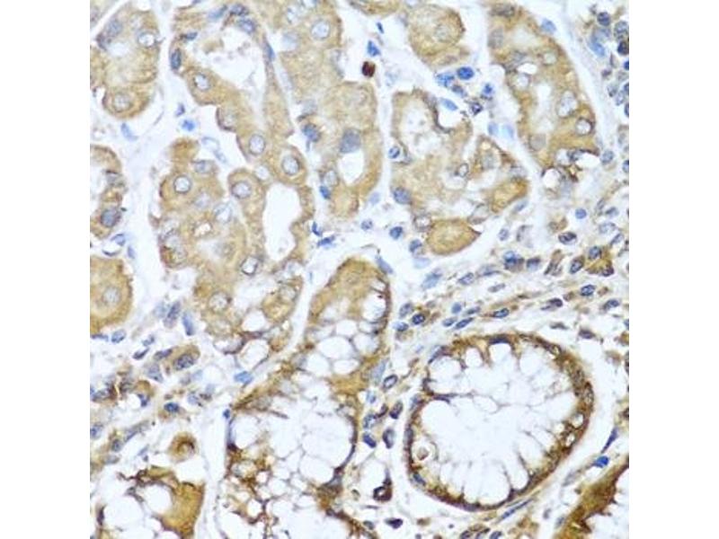
Neuregulin 4 Antikörper (AA 1-115)

Der Kaninchen Polyklonal anti-Neuregulin 4 Antikörper (ABIN3016310) detektiert spezifisch Neuregulin 4 in IHC und WB. Dieser Antikörper reagiert spezifisch mit Proben aus Human.
Produktnummer ABIN3016310
320,00 €
Zzgl. Versandkosten 20,00 € und MwSt
Lieferung nach: Deutschland
Lieferung in 7 bis 9 Werktagen

Kurzübersicht für Neuregulin 4 Antikörper (AA 1-115) (ABIN3016310)

Target

Alle Neuregulin 4 (NRG4) Antikörper anzeigen
Neuregulin 4 (NRG4)

Reaktivität

  • 34
  • 9
  • 3
  • 1
Human

Wirt

  • 33
  • 4
Kaninchen

Klonalität

  • 34
  • 3
Polyklonal

Konjugat

  • 19
  • 4
  • 3
  • 3
  • 1
  • 1
  • 1
  • 1
  • 1
  • 1
  • 1
  • 1
Dieser Neuregulin 4 Antikörper ist unkonjugiert

Applikation

  • 20
  • 18
  • 14
  • 7
  • 6
  • 3
  • 1
Immunohistochemistry (IHC), Western Blotting (WB)
  • Bindungsspezifität

    • 10
    • 6
    • 5
    • 2
    • 1
    AA 1-115

    Sequenz

    MPTDHEEPCG PSHKSFCLNG GLCYVIPTIP SPFCRCVENY TGARCEEVFL PGSSIQTKSN LFEAFVALAV LVTLIIGAFY FLCRKGHFQR ASSVQYDINL VETSSTSAHH SHEQH

    Kreuzreaktivität

    Human, Maus, Ratte

    Produktmerkmale

    Polyclonal Antibodies

    Immunogen

    Recombinant fusion protein containing a sequence corresponding to amino acids 1-115 of human NRG4 (NP_612640.1).

    Isotyp

    IgG
  • Applikationshinweise

    WB,1:500 - 1:2000,IHC,1:50 - 1:200

    Beschränkungen

    Nur für Forschungszwecke einsetzbar
  • Buffer

    PBS with 0.02 % sodium azide,50 % glycerol, pH 7.3.

    Konservierungsmittel

    Sodium azide

    Vorsichtsmaßnahmen

    This product contains Sodium azide: a POISONOUS AND HAZARDOUS SUBSTANCE which should be handled by trained staff only.

    Lagerung

    -20 °C

    Informationen zur Lagerung

    Store at -20°C. Avoid freeze / thaw cycles.
  • Target

    Neuregulin 4 (NRG4)

    Andere Bezeichnung

    NRG4

    Hintergrund

    The neuregulins, including NRG4, activate type-1 growth factor receptors (see EGFR, MIM 131550) to initiating cell-to-cell signaling through tyrosine phosphorylation (Harari et al., 1999 [PubMed 10348342]).[supplied by OMIM, Mar 2008],NRG4,HRG4,Signal Transduction,Kinase,Tyrosine kinases,ErbB-HER Signaling Pathway,Cell Biology & Developmental Biology,Growth factor,Neuroscience,NRG4

    Molekulargewicht

    12 kDa

    Gen-ID

    145957

    UniProt

    Q8WWG1

    Pathways

    RTK Signalweg, Fc-epsilon Rezeptor Signalübertragung, EGFR Signaling Pathway, Neurotrophin Signalübertragung
Sie sind hier:
Chat with us!