×
Aktivieren Sie Javascript in Ihrem Browser, um unsere Webseite optimal zu nutzen.
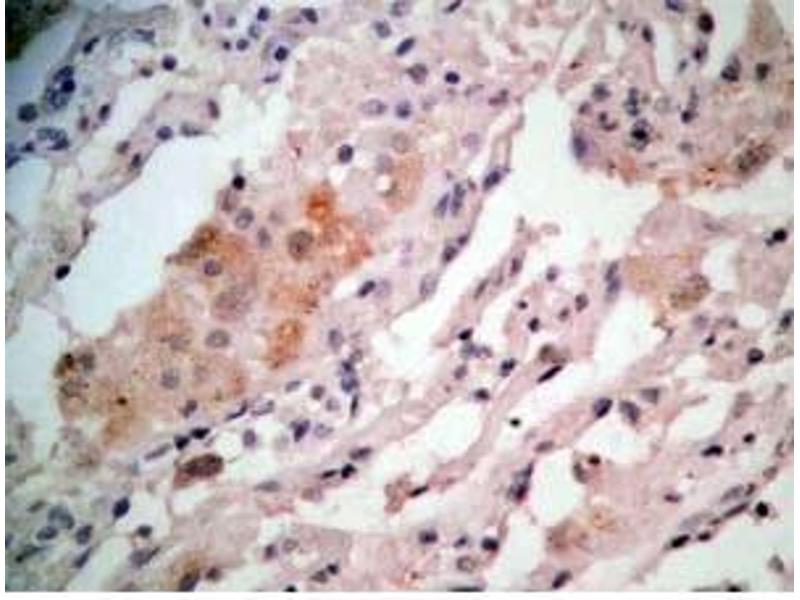
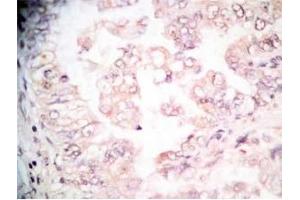
Gastrin-Releasing Peptide Antikörper (AA 80-97)
Dieser Kaninchen Polyklonal Antikörper detektiert spezifisch Gastrin-Releasing Peptide in IHC. Es zeigt Reaktivität gegenüber Proben von Human.
Produktnummer ABIN2871795
521,33 €
Zzgl. Versandkosten 20,00 € und MwSt
Lieferung in 9 bis 11 Werktagen
Kurzübersicht für Gastrin-Releasing Peptide Antikörper (AA 80-97) (ABIN2871795)
Target
Alle Gastrin-Releasing Peptide (GRP) Antikörper anzeigen
Gastrin-Releasing Peptide (GRP)
Reaktivität
Alle Reaktivitäten für Gastrin-Releasing Peptide Antikörper
Human
Wirt
Alle Wirte für Gastrin-Releasing Peptide Antikörper
Kaninchen
Klonalität
Alle Klonalitäten für Gastrin-Releasing Peptide Antikörper
Polyklonal
Konjugat
Alle Konjugate für Gastrin-Releasing Peptide Antikörper
Dieser Gastrin-Releasing Peptide Antikörper ist unkonjugiert
Applikation
Alle Applikationen für Gastrin-Releasing Peptide Antikörper
Immunohistochemistry (IHC)
Produktdetails anti-Gastrin-Releasing Peptide Antikörper
(ausblenden)
Bindungsspezifität
Alle Epitope für Gastrin-Releasing Peptide Antikörper
AA 80-97
Aufreinigung
unpurified serum
Immunogen
5-10 mg of > 70% pure peptide conjugated to KLH.
Alternativen
(anzeigen)
Anwendungsinformationen
(ausblenden)
Applikationshinweise
Optimal working dilution should be determined by the investigator.
Beschränkungen
Nur für Forschungszwecke einsetzbar
Handhabung
(ausblenden)
Format
Liquid
Lagerung
4 °C,-20 °C
Informationen zur Lagerung
Store antibodies at 2-4°C before and at -20°C after rehydration. The product is stable for approximately 3-6 weeks after rehydration at -20°C or below.
Details zu Gastrin-Releasing Peptide
(ausblenden)
Target
Gastrin-Releasing Peptide (GRP)
Andere Bezeichnung
Gastrin Releasing Peptide (Pro-GRP)
Pathways
Peptide Hormone Metabolism , Hormone Activity
Zuletzt angesehen
(ausblenden)
Sie sind hier:
Startseite
anti-Gastrin-Releasing Peptide Antikörper (AA 80-97) (ABIN2871795)
Chat with us , powered by LiveChat