Telefon:
+49 (0)241 95 163 153
Fax:
+49 (0)241 95 163 155
E-Mail:
orders@antikoerper-online.de

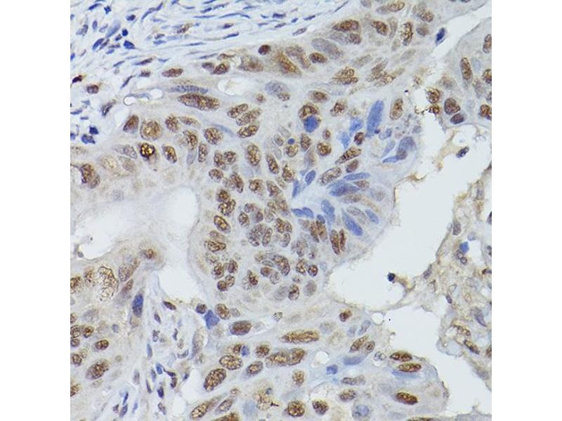
Mre11 Antikörper (AA 1-205)

Dieser Kaninchen Polyklonal Antikörper detektiert spezifisch Mre11 in WB, IHC, IF und IP. Es zeigt Reaktivität gegenüber Proben von Human. Es wurde in 3+ Publikationen zitiert.
Produktnummer ABIN3016250
320,00 €
Zzgl. Versandkosten 20,00 € und MwSt
Lieferung nach: Deutschland
Lieferung in 7 bis 9 Werktagen

Kurzübersicht für Mre11 Antikörper (AA 1-205) (ABIN3016250)

Target

Alle Mre11 (MRE11A) Antikörper anzeigen
Mre11 (MRE11A) (MRE11 Meiotic Recombination 11 Homolog A (S. Cerevisiae) (MRE11A))

Reaktivität

  • 106
  • 78
  • 65
  • 8
  • 5
  • 5
  • 4
  • 4
  • 4
  • 3
  • 2
  • 2
  • 2
  • 1
  • 1
  • 1
Human

Wirt

  • 117
  • 9
Kaninchen

Klonalität

  • 89
  • 37
Polyklonal

Konjugat

  • 56
  • 7
  • 5
  • 5
  • 5
  • 5
  • 5
  • 5
  • 4
  • 3
  • 2
  • 2
  • 2
  • 2
  • 2
  • 2
  • 2
  • 2
  • 2
  • 2
  • 2
  • 2
  • 2
Dieser Mre11 Antikörper ist unkonjugiert

Applikation

  • 98
  • 45
  • 40
  • 26
  • 26
  • 16
  • 15
  • 10
  • 7
  • 6
  • 6
  • 2
  • 1
  • 1
  • 1
  • 1
  • 1
Western Blotting (WB), Immunohistochemistry (IHC), Immunofluorescence (IF), Immunoprecipitation (IP)
  • Bindungsspezifität

    • 21
    • 15
    • 6
    • 6
    • 4
    • 4
    • 3
    • 3
    • 2
    • 2
    • 2
    • 2
    • 1
    • 1
    • 1
    • 1
    • 1
    • 1
    • 1
    • 1
    • 1
    • 1
    • 1
    • 1
    • 1
    • 1
    • 1
    • 1
    • 1
    AA 1-205

    Sequenz

    MSTADALDDE NTFKILVATD IHLGFMEKDA VRGNDTFVTL DEILRLAQEN EVDFILLGGD LFHENKPSRK TLHTCLELLR KYCMGDRPVQ FEILSDQSVN FGFSKFPWVN YQDGNLNISI PVFSIHGNHD DPTGADALCA LDILSCAGFV NHFGRSMSVE KIDISPVLLQ KGSTKIALYG LGSIPDERLY RMFVNKKVTM LRPKE

    Kreuzreaktivität

    Human, Maus, Ratte

    Produktmerkmale

    Polyclonal Antibodies

    Aufreinigung

    Affinity purification

    Immunogen

    Recombinant fusion protein containing a sequence corresponding to amino acids 1-205 of human MRE11 (NP_005581.2).

    Isotyp

    IgG
  • Applikationshinweise

    WB,1:500 - 1:2000,IHC,1:50 - 1:200,IF,1:50 - 1:200,IP,1:50 - 1:100

    Beschränkungen

    Nur für Forschungszwecke einsetzbar
  • Buffer

    PBS with 0.02 % sodium azide,50 % glycerol, pH 7.3.

    Konservierungsmittel

    Sodium azide

    Vorsichtsmaßnahmen

    This product contains Sodium azide: a POISONOUS AND HAZARDOUS SUBSTANCE which should be handled by trained staff only.

    Lagerung

    -20 °C

    Informationen zur Lagerung

    Store at -20°C. Avoid freeze / thaw cycles.
  • Zhang, Chang, Sun, Chen, Yang, Tang, Jing, Kang, He, Wu, Wei, Wang, Xu, Zhu, Shen, Zeng, Wang, Liu, Zhang, Mao, Jiang, Sun: "Histone H3K27 methylation modulates the dynamics of FANCD2 on chromatin to facilitate NHEJ and genome stability." in: Journal of cell science, Vol. 131, Issue 12, (2018) (PubMed).

    Li, Zhang, Chen, Guo, Zhang, Tang, Xu, Zhang, Tao, Wang, Jiang, Sun, Mao: "Impaired DNA double-strand break repair contributes to the age-associated rise of genomic instability in humans." in: Cell death and differentiation, Vol. 23, Issue 11, pp. 1765-1777, (2017) (PubMed).

    Zhang, Tang, Jiang, Mao: "The transcription factor GATA3 is required for homologous recombination repair by regulating CtIP expression." in: Oncogene, Vol. 36, Issue 36, pp. 5168-5176, (2017) (PubMed).

  • Target

    Mre11 (MRE11A) (MRE11 Meiotic Recombination 11 Homolog A (S. Cerevisiae) (MRE11A))

    Andere Bezeichnung

    MRE11

    Hintergrund

    This gene encodes a nuclear protein involved in homologous recombination, telomere length maintenance, and DNA double-strand break repair. By itself, the protein has 3' to 5' exonuclease activity and endonuclease activity. The protein forms a complex with the RAD50 homolog, this complex is required for nonhomologous joining of DNA ends and possesses increased single-stranded DNA endonuclease and 3' to 5' exonuclease activities. In conjunction with a DNA ligase, this protein promotes the joining of noncomplementary ends in vitro using short homologies near the ends of the DNA fragments. This gene has a pseudogene on chromosome 3. Alternative splicing of this gene results in two transcript variants encoding different isoforms.,MRE11,ATLD,HNGS1,MRE11A,MRE11B,Epigenetics & Nuclear Signaling,DNA Damage & Repair,Cell Biology & Developmental Biology,Cell Cycle,G2/M DNA Damage Checkpoint,Immunology & Inflammation,MRE11

    Molekulargewicht

    77 kDa/80 kDa/81 kDa

    Gen-ID

    4361

    UniProt

    P49959

    Pathways

    DNA Reparatur
Sie sind hier:
Chat with us!